AOTRAUMA.ORG Центр Илизарова  

Ортопедия и травматология Общие вопросы/General questions Help Информационные технологии в медицине
 вверх
 отправить
 поиск
 админ
 главная
 Предыдущее


Re: Еще несращение distal tibia
Alexander Chelnokov 26 Апрель 2005, 11:11
e> Какова была подвижность в зоне несращения после остеотомии малоберцовой
e> кости?

Примерно такова, как было на снимках в аппарате. Все, что относительно свободно было, выбрали, а дальше уже было тугое сопротивление тканей.

e> Была ли возможность одномоментной коррекции оси б.б кости и если да,
e> то почему не штифтование, а аппарат?

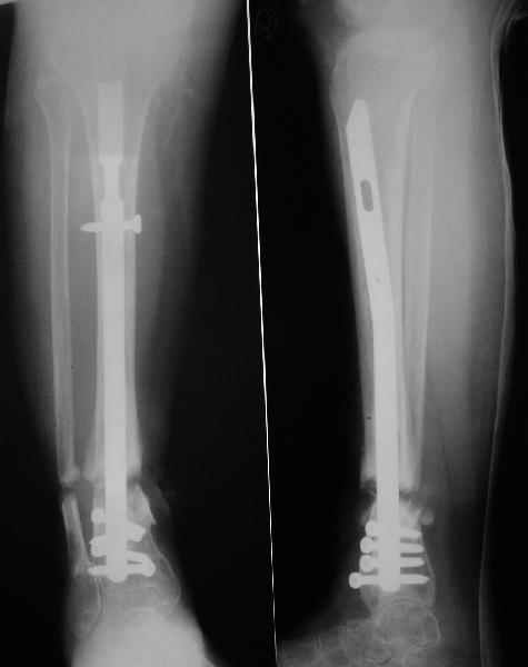
Аппарат - чтобы плавно исправить ось. В приложении - снимки на момент окончания коррекции в аппарате, фото с операции, и послеоперационная рентгенограмма.






















Диаметр гвоздика 10,5 мм. Пришлось укорачивать до 23 см - уж очень миниатюрная дама, отверстия насверлил под 45 градусов, под 5 мм винты. По оси удалось сблизить до этого положения. Заперли гвоздь пока статически с планом через 2 месяца верхний винт убрать. Но это ей придется уже в Ташкенте сделать. Что скажете? Спасибо.

In attachment - x-rays at the end of alignment, the surgery, and result. The nail was cut to 23 cm. Four 45 degree holes were pre-drilled at the distal nail tip. The nail was locked statically
after some impaction. Dynamization is considered in 8 weeks. Any comments/critics?



  • Сообщения о Информационные технологии в медицине
  • Также Alexander Chelnokov
  • Связаться с автором
  • Ответить

    Re: Еще несращение distal tibia
    Evgueny Tchekashkine 27 Апрель 2005, 01:48
    Что скажете? Спасибо.

    :-)) И тебе спасибо - элегантная техника , здорово сработано.

    Всего доброго,
    Евгений
    [ Ответить ]

    Re: Еще несращение distal tibia
    Evgueny Tchekashkine 27 Апрель 2005, 02:07
    Саша, здравствуй,

    Поясни, почему не стал динамизировать гвоздь сразу? *воспитание* дистракционного регенерата?

    Евгений
    [ Ответить ]

    • Re: Еще несращение distal tibia
      Отправитель: Alexander Chelnokov 27 Апрель 2005, 02:09
      А вдруг там все-таки от дистракции образуется регенерат, хоть дохленький? На созревание и зарезервировали 2 месяца стабилизации.
      Если регенерата совсем не будет - после отпирания гвоздя отломки начнут сближаться до полного контакта. А если все-таки будет - еще и ~1 см выиграем.

      [ Ответить ]
    Re: Еще несращение distal tibia
    Nuno Craveiro Lopes 27 Апрель 2005, 02:10
    Alex,

    > In attachment - x-rays at the end of alignment, the surgery, and
    > result. The nail was cut to 23 cm. Four 45 degree holes were
    > pre-drilled at the distal nail tip. The nail was locked statically
    > after some impaction.

    Amazing! How can you find the pathway of the nail through all those wires and the distal screws through so much hardware?
    Deep infection rate must be high...

    > Dynamization is considered in 8 weeks. Any

    If you dynamise before regenerate maturation, d'ont you loose lenght?


    Best regards,

    Nuno Craveiro Lopes
    [ Ответить ]

    • Re: Еще несращение distal tibia
      Отправитель: Alexander Chelnokov 27 Апрель 2005, 02:57
      NL> Amazing! How can you find the pathway of the nail through all those wires
      NL> and the distal screws through so much hardware?

      Some wires were intentionally inserted to leave needed space for the nail, some were removed at the moment of nail insertion. I inserted one distal screw and then removed the frame, then inserted rest ones.

      NL> Deep infection rate must be high...

      Why? There were no signs of infection and ex-fix has been in place for only 2 weeks.

      NL> If you dynamise before regenerate maturation, d'ont you loose lenght?

      Sure. Frankly speaking the target was just functional stable aligned limb regardless of shortening. I don't expect regenerate appearance, but what if i am wrong? If the bonus appears in the gap, we'll give it 2 month to mature. Anyway x-rays will be taken prior screw removal so dynamization can be postponed if necessary.

      [ Ответить ]

     

    ( Ответить )

    Powered by Zope  Squishdot Powered MedLink
    Посетитель: 0417690
      "По форме правильно, а по существу - издевательство" В.И.Ленин
    ©2001-2019Orthoforum Coordinator.
    [ Главная | Отправить сообщение | Поиск | Админ ]