вверх
отправить
поиск
админ
главная
Предыдущее
Весь тред
|
Re: псевдоартроз
Alexey Mozgunov 18 Апрель 2005, 20:25
|
Dear Andre_Pakh,
A> Может не совсем в тему.
Прочитал все сообщение и не совсем понял - это ? или case report?
;-)
A> Ребенок 12 лет,
12 лет... начал искать зону роста... вроде бы помню как они выглядят в
12 лет... не нашел...
Оказытся... на снимках от 13.10.04 и 21.01.05 - больному 14 лет.
А в этом возрасте это важно...
A> (К сожалению первичных снимков не нашел)
Так когда же была травма?
A> Перелом костей н\3 правой голени со смещением.
Это от 13.10.04? А это близкие к первичным снимки?
A> Перелом большеберцовой
A> кости можно охарактеризовать как компрессионно-оскольчатый.
Есть один осколок... Ма-аленький такой... Но из-за этого стоит ли весь
перелом характеризовать как оскольчатый?
Нормальный такой перелом... "шарнирный" я бы сказал... ну да есть
элемент сдавления (компрессии) по оси... и что?
A> Скелетное вытяжение за пяточную кость.
A> В первые сутки значительный отек с\3, н\3голени, стопы с развитием
A> практически неуловимого в нашей стране ;) компартмент синдрома
A> (фасциотомии не проводилось),
А вы как уловили? По развившемуся некрозу кожи?
A> недочеты по укладке на скелетном
A> вытяжении.
A> На вытяжении около 8 нед, в дальнейшем в гипсовых повязках ~ 8 мес.
A> Положение осложнялось казенным положением ребенка (д\дом) и легкой
A> степенью дебильности.
A> В январе 2005: варусная деформация н\3 голени,
А на вытяжении и в гипсповязке в течение 4 мес варуса видно не было?
Чего было ждать?
A> Операции: 1 Клиновидная резекция на вершине деформации м\берцовой кости.
A> 2 Тугоподвижный ложный сустав н\3 б\берцовой кости.
Т.е. на фоне некоторого наверняка имевшегося укорочения голени
произвели ее дополнительное укорочение?
Или как?
A> Спицы удалены через 1,5 недели после операции.
A> Особого смысла в них не было.
Не было. Можно было, если особенно хотелось, провести одну
интрамедулярно...
A> Учитывая фон (интеллект, etc) гипсовая повязка.
A> На данный момент ходит при помощи костыля (без присмотра -без костыля
A> :), разрабатывает движения в г\стопном суставе.
А каково у него укорочение голени?
А резюмируя все...
Не было, по всей видимости, никаких "недочетов по укладке на скелетном
вытяжении",
а был у больного перелом дистального метафиза большеберцовой с чисто
варусным смещением на фоне пластической деформации малоберцовой на том
же уровне и того же характера.
И никакое скелетное вытяжение данную пластическую деформацию не
исправило бы... а соответственно будет (как в итоге и вышло) абсолютно бесполезно.
Сколько не тяни.
Надо было в приемном покое отрепонировать больного и
зафиксировать б/б кость спицами крест-накрест (не обязательно двумя...
можно и 3... можно и 4... больше не нужно...)
Развился бы потом некроз по задней поверхности? Ну и бог с ним, вылечили
бы как и вылечили в итоге конечном...
Парт ту... Ну не сделали этого, ну ладно... а зачем на вытяжении 8 нед
держать? И тем более потом при наличии неустраненного смещения еще 8
нед? Ну, ладно 2 мес (???) заживление некроза... а далее???
Из-за того, что больно "чуть-чуть дурачок"? Господи, да все они из
д.домов "чуть чуть дурачки"... или каждый 2-ой не считая каждого
1-ого... И что???
--
Best regards,
~~~~~~~~~~~~~~~~~~~~~~~~~~~~~~~~~~~~~~~~~~~~~~
Aleksey V. Mozgounov, M.D., Ph.D.,
Department of Pediatric and Adolescents
Traumatology and Orthopaedics,
Research Centre of Tatarstan
"Rehabilitation Traumatology and Orthopaedics",
3, Gorky str., Kazan 420015, Russia
|
|
|
Ответить
|
Re: псевдоартроз
Andre Pakh 01 Май 2005, 22:19
|
Трогательная ирония ;)
AVM>Прочитал все сообщение и не совсем понял - это ? или case report?
Если есть конечный результат - это case report или ?
Кроме того в тексте знаков вопроса не стояло :)
AVM> 12 лет... начал искать зону роста... вроде бы помню как они выглядят в
AVM> А в этом возрасте это важно...
Сроки лечения не стоит забывать
AVM> Так когда же была травма?
Примерные сроки лечения в исходном тексте
A>> Перелом костей н\3 правой голени со смещением.
AVM> Это от 13.10.04? А это близкие к первичным снимки?
Не смешно :) Зачем я о месяцах лечения писал?
AVM> Есть один осколок... Ма-аленький такой... Но из-за этого стоит ли весь
Есть даже тень периостальной костной мозоли и сросшийся перелом
малоберцовой кости.
(skipped....)
Речь шла о ложных суставах. Анамнез болезни изложил для
полноты картины.
A>> Скелетное вытяжение за пяточную кость.
A>> В первые сутки значительный отек с\3, н\3голени, стопы с развитием
A>> практически неуловимого в нашей стране ;) компартмент синдрома
A>> (фасциотомии не проводилось),
AVM> А вы как уловили? По развившемуся некрозу кожи?
Вы правы. Я недолжен был утвеждать.
Но учитывал развившуюся на фоне отека нейропатию
малоберцового нерва, положительная динамика в лечении которой
была отмечена через несколько месяцев, быстро развившийся и
длительно сохранявшийся остеопороз костей стопы, сложилось мнение.
Некроз кожи к компартмент синдрому не отношу.
AVM> А на вытяжении и в гипсповязке в течение 4 мес варуса видно не было?
AVM> Чего было ждать?
Деформация появилась и наростала во времени при фиксации в гипсовых повязках.
Были сложности с режимом и лечением( я не зря указал статус ребенка и снижение
его интеллекта), просто не стал вдаваться в лирические отступления.
A>> Спицы удалены через 1,5 недели после операции.
A>> Особого смысла в них не было.
AVM> Не было. Можно было, если особенно хотелось, провести одну
AVM> интрамедулярно...
Но только смысла не имело. Подвижности небыло. Рубцы хорошо держат.
A>> :), разрабатывает движения в г\стопном суставе.
AVM> А каково у него укорочение голени?
В пределах 2 см.
Не катастрофа. Рост продолжается, будем следить в динамике.
AVM> А резюмируя все...
AVM> Не было, по всей видимости, никаких "недочетов по укладке на скелетном
AVM> вытяжении",
Вы мне не верите :( Это больше касалось проблем с кожей.
AVM> а был у больного перелом дистального метафиза большеберцовой с чисто
AVM> варусным смещением на фоне пластической деформации малоберцовой на том
AVM> же уровне и того же характера.
Это конечно дело жизненного опыта, но травматических пластичеких деформаций у
подростков я не встречал. Тем более с такой дугой и на этом
уровне.
Это сросшийся перелом малоберцовой кости. И ложный сустав
н\3 б\берцовой кости.
AVM> Надо было в приемном покое отрепонировать больного и
AVM> зафиксировать б/б кость спицами крест-накрест (не обязательно двумя...
AVM> можно и 3... можно и 4... больше не нужно...)
AVM> Развился бы потом некроз по задней поверхности? Ну и бог с ним, вылечили
AVM> бы как и вылечили в итоге конечном...
Вы правы. Но в приемном отделении было наложено скелетное
вытяжение, хотя фиксация спицами при поступлении уберегла бы нас от осложнений в
виде некроза кожи.
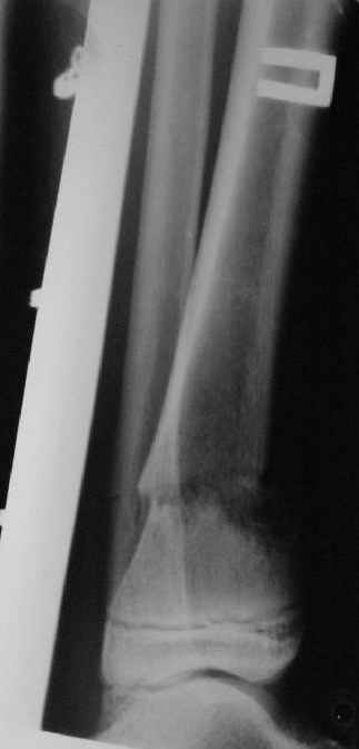
Так как речь зашла непосредственно о травме, см этапные
снимки. Как все было
AVM> Парт ту...
(экспрессия :)
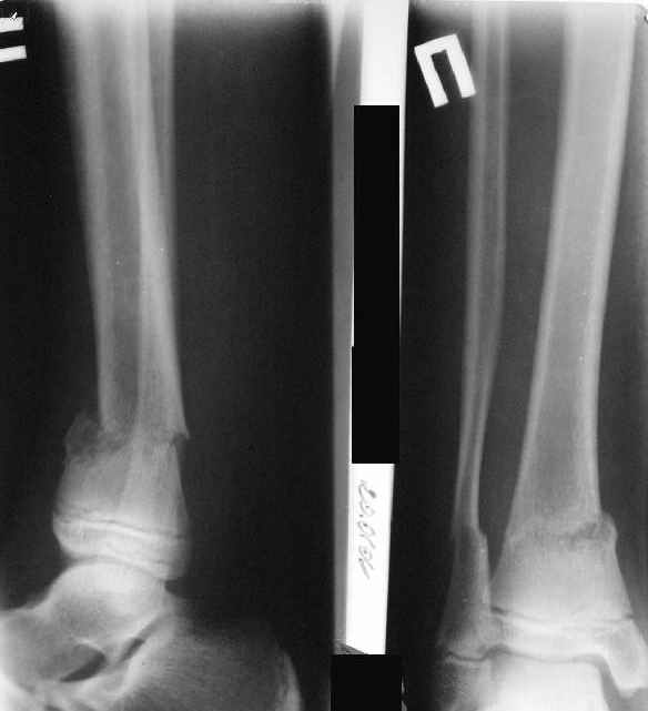
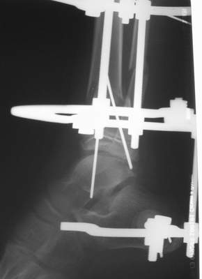
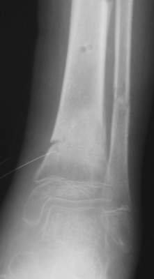
 Первичные
|
 Вытяжение
|
 Вытяжение
|
 Фиксация
|
 в гипсе
|
 Промежуточный
|
|
[
Ответить ]
|
Re: псевдоартроз
Отправитель: Alexey Mozgounov 01 Май 2005, 22:29
|
A> Это сросшийся перелом малоберцовой кости. И ложный сустав
A> н\3 б\берцовой кости.
Таперича это ясно.
А аппаратами пользуетесь?
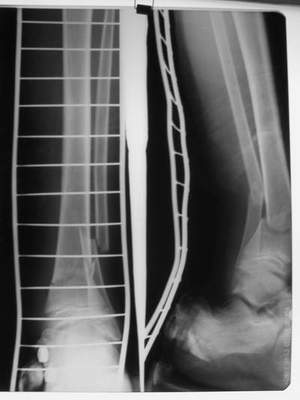
Нашел в комп-ре схожий случай:
1) з/репозиция, 2) фиксация 2 спицами, 3) аппарат, 4) фиксационные
спицы удалены...
См. аттачт.
А можно было наложить аппарат и по поводу ложного сустава...
По крайней мере не было бы укорочения (пусть и в 2 см)...
|
[
Ответить ]
|
Re: псевдоартроз
Отправитель: Alexey Mozgounov 01 Май 2005, 22:34
|
A> Так как речь зашла непосредственно о травме, см этапные
A> снимки. Как все было
Вопросов нет.
Предыдущие же ?? были сугубо в рамках представленной информации.
A> Это конечно дело жизненного опыта, но травматических пластичеких
A> деформаций у
A> подростков я не встречал.
Бывают.
Чаще - на уровне предплечья.
Например как "Монтеджиа-эквивалент".
Встречаются и при переломах голени (б/б с вальгусным смещением).
A> Тем более с такой дугой
См. аттачт.
A> и на этом
A> уровне.
К сожалению, в своем компьютере я таких случаев не нашел, но раза 2 встречал.
Опять таки к сожалению - не все удается заснять.
:-(
|
[
Ответить ]
|
|
( Ответить )
|
|