AOTRAUMA.ORG Центр Илизарова  

Ортопедия и травматология Общие вопросы/General questions Help Информационные технологии в медицине
 вверх
 отправить
 поиск
 админ
 главная


Околопротезный перелом
Ортопедия и травматология Отправлено Пивень И.М. 21 Апрель 2005, 14:44
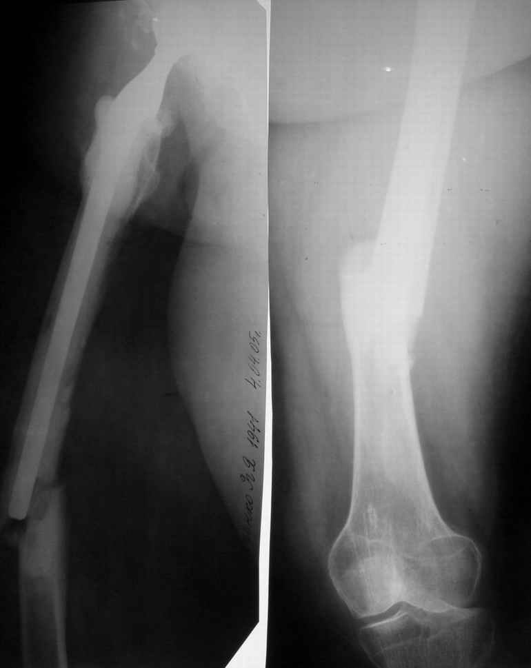
Уважаемые коллеги!Просим доброго совета.Больная 64 лет оперирована в клинике год назад по поводу диспластического коксартроза III ст. Выполнено эндопротезирование левого тазобедренного сустава цементным протезом "Beznoska". В течение месяца после операции дважды - вывих эндопротеза, в связи с чем 17.05.04 пошли на удаление ножки "Beznoska" и установку ревизионной ножки "De Puy".
Послеоперационный период протекал без осложнений. В течение года пациентка полностью реабилитировалась, вернулась к труду (преподаватель).4.04.05 в результате падения на улице получила околопротезный перелом бедра (рентгенограммы прилагаются). Просим Ваших советов относительно дальнейшей тактики лечения пациентки.

<  |  >

 

  • Сообщения о Ортопедия и травматология
  • Также Пивень И.М.
  • Связаться с автором
  • Ответить

    Re: Околопротезный перелом
    А.Миронов 22 Апрель 2005, 14:07
    Здравствуйте!

    Выполнить сотеосинтез бедра Locking Plate, в проксимальный отломок 3-4 монокортикальных блок. винта в дистальный 3 бикорт. блок., ограничить нагрузку на ногу 4-5нед., после конр.Rg-м дозированно увеличивать нагрузку. Если нет LCP можно стандартной пластиной, тогда через проксим. фрагмент проводить винты мимо ножки + серкляжи из проволоки.

    А.Миронов



    [ Ответить ]

    Re: Околопротезный перелом
    Evgueny Tchekashkine 25 Апрель 2005, 01:08
    Уважаемый Д-р Пивень И.М.,

    Фиксация пластиной DCP or Locking (12 отверстий) монокортикальными винтами+ 3-4 равноудаленных серкляжа на проксимальном фрагменте, бикортикальные винты на дистальном( блокирующие) при наличии лечение постменопаузального остеопороза (алендронат *Fosamax* 70 mg раз в неделю в сочетании с Са )

    Удачи,
    Евгений И. Чекашкин
    [ Ответить ]

    Re: Околопротезный перелом
    Alexander Rykov 25 Апрель 2005, 01:10
    У вашей пациентки случился так называемый дистальный перипротезный перелом бедра (перелом 3 типа). По сути - патологический (на нездоровой кости). В моей практике был однажды - выкрутился пластиной, чего и вам хочу предложить. Вдогонку полечите местный дефицит костной ткани. Статистика Р.E.Ochner 2003 до 5% всяких переломов при первичном и до 10% - при ревизионном протезировании (Ваша пациентка). Удачи. А Рыков. Хабаровка.
    [ Ответить ]

    Re: Околопротезный перелом
    Bagrat Grygoryan 25 Апрель 2005, 01:13
    Уважаемый коллега!
    Предоставьте, пожалуйста, предыдущие снимки,
    чем Вас не устраивала предыдущая ножка? Может причиной вывиха была избыточная антеверзия и вертикальное положение тазового компонента?
    На данный момент протез вправлен?
    А перипротезный перелом можно синтезировать, например, широкой изогнутой пластиной LCP и винтами с угловой стабильностью.
    С уважением Баграт Степанович.
    [ Ответить ]

    • Re: Околопротезный перелом
      Отправитель: Игорь М. Пивень 25 Апрель 2005, 17:34
      Уважаемые коллеги!
      Очень признательны за внимание к нашему случаю.
      Уважаемый Баграт Степанович! Эпизоды вывиха протеза годичной давности мы действительно связывали с неправильной установкой ножки (чрезмерная антеверзия). После установки ревизионной ножки повторных вывихов не было, пациентка полностью реабилитировалась.
      В настоящее время планируем остеосинтез бедра пластиной LCP.
      Большое спасибо за помощь.

      [ Ответить ]
    Re: Околопротезный перелом
    Imtamed 26 Ноябрь 2014, 10:47
    pdf, 2,3 Mb

    варианты

    [ Ответить ]


    ( Ответить )

    Powered by Zope  Squishdot Powered MedLink
    Посетитель: 0000030
      "По форме правильно, а по существу - издевательство" В.И.Ленин
    ©2001-2019Orthoforum Coordinator.
    [ Главная | Отправить сообщение | Поиск | Админ ]