AOTRAUMA.ORG Центр Илизарова  

Ортопедия и травматология Общие вопросы/General questions Help Информационные технологии в медицине
 вверх
 отправить
 поиск
 админ
 главная
 Предыдущее


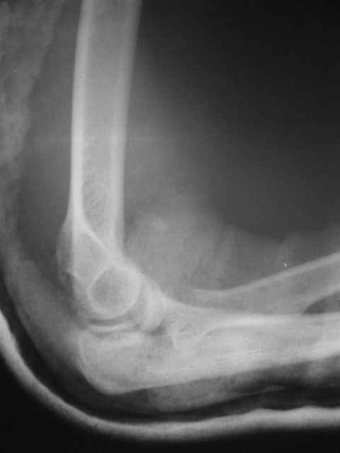
Re: Вывих костей предплечья и перелом головки луче
Evgueny Tchekashkine 25 Апрель 2005, 00:07
Уважаемый Анатолий,

зайдите на http://www.google.com поисковый сайт
и напечатайте radial head resection

Удачи в поиске,
Евгений
  • Сообщения о Ортопедия и травматология
  • Также Evgueny Tchekashkine
  • Связаться с автором
  • Ответить

    Re: Вывих костей предплечья и перелом головки луче
    Aleksey V. Mozgounov 25 Апрель 2005, 00:22
    Самое интересное, что сейчас сплошь и рядом наблюдается следующая тенденция -
    вместо резекции головки делать эндопротезирование (или ORIF)...
    дабы избежать Эссекс-Лопрести лижин'а or вальгусной деформации в отдаленном периоде...
    Я имею в виду МедЛайн...

    Много ли можно найти по данному запросу?
    Особенно применительно к нашим реалиям?

    Резюме...?
    Хоть и нет снимков, а головку действительно наверное надо было
    от....-ть...
    Так проще.
    Для всех.
    ...
    Вот операция.
    Вот заживление раны.
    Вот разработка.
    Вот полный объем движений.
    Или почти близкий к нему.
    Какие-то проблемы спустя 2-3-5 лет?
    Ни один адвокат не докажет, что больная пролечена была неправильно.
    Хочешь эндопротез?
    Да ради бога... Плати бабки и езжай зарубеж.
    Или где-то в России ставят эндопротезы головки луча?
    Поделитесь где...

    --
    Best regards,

    ~~~~~~~~~~~~~~~~~~~~~~~~~~~~~~~~~~~~~~~~~~~~~~
    Aleksey V. Mozgounov, M.D., Ph.D.,
    [ Ответить ]

    • Re: Вывих костей предплечья и перелом головки луче
      Отправитель: Evgueny Tchekashkine 25 Апрель 2005, 00:33
      Уважаемый Алексей,

      Вы указали последствия резекции головки луча: нестабильность, вальгусная деформация, влияние на дистальное радиоульнарное сочленение, поэтому при изолированных или сочетанных повреждениях гоовки, стараюсь ее *собрать*, фиксируя межфрагментарными 1,5 - 2,0 мм винтами, по ситуации + L-пластиной. Отмечается ограничение амплитуды ронации-супинации впоследствии, но локтевой сустав остается стабильным. Результаты протезирования головки флотирущими имплантами функционально удовлетворительны и применительны к случаям, когда *собрать* мнооскольчатый перелом невозможно.
      На том же поисковике есть много статей по теме и артропластике в том числе.
      Всего наилучшего,
      Евгений





















      [ Ответить ]

     

    ( Ответить )

    Powered by Zope  Squishdot Powered MedLink
    Посетитель: 0396050
      "По форме правильно, а по существу - издевательство" В.И.Ленин
    ©2001-2019Orthoforum Coordinator.
    [ Главная | Отправить сообщение | Поиск | Админ ]