AOTRAUMA.ORG Центр Илизарова  

Ортопедия и травматология Общие вопросы/General questions Help Информационные технологии в медицине
 ВХОД ДЛЯ ПАЦИЕНТОВ
 вверх
 поиск
 админ
 главная


Застарелое повреждение таза
Ортопедия и травматология Прислано Алексей Гринь 30 Апрель 2005, 12:15
из г.Тюмень ОКБ N2
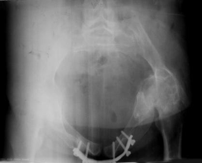
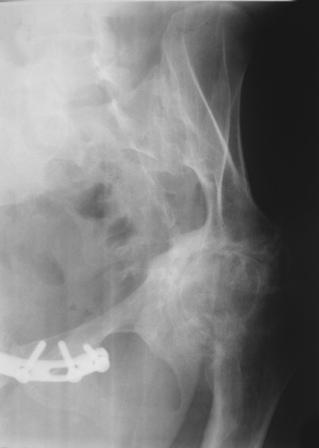
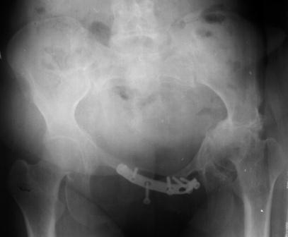
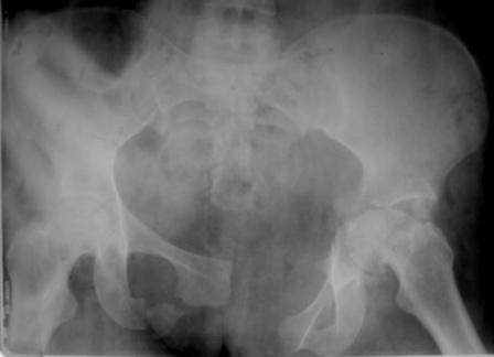
Уважаемые коллеги! Пациентка 32 года с застарелым повреждением таза, после остеосинеза лонного сочленения пластиной. Посоветуйте с выбором тактики и методик лечения.

Февраль 2004 г.

inlet

Запирательная

На 7 сутки

На левом колене

На правом колене

Подвздошная

Прямая

Стопа

Стопа 2
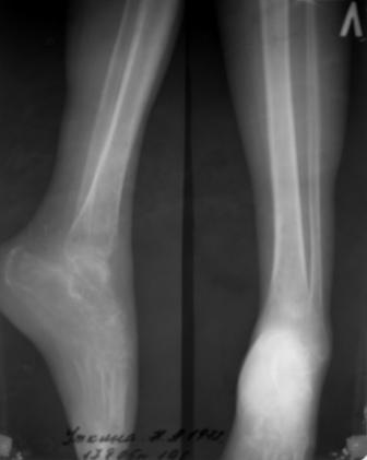
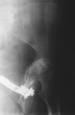
Получила травму в феврале 2004г в г.Лобытнанги ЯНАО Тюм.обл. Через неделю после поступления выполнен остеосинтез лонного сочленения пластиной. 1,5 месяца на скелетном вытяжении. В последующем ходит при помощи костылей с нагрузкой на правую ногу. Имеется нестабильность половин таза, неправильно-консолидированный перелом левой вертлужной впадины, невропатия седалищного нерва слева. В результате невропатии седалищного нерва сформировалась эквинусная установка левой стопы, парестезии по подошвенной поверхности.
Направлена к нам для устранения патологической установки стопы и эндопротезирования левого тазобедренного сустава, также имеется миграция шурупов пластины, фиксирующей лонное сочленение.
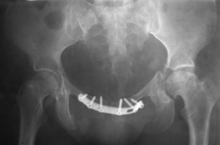
Клинически: ходит на костылях с нагрузкой на правую ногу. Левая стопа в эквинусе. Осевая нагрузка на левую н\конечность болезненна в области левого тазобедренного сустава, при прикосновениях к подошвенной поверхности стопы у пациентки чувство зжения. В левом коленном суставе полный обьем движений, в левом тазобедренном резко ограничено отведение и ротация, укорочение левой н\конечности на 2,5 см. При полипроекционной и функциональной Р-графии выявлена нестабильность левого КПС и лонного сочленения, консолидированный в порочном положении поперечный оскольчатый перелом левой вертлужной впадины с центральным смещением головки бедра. Нами выполнена коррекция деформации левой стопы. Планируется выполнить введение 2 канюлированных илиосакральных винтов слева, реостеосинтез лонного сочленения реконструктивной пластиной, после заживления ран - тотальное эндопротезирование левого тазобедренного сустава.
Вопросы: 1. достаточно-ли предпологаемой фиксации тазового кольца, может быть добавить аппарат внешней циксации;
2. сроки установки эндопротеза;
3. методика установки вертлужного компонента.

Послать ответ

Имя
Email
Уведомление Сообщить мне по e-mail об ответах на это сообщение
Название
Комментарий
(Проверьте URL! Не забудьте написать http://!)
Кодировка
Если не знаете, что выбрать, выберите "Просто текст"!
Приложение
Можно приложить к сообщению файл c изображением, который затем будет доступен увидевшим сообщение.
Подготовка иллюстраций:
  • Рентгенограммы: черно-белые полутоновые изображения в формате JPEG (8 bit, greyscale) с разрешением от 300х200 до 1024х768 пикселов;
  • Клинические фотографии: полноцветные изображения в формате JPEG (24 bit, truecolor) с разрешением от 300х200 до 1024х768 пикселов;
  • Схемы и рисунки: черно-белые (2 bit) штриховые (line-art) изображения в формате GIF или compressed TIFF
  • Подберите степень сжатия файла JPEG и размер изображения таким образом, чтобы необходимые детали были различимы, но размер файла не превышал 75 кб.
  • Учтите, что текущая версия программного обеспечения Форума позволяет приложить к одному сообщению лишь один файл-вложение. Поэтому, если необходимо отправить несколько изображений, можно либо послать каждое как отдельное сообщение, либо в графическом редакторе объединить изображения в одно (сделать коллаж).
  • Если при подготовке изображений встречаются трудности, не стесняйтесь обратиться к координатору Форума.

  • Введите видимые символы в обратном порядке. Enter the above characters in reverse order (*Обязательно)
    В тексте сообщения можно использовать теги HTML <B> <I> <P> <A> <LI> <OL> <UL> <EM> <BR> <TT> <HR> <STRONG> <BLOCKQUOTE> <DIV .*> <DIV> <P .*>
  • Обратите внимание: Поля с жирными названиями обязательны.
  • Старайтесь отвечать в рамках обсуждаемой темы, а не начинать новые обсуждения.
  • Указывайте адекватную тему сообщения, чтобы было ясно, о чем оно.
  • Не послайте сообщений не по теме (оффтопик), раздраженных, грубых или обидных комментариев. Здесь это неуместно.
  • Powered by Zope  Squishdot Powered MedLink
    Посетитель: 0000031
      "По форме правильно, а по существу - издевательство" В.И.Ленин
    ©2001-2019Orthoforum Coordinator.
    [ Главная | Отправить сообщение | Поиск | Админ ]