AOTRAUMA.ORG Центр Илизарова  

Ортопедия и травматология Общие вопросы/General questions Help Информационные технологии в медицине
 ВХОД ДЛЯ ПАЦИЕНТОВ
 вверх
 поиск
 админ
 главная


косолапость
Ортопедия и травматология Прислано Aleksey V. Mozgounov 03 Май 2005, 09:18
из
Уважаемые коллеги, Ребенок, мальчик, 11 лет... Врожденная косолапость, до 4 лет лечился консервативно,
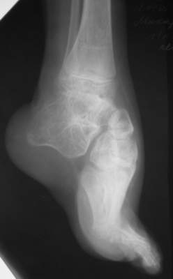
в 4 года оперирован у нас - операция по типу Зацепина, далее аппарат Илизарова... Предоперционная картина - как на рис "case 1 a" (фото другого больного)... При операции использовался аппарат с "моноблоком" стопы - см. "case 1 b" (фото другого больного) - в связи с чем интраоперационно провели достаточно выраженную одномоментную коррекцию после чего возник некроз в области операционных ран в результате чего "вывалился" "кусок" по внутренней поверхностих... аппарат сняли... больного перевели в отделение микрохирургии... с другой голени делали пересадку... прижилось... больного выписали... все это было 7 лет назад... 3 года назад больной лечился в Астрахани... Никаких выписок нет (не видел...) (хэллоу, астраханцы!!! если есть - отзовитесь...), но со слов мальчика и его матери ему делали удлинение на уровне верхней трети голени плюс исправляли стопу... опять-таки со слов - сразу же после коррекции стопу загипсовали на 6 нед, после чего прописали ночные тутора плюс ортообувь... т.е. после коррекции стопу в аппарате не выдерживали и гипсовали всего 1,5 мес.... через 6 мес стопа "ушла" в исходное положение... с которой он пришел к нам сейчас... (case 2-9) В настоящее время у мальчика эквино (!!!)-варус... в подтаранном суставе полный анкилоз... (см. Ro) Были предложения исправить деформацию аппаратно с остеотомией через ладью... Передумали :-) ... Лично у меня возникают также вопросы на счет плюсне-клиновидных сусутавов... и так я их Ro-фировал, и эдак (снимки не представлены), а все равно не могу избавиться от впечталения, что и в них имеется некое фиброзно-костное анкилозирование... А на КТ у больных денег нету... Короче... Наложили аппарат... Попытаемся растянуть стопу + "подкоррегировать" варус и убрать эквинус... А после этого определиться с уровнем остеотомии (это официальное мнение...) Я же хочу сделать все тоже, за исключением остеотомии (при условии что нет того самого анкилозирования на уровне плюсне-клиновидных сусутавов...) Убрать варус и эквинус на фоне удлинения... коррекция с гипер-... плюс подержать в этом положении 1-1,5 мес... Но не лежит рука к остеотомии... Единственное, после коррекции есть желание "отсепарировать" подошвенные связки с костной "основой" от пяточной кости и загипсовать в таком положении во избежание возможного рецидива... А там посмотрим... мнения ???

Послать ответ

Имя
Email
Уведомление Сообщить мне по e-mail об ответах на это сообщение
Название
Комментарий
(Проверьте URL! Не забудьте написать http://!)
Кодировка
Если не знаете, что выбрать, выберите "Просто текст"!
Приложение
Можно приложить к сообщению файл c изображением, который затем будет доступен увидевшим сообщение.
Подготовка иллюстраций:
  • Рентгенограммы: черно-белые полутоновые изображения в формате JPEG (8 bit, greyscale) с разрешением от 300х200 до 1024х768 пикселов;
  • Клинические фотографии: полноцветные изображения в формате JPEG (24 bit, truecolor) с разрешением от 300х200 до 1024х768 пикселов;
  • Схемы и рисунки: черно-белые (2 bit) штриховые (line-art) изображения в формате GIF или compressed TIFF
  • Подберите степень сжатия файла JPEG и размер изображения таким образом, чтобы необходимые детали были различимы, но размер файла не превышал 75 кб.
  • Учтите, что текущая версия программного обеспечения Форума позволяет приложить к одному сообщению лишь один файл-вложение. Поэтому, если необходимо отправить несколько изображений, можно либо послать каждое как отдельное сообщение, либо в графическом редакторе объединить изображения в одно (сделать коллаж).
  • Если при подготовке изображений встречаются трудности, не стесняйтесь обратиться к координатору Форума.

  • Введите видимые символы в обратном порядке. Enter the above characters in reverse order (*Обязательно)
    В тексте сообщения можно использовать теги HTML <B> <I> <P> <A> <LI> <OL> <UL> <EM> <BR> <TT> <HR> <STRONG> <BLOCKQUOTE> <DIV .*> <DIV> <P .*>
  • Обратите внимание: Поля с жирными названиями обязательны.
  • Старайтесь отвечать в рамках обсуждаемой темы, а не начинать новые обсуждения.
  • Указывайте адекватную тему сообщения, чтобы было ясно, о чем оно.
  • Не послайте сообщений не по теме (оффтопик), раздраженных, грубых или обидных комментариев. Здесь это неуместно.
  • Powered by Zope  Squishdot Powered MedLink
    Посетитель: 0000414
      "По форме правильно, а по существу - издевательство" В.И.Ленин
    ©2001-2019Orthoforum Coordinator.
    [ Главная | Отправить сообщение | Поиск | Админ ]