AOTRAUMA.ORG Центр Илизарова  

Ортопедия и травматология Общие вопросы/General questions Help Информационные технологии в медицине
 вверх
 отправить
 поиск
 админ
 главная
 Предыдущее
 Весь тред


Re: Интерлокинг костей предплечья
Alexander Chelnokov 10 Май 2005, 15:48
Глубокоуважаемый Виталий,

ДВ> Считаю нецелесообразным применение штифтов при переломах костей
ДВ> предплечья при острой травме, а тем более при несращениях.

В развитых странах накостный остеосинтез при переломах предплечья являтся стандартом. Но к закрытому интрамедуллярному сейчас интерес возрастает.

ДВ> Правильный остеосинтез при ложных суставах пластинами LC-DCP или
ДВ> LCP с костной аутопластикой даёт прекрасные результаты и
ДВ> возможность ранних активных движений.

Положим, *правильный* интрамедуллярный дает то же самое, причем закрыто, и разрезы по 0,5 см. А если еще вспомнить про рефрактуры после удаления пластин, чего не бывает при удалении стержней?

ДВ> Кроме того,гвоздь нарушает анатомическую конфигурацию костей
ДВ> что ведет к несращению другой.

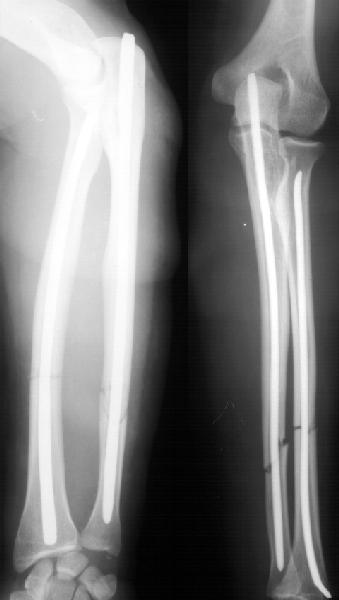
А зачем же неправильный гвоздь использовать, который нарушает? Наоборот, с помощью гводя нарушенная форма костей очень даже эффективно восстанавливается (см. пример). А неправильный
остеосинтез можно сделать чем угодно.








  • Сообщения о Ортопедия и травматология
  • Также Alexander Chelnokov
  • Связаться с автором
  • Ответить

    Re: Интерлокинг костей предплечья
    А. Миронов 10 Май 2005, 18:16
    >Наоборот, с помощью гводя нарушенная форма костей очень даже эффективно восстанавливается (см. пример).
    форма восстанавливается, но достаточной стабильности при таком остеосинтезе (пример) достигнуть трудно, ранние движения невозможны, а несращения встречаются как и при любом виде остеосинтеза.
    А.Миронов

    [ Ответить ]

    • Re: Интерлокинг костей предплечья
      Отправитель: Alexander Chelnokov 10 Май 2005, 20:26
      АМ> форма восстанавливается, но достаточной стабильности при таком
      АМ> остеосинтезе (пример) достигнуть трудно, ранние движения невозможны,

      Эта конкретная больная на пятый день после операции мыла дома пол (муж - хирург, не мог же он этим заниматься :-)
      А движения как раз начинаются максимально рано, на следующий день, включая ротацию - больших ран ведь нет, сильно не болит - в приложении картина в день снятия швов.















      К месяцу после операции практически у всех больных - клиническая картина здорового человека.
      Так что стабильность достаточная. А то, что она не абсолютная, как с пластинкой - это как раз способствует периостальному сращению. Конечно, при многооскольчатых переломах для осевой устойчивости лучше запирать винтами.

      АМ> а несращения встречаются как и при любом виде остеосинтеза.

      При *закрытом* интрамедуллярном остеосинтезе - это редкость. Где-то на 60 больных есть одно несращение лучевой кости (рентгенологическая находка, клинических проявлений нет) - синтез получился с удлинением.
      Ну и мы сейчас как раз несращения после других видов остеосинтеза интрамедуллярными стержнями фиксируем...



      [ Ответить ]
      • Re: Интерлокинг костей предплечья
        Отправитель: А.Миронов 10 Май 2005, 22:04
        >К месяцу после операции практически у всех больных - клиническая картина здорового человека.
        Если так, то у Вас отличные результаты!

        А репонируете как? Аппарат? Руками? Если закрытая репозиция неудаётся, то фиксируете перелом пластиной или всё же гвоздём?
        А.Миронов

        [ Ответить ]
    Re: Интерлокинг костей предплечья
    Дрягин Виталий 10 Май 2005, 20:28
    Уважаемый Александр!Постоянно слежу за статьями только отвечать лень.С уважением и большим интересом.Дрягин
    [ Ответить ]

    • Re: Интерлокинг костей предплечья
      Отправитель: Alexander Chelnokov 10 Май 2005, 20:57
      ;-)) Откровенно. А это сетевое общение, оно чем хорошо - лень отвечать, так и не отвечаешь. Никто никому ничем не обязан.

      [ Ответить ]
    Re: Интерлокинг костей предплечья
    Дрягин Виталий 10 Май 2005, 20:33
    С удовольствием посмотрю при встрече снимки в динамике.К сожаления в июне не буду на сьезде у Вас, еду Португалию на конгресс с докладом. Надеюсь может Вы загляните к нам или я приеду за лето.
    [ Ответить ]

    • Re: Интерлокинг костей предплечья
      Отправитель: Alexander Chelnokov 10 Май 2005, 20:58
      ДВ> июне не буду на сьезде у Вас, еду Португалию на конгресс с докладом.

      Эххх, я бы с такой радостью поменялся с Вами... ;-)
      Впрочем, чем черт не шутит, может, на оба мероприятия успеем?

      ДВ> Надеюсь может Вы загляните к нам или я приеду за лето.

      Да, постараемся.

      [ Ответить ]
    Re: Интерлокинг костей предплечья
    Виталий Дрягин 11 Май 2005, 09:08
    Уважаемый Александр! Как Вы знаете,у многих фирм имеются различные гвозди с блокированием для бедра и тд. Исключением составляют кости предплечья,т.к.синтез их требует применения фиксаторов с абсолютной стабильнстью, а это только пластины. Гвоздь дает относительную стабильность даже с блокированием. Кроме того, по мнению классиков АО к переломам предплечья необходимо относится как к внутрисуставным переломам, а это в первую очередь идеальная репозиция и абсолютная стабильность. Это не я придумал.Это Мюллер и тд. С уважением.
    [ Ответить ]

    • Re: Интерлокинг костей предплечья
      Отправитель: Alexander Chelnokov 11 Май 2005, 10:41
      Глубокоуважаемый Виталий,

      Wednesday, May 11, 2005, 9:11:31 AM, you wrote:

      ВД> гвозди с блокированием для бедра и тд.Исключением составляют кости
      ВД> предплечья,

      Есть блокируемые гвозди для предплечья - например, Foresight (Smith+Nephew), SST (Biomet), в наших краях доступны аналогичные гвозди ChM (есть в "Деосте").

      ВД> т.к.синтез их требует применения фиксаторов с абсолютной
      ВД> стабильнстью,а это только пластины.

      А отчего постулируется требование абсолютной стабильности для костей предплечья? Легко убедиться, что и с относительной стабильностью они чудно срастаются.

      ВД> Кроме того, по мнению классиков АО к переломам предплечья
      ВД> необходимо относится как к внутрисуставным переломам,

      Это всего лишь подразумевает, что на диафизе предплечья надо восстановить ось, длину и форму костей и ротацию лучевой кости. Что автоматически обеспечивает правильные взаимоотношения в межкостных сочленениях.

      ВД> а это в первую очередь идеальная репозиция и абсолютная
      ВД> стабильность. Это не я придумал.Это Мюллер и тд.

      "Мюллер и тд" насчет многого, что они придумали, за последние годы передумали... А критерий истины - практика, это не я придумал.
      ;-)

      [ Ответить ]

     

    ( Ответить )

    Powered by Zope  Squishdot Powered MedLink
    Посетитель: 0396157
      "По форме правильно, а по существу - издевательство" В.И.Ленин
    ©2001-2019Orthoforum Coordinator.
    [ Главная | Отправить сообщение | Поиск | Админ ]