AOTRAUMA.ORG Центр Илизарова  

Ортопедия и травматология Общие вопросы/General questions Help Информационные технологии в медицине
 ВХОД ДЛЯ ПАЦИЕНТОВ
 вверх
 поиск
 админ
 главная


закр. репозиция # головки/шейки луча
Ортопедия и травматология Прислано Aleksey V. Mozgounov 16 Май 2005, 08:08
из
Коллеги, а как репонируем переломы головки/шейки луча у детей/подростков?
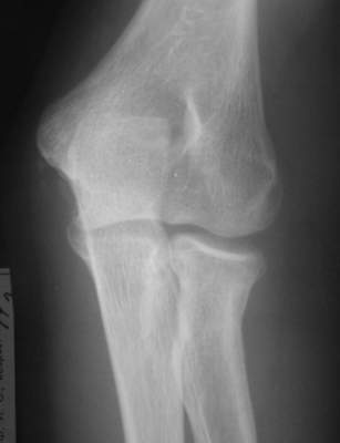
Есть методика воздействия на дистальный отломок при фиксации головки на месте - у нас - по-Марксу, у "них" - по-Паттерсону (ежели не обшибся с фамилией)... Есть методика прямого воздействия на проксимальный фрагмент... Путем пальцевого давоения... Вроде бы по-Ворохобову... у нас... Также делают и у "них"... Есть и как бы "промежуточная" методика в виде "давления" в сочетании с "накатом" - описана в каком-то вольюме JBJS, вроде бы израильскими (?) авторами... А есть еще метод по-Свинухову... Аналога у "них" мне не известно... О чрескожных манипуляциях спицами сознательно не упомянаю... Что предпочитаете? ------------------------- А вот case report... Подросток 14 лет... Зкрытая репозиция "давление-накатом"... Безрезультатно... Через 3 дня репозиция по-Свинухову... Вроде бы все закончилось успешно... Однако 6 мес спустя после 2-кратного курса реабилитации клническая картина достаточно плачевна: Ротация предплечья: справа (здоровая) - 80 кнутри и 85-90 кнаружи слева (больная) - 40 кнутри и 40 кнаружи При этом клинически внутренняя ротация справа (здоровая сторона) и слева (больная сторона) составляет порядка 85 и 80-75 соответвенно, но за счет ротационной мобильности запястья, порядка, например, 40-35 градусов на больной стороне... Сгибание слева (травмированная сторона) - 90 гр. разгибание - около 160 гр. Рентгенологически: в боковой проекции гетеротопическая оссификация по передней поверхности локтевого сустава, над головкой луча с "шипом" над радиокапителлярным сочленением... однако в прямой проекции локализация оссификата трудно определима, хотя вроде бы располагается по ходу сухожилия бицепса, т.е. в проекции луче-локтевого сочленения, но со стороны локтевой кости.... Что делать? Кто виноват? :-)

Послать ответ

Имя
Email
Уведомление Сообщить мне по e-mail об ответах на это сообщение
Название
Комментарий
(Проверьте URL! Не забудьте написать http://!)
Кодировка
Если не знаете, что выбрать, выберите "Просто текст"!
Приложение
Можно приложить к сообщению файл c изображением, который затем будет доступен увидевшим сообщение.
Подготовка иллюстраций:
  • Рентгенограммы: черно-белые полутоновые изображения в формате JPEG (8 bit, greyscale) с разрешением от 300х200 до 1024х768 пикселов;
  • Клинические фотографии: полноцветные изображения в формате JPEG (24 bit, truecolor) с разрешением от 300х200 до 1024х768 пикселов;
  • Схемы и рисунки: черно-белые (2 bit) штриховые (line-art) изображения в формате GIF или compressed TIFF
  • Подберите степень сжатия файла JPEG и размер изображения таким образом, чтобы необходимые детали были различимы, но размер файла не превышал 75 кб.
  • Учтите, что текущая версия программного обеспечения Форума позволяет приложить к одному сообщению лишь один файл-вложение. Поэтому, если необходимо отправить несколько изображений, можно либо послать каждое как отдельное сообщение, либо в графическом редакторе объединить изображения в одно (сделать коллаж).
  • Если при подготовке изображений встречаются трудности, не стесняйтесь обратиться к координатору Форума.

  • Введите видимые символы в обратном порядке. Enter the above characters in reverse order (*Обязательно)
    В тексте сообщения можно использовать теги HTML <B> <I> <P> <A> <LI> <OL> <UL> <EM> <BR> <TT> <HR> <STRONG> <BLOCKQUOTE> <DIV .*> <DIV> <P .*>
  • Обратите внимание: Поля с жирными названиями обязательны.
  • Старайтесь отвечать в рамках обсуждаемой темы, а не начинать новые обсуждения.
  • Указывайте адекватную тему сообщения, чтобы было ясно, о чем оно.
  • Не послайте сообщений не по теме (оффтопик), раздраженных, грубых или обидных комментариев. Здесь это неуместно.
  • Powered by Zope  Squishdot Powered MedLink
    Посетитель: 0394705
      "По форме правильно, а по существу - издевательство" В.И.Ленин
    ©2001-2019Orthoforum Coordinator.
    [ Главная | Отправить сообщение | Поиск | Админ ]