AOTRAUMA.ORG Центр Илизарова  

Ортопедия и травматология Общие вопросы/General questions Help Информационные технологии в медицине
 вверх
 отправить
 поиск
 админ
 главная
 Предыдущее


Re: Остеохондрома подвздошной кости
Остап Зубач 03 Июнь 2005, 23:15
Уважаемый Руслан Шарафиев,
вижу два варианта закрытия такого дефекта:
1)приналичии костного банка - пластика аллотрансплантатом
2) костным трансплантатом из контрлатеральной подвздошной кости

Большая просьба сообщить о принятом решении и результатах лечения.

С уважением,
Зубач О.Б.
Львовская больница скорой помощи,
II травматологическое отделение.

  • Сообщения о Ортопедия и травматология
  • Также Остап Зубач
  • Связаться с автором
  • Ответить

    Re: Остеохондрома подвздошной кости
    Пулатов Андрей Рифгатович 07 Июнь 2005, 17:00
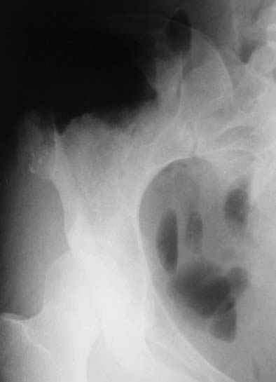
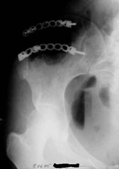
    Уважаемые коллеги, больную прооперировали. После выделения остеохондрома резецирована в пределах неизменённой кости. Выявлено, что гребень подвздошой кости не пострадал от опухоли. В результате резекции сформирован сквозной дефект в крыле подвздошной кости треугольной формы 6х7х8 см. В качестве трансплантата использована наружная кортикальная пластинка заднего отдела крыла подвздошной кости.
    Трансплантат фиксирован на месте дефекта при помощи шурупов и проволоки. Кровопотеря 550 мл.
    Спасибо всем за участие.
    На фото этапы операции, R-gr.





























    Детское ортопедическое отделение
    Уральского НИИ травматологии и ортопедии

    [ Ответить ]

    • Re: Остеохондрома подвздошной кости
      Отправитель: Волокитина Елена Александровна 08 Июнь 2005, 18:29
      Уважаемый Андрей Рифгатович!
      Поздравляю с успешным завершением операции. Удача сопутствует умению!!! И далее - Вам и Вашему коллективу - удач, а пациентке - выздоровления.
      С уважением Е.А.Волокитина


      [ Ответить ]

     

    ( Ответить )

    Powered by Zope  Squishdot Powered MedLink
    Посетитель: 0413937
      "По форме правильно, а по существу - издевательство" В.И.Ленин
    ©2001-2019Orthoforum Coordinator.
    [ Главная | Отправить сообщение | Поиск | Админ ]