вверх
отправить
поиск
админ
главная
Предыдущее
|
Re: Вывих бедра - дообследование
Юрий Алексеевич Булахтин 21 Май 2005, 18:34
|
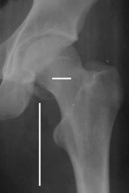
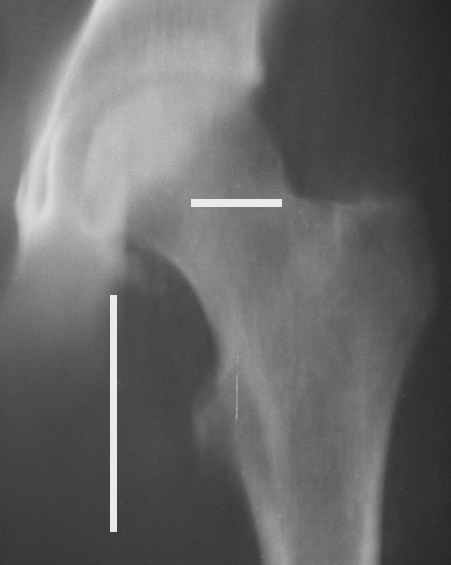
Уважаемые коллеги! Заканчивая обследование больного с переломо-вывихом бедра сделал ему обычные R-томограммы. Кажется удалось "поймать" и отломок и донорское место. Мои выводы - в скиаграмме. Считаю, что это передне-нижний фрагмент головки, образовавшийся вследствии отрывного перелома. На томограммах отломок обозначаю длинной стрелкой, а место откуда он оторвался - более короткой. Учитывая тот факт, что его размеры по КТ 25 х 15 мм считаю, что его фиксация на место необходима для профилактики артроза, что при 16-ти летнем возрасте пациента важно в плане максимального отодвигания эндопротезирования. Планирую оперировать его 24.05.05 г. Результаты представлю.
 Прямой при поступлении
|
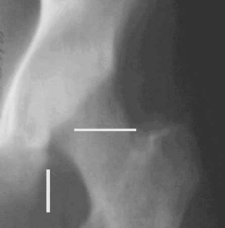
 Прямой 19.05
|

|

|

|

|

|

|

|
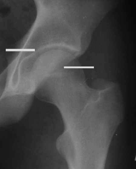
Несколько соображений к "картинкам". На прямом снимке и КТ-томограммах все типичные линии вертлужной впадины: крыша, передняя стенка, задняя стенка - сохранены. На КТ-сканах 6 и 7 появляется фрагментация головки. С учетом R-томограмм отломок расположен спереди-снизу, а не сзади-сверху от сустава, как написано в описании КТ.
Юрий Алексеевич Булахтин
|
|
|
Ответить
|
Re: Вывих бедра - дообследование
Alexander Chelnokov 24 Май 2005, 19:16
|
ЮАБ> впадины. В последнем случае, думаю надо оперировать, а если это
ЮАБ> фрагменты головки из ненагруженной зоны - то не уверен. Какие есть
Посмотрите про вывихи и переломы головки, напирмер, здесь.
При перелома типа Pipkin I, когда фрагмент головки не включает нагружаемую часть (данный случай), операция нужна только при его интерпозиции в суставе, речь только об удалении. Сейчас можно проверить, есть ли затруднения при пассивных движениях в суставе.
Если трудностей нет, то и вести больного, как после обычного вправления бедра.
|
[
Ответить ]
|
( Ответить )
|
|