AOTRAUMA.ORG Центр Илизарова  

Ортопедия и травматология Общие вопросы/General questions Help Информационные технологии в медицине
 ВХОД ДЛЯ ПАЦИЕНТОВ
 вверх
 поиск
 админ
 главная


Вывих бедра - дообследование
Ортопедия и травматология Прислано Юрий Алексеевич Булахтин 19 Май 2005, 14:28
из Камчатский Военно - морской госпиталь
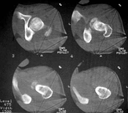
Уважаемые коллеги! Спасибо всем, кто откликнулся на обсуждение. На сегодня доделаны боковые снимки и КТ. Компьютера с возможностью 3D реконструкции на Камчатке нет. Официальное заключение по имеющимся сканам: имеется оскольчатый перелом головки бедра с фрагментацией ее передне-нижнего отдела. Соотношения в суставе в настоящее время правильные. Кзади и выше него в мягких тканях - отдельно лежащий костный фрагмент 15х25 мм (вероятно от головки).
Досылаю на форум КТ и R-граммы. У самого, откровенно говоря, сомнения остаются относительно того, что это не фрагменты вертлужной впадины. В последнем случае, думаю надо оперировать, а если это фрагменты головки из ненагруженной зоны - то не уверен. Какие есть мнения, в том числе и по срокам рагрузки сустава? Главный травматолог Камчатского Военно-морского госпиталя Булахтин Юрий Алексеевич Больного сейчас ничего не беспокоит. Уложен на щит, иммобилизация деротационным сапогом.

КТ1

КТ2

КТ3

Под 65 градусов

Аксиальный головки

Прямой 19.05

Послать ответ

Имя
Email
Уведомление Сообщить мне по e-mail об ответах на это сообщение
Название
Комментарий
(Проверьте URL! Не забудьте написать http://!)
Кодировка
Если не знаете, что выбрать, выберите "Просто текст"!
Приложение
Можно приложить к сообщению файл c изображением, который затем будет доступен увидевшим сообщение.
Подготовка иллюстраций:
  • Рентгенограммы: черно-белые полутоновые изображения в формате JPEG (8 bit, greyscale) с разрешением от 300х200 до 1024х768 пикселов;
  • Клинические фотографии: полноцветные изображения в формате JPEG (24 bit, truecolor) с разрешением от 300х200 до 1024х768 пикселов;
  • Схемы и рисунки: черно-белые (2 bit) штриховые (line-art) изображения в формате GIF или compressed TIFF
  • Подберите степень сжатия файла JPEG и размер изображения таким образом, чтобы необходимые детали были различимы, но размер файла не превышал 75 кб.
  • Учтите, что текущая версия программного обеспечения Форума позволяет приложить к одному сообщению лишь один файл-вложение. Поэтому, если необходимо отправить несколько изображений, можно либо послать каждое как отдельное сообщение, либо в графическом редакторе объединить изображения в одно (сделать коллаж).
  • Если при подготовке изображений встречаются трудности, не стесняйтесь обратиться к координатору Форума.

  • Введите видимые символы в обратном порядке. Enter the above characters in reverse order (*Обязательно)
    В тексте сообщения можно использовать теги HTML <B> <I> <P> <A> <LI> <OL> <UL> <EM> <BR> <TT> <HR> <STRONG> <BLOCKQUOTE> <DIV .*> <DIV> <P .*>
  • Обратите внимание: Поля с жирными названиями обязательны.
  • Старайтесь отвечать в рамках обсуждаемой темы, а не начинать новые обсуждения.
  • Указывайте адекватную тему сообщения, чтобы было ясно, о чем оно.
  • Не послайте сообщений не по теме (оффтопик), раздраженных, грубых или обидных комментариев. Здесь это неуместно.
  • Powered by Zope  Squishdot Powered MedLink
    Посетитель: 0000094
      "По форме правильно, а по существу - издевательство" В.И.Ленин
    ©2001-2019Orthoforum Coordinator.
    [ Главная | Отправить сообщение | Поиск | Админ ]