ВХОД ДЛЯ ПАЦИЕНТОВ
вверх
поиск
админ
главная
|
Сочетанная врожденная патология |
 |
 |
 |
Прислано Dmitry Kalinovsky 11 Июнь 2005, 17:18
из ДонГМУ
Здравствуйте, коллеги!
Представляю Вашему вниманию следующий клинический случай.
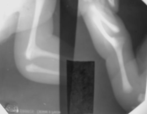
Девочка (родилась 25.05.05) с врожденной сочетанной патологией (см. выписку из истории болезни и Ро лучевых и локтевых суставов).
Вопросы: тактика лечения - необходимость оперативного лечения, в какие сроки?
С уважением, Калиновский Д.К.
dmitry.kalinovsky@dsmu.edu.ua
www.mfs.dsmu.edu.ua
Обратите внимание: Поля с жирными названиями обязательны.
Старайтесь отвечать в рамках обсуждаемой темы, а не начинать новые обсуждения.
Указывайте адекватную тему сообщения, чтобы было ясно, о чем оно.
Не послайте сообщений не по теме (оффтопик), раздраженных, грубых или обидных комментариев. Здесь это неуместно.
|