вверх
отправить
поиск
админ
главная
|
Осваиваем метод блокированного синтеза голени |
 |
 |
 |
Отправлено Alexandr Shevchenko 29 Июль 2005, 20:21
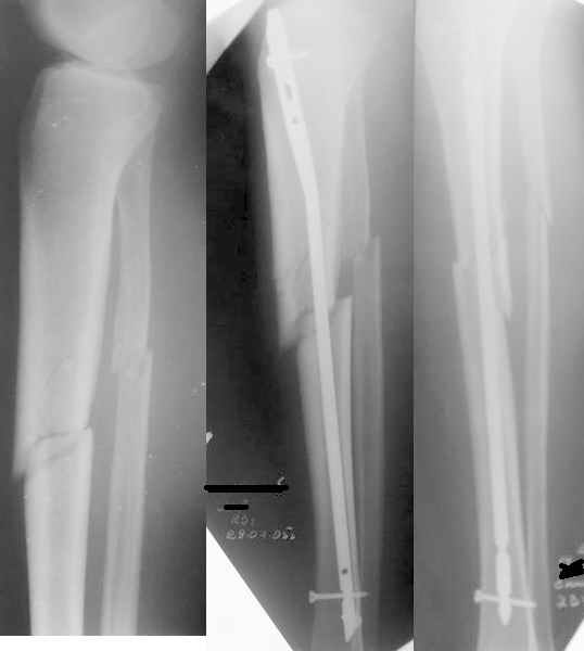
Уважаемые коллеги. Подскажите, где допущена ошибка и как её исправить. Пациент 23 лет. Травма 24.07.05 спрыгнул с высоты 1,5 метров. До операции гипсовая иммобилизация. 29.07 закрытая репозиция и интрамедуллярный блокированный синтез штифтом "Остеомед". Подскажите, где допущена ошибка, приведшая к смещению и как её исправить. С уважением, Александр Шевченко
<
|
>
|
|
Ответить
|
Re: Осваиваем метод блокированного синтеза голени
Alexander Chelnokov 29 Июль 2005, 22:19
|
Более красивую рентгенограмму позволилО бы получить:
1)предварительное восстановление длины голени с помощью того или иного вытяжения (основная проблема в этом случае).
2) п.1 + введение в центральный отломок во фронтальной плоскости отклоняющего (poller) винта или спицы кзади от желаемой траектории гвоздя.
3)п.1 + использование стержня большего диаметра (этот 8 мм тут как карандаш в стакане).
Беда, в общем, небольшая. По-научному говоря, может (и должно) "захрястнуть" и так.
Разрешите полюбопытствовать - почему в центральный отломок ввели единственный винт, но в 45-градусное отверстие?
|
[
Ответить ]
|
Re: Осваиваем метод блокированного синтеза голени
Отправитель: Александр Шевченко 30 Июль 2005, 00:48
|
Дистрактор использовался, 2 кольца. Вверху два винта, второй не виден на снимке. Стержень большего диаметра 9 мм имелся. Попоытка использовать поляризующий винт была, но не достигли желаемого, он слишком кзади получился. А в момент введения штифта через линию перелома он как бы отталкивал кзади дистальный фрагмент, то есть упирался в заднюю стенку. Нужно ли исправлять и как эту ситуацию? (это наш третий штифт, 2 первых были без проблем))
|
[
Ответить ]
|
Re: Осваиваем метод блокированного синтеза голени
Отправитель: Alexander Chelnokov 30 Июль 2005, 10:43
|
АШ> Дистрактор использовался, 2 кольца.
А длина когда потерялась? Или длина не была восстановлена, или сбросили дистракцию рано, до введения винтов.
АШ> Вверху два винта, второй не виден на снимке. Стержень большего
АШ> диаметра 9 мм имелся.
Тут и 12 мм подошел бы.
АШ> Попоытка использовать поляризующий винт была, но не достигли
АШ> желаемого, он слишком кзади получился.
Мы предпочитаем использовать отклоняющие спицы. Поищу картинку сответствующую. Их вводить быстрее и проще, чем винты. И если чересчур кпереди проведешь спицу, то она изогнется, но гводь пропустит. А с винтом гвоздь может зажать, или расколоть можно.
АШ> А в момент введения штифта через линию перелома он как бы
АШ> отталкивал кзади дистальный фрагмент, то есть упирался в заднюю
АШ> стенку.
Это типично особенно для высоких переломов. Канал гвоздя в центральном отломке должен быть ближе к переднему кортексу. Poller винт или лучше спица проблему решают. Ну и гвоздь большего диаметра "автомагически" смещение бы устранил.
АШ> Нужно ли исправлять и как эту ситуацию?
Если Вы про данного больного, то я бы оставил все как есть.
|
[
Ответить ]
|
Re: Осваиваем метод блокированного синтеза голени
Отправитель: Alexander Chelnokov 31 Июль 2005, 00:46
|
Вот картинка с ЭОП - гвоздь проходит центральный отломок, видно, как спица не дает ему отклониться к задней стенке канала.
|
[
Ответить ]
|
|
Re: Осваиваем метод блокированного синтеза голени
Waldemar Kindsvater 30 Июль 2005, 10:18
|
Уважаемый Александр,
Вы выбрали штифт малого диаметра. Был бы он потолще, то все бы встало на свои места.
Коррегировать я бы не стал. В одной плоскости выглядит добольно таки прилично, большого укорочения нет. Через 6 недель я бы удалил проксимальный шуруп.
С уважением
Вальдемар.
|
[
Ответить ]
|
Re: Осваиваем метод блокированного синтеза голени
Castro 30 Июль 2005, 20:45
|
Dear Dr. A. Shevchenko,
Have a nicw day!
Na moi vzglad', u itogo bolnogo net bolshoi problemy, ukarachenjia, esli imeetsa, to niznachitelnoe, nuzno dat' emu vremjia, za tem podumat', cherez 10-12 nedel', chto delat', (esli nuzno chto to delat' k tomu vremenio voobshe), uze pozdno dumat' o diametre shtifta seachas! Dumaio, chto udalenia proximalnogo venta v sochetanii so svobodnoi kostnoi plastiky iz malenkogo razreza, cherez 10-12 nedel' reshit' problemu okonchatelno. V lubom sluchai, daete, pozalusta nam znat', kak budut razvivatsa klinicheskia i X-ray kartina u nego.
Udachy,
Yours Dr. Castro
|
[
Ответить ]
|
Re: Осваиваем метод блокированного синтеза голени
Nikolaj Wolfson 03 Август 2005, 12:59
|
Alexander:
1. X ray snimki ne sovsem xoroshie: xotelos' bi uvidet' AP proximal'noii tibii.
2. V liubom sluchaie Nail ( gvozd'),slishkom malogo diametra, i korotkii, chto i iaviloc' prichenoi
malalignmnt.
Zamenite na bol'shii diametor i dlinee.
Nikolaj Wolfson
|
[
Ответить ]
|
( Ответить )
|
|