ВХОД ДЛЯ ПАЦИЕНТОВ
вверх
поиск
админ
главная
исходное
|
Re: Перелом acetabulum и проксимального отдела бед
послал Юрий Алексеевич Булахтин 21 Август 2005, 16:27
|
Уважаемый Александр Николаевич!
Считаю, что в представленном Вами случае целесообразно подумать о первичном протезировании. Привожу пример более легкого повреждения, где потерял время надеясь спасти сустав.
 19/05/03
|
 При поступлении в госпиталь 3.06.03
|
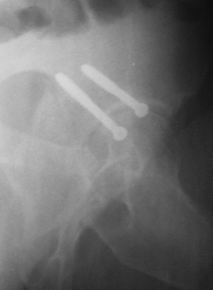
 Послеоперационный снимок прямой 5/05/03
|
 Послеоперационный снимок боковой 5/06/03
|
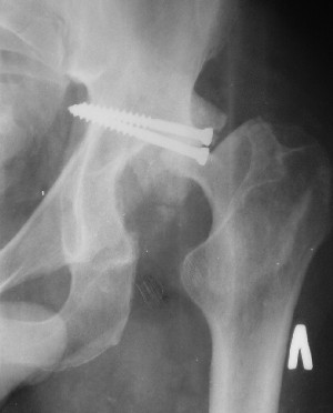
 Контрольный снимок перед разрешением нагрузки прямой 13/10/03
|
 Перед разрешением нагрузки боковой 13/10/03
|
 Два месяца нагрузки без костылей 19/12/03
|
 Еще месяц 20/02/04
|
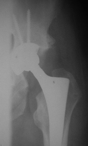
 После протезирования прямой 5/04/04
|
 После протезирования боковой 5/04/04
|
Больной 18 мая 2003 года в автоаварии получил перелом левой вертлужной впадины, вывих бедра. Госпитализирован в один из стационаров области.Вывих вправлен. В последствии бедро вывихивалось еще дважды. На консультацию был представлен снимок от 19.05.03г., больной переведен к нам 3.06.03г. Снимок при поступлении - перелом впадины, задне-верхний вывих бедра. 05.06.2003 г. выполнено открытое вправление вывиха левого бедра и остеосинтез стенки вертлужной впадины двумя винтами. Послеоперационный период без осложнений. Объем движений в левом тазобедренном суставе восстановился полностью. Выписан на амбулаторное лечение в удовлетворительном состоянии с рекомендациями 3 месяца ходить на костылях без нагрузки на оперированную конечность. На контрольных рентгенограммах левого тазобедренного сустава 13.10.2003 г. - признаки консолидации перелома; плотность, форма головки и состояние суставных поверхностей удовлетворительные. Разрешена дозированная осевая нагрузка, на конечность с использованием дополнительной опоры. 19.12.2003 г. больной обратился с жалобами на боли в левом тазобедренном суставе. На рентгенограммах левого тазобедренного сустава 19.12.2003 г., 20.02.04г. - асептичекий некроз головки бедра. 5.04.04г. - эндопротез. Сейчас ходит без трости, не хромает. Особенность эндопротезирования - при удалении винтов прослежена линия перелома заднего края впадины и предложено установить чашку несколько меньшего диаметра, чтобы она была покрыта несломанной частью.
Главный травматолог Камчатского Военно-морского госпиталя Юрий Алексеевич Булахтин
|
| Послать ответ |
Обратите внимание: Поля с жирными названиями обязательны.
Старайтесь отвечать в рамках обсуждаемой темы, а не начинать новые обсуждения.
Указывайте адекватную тему сообщения, чтобы было ясно, о чем оно.
Не послайте сообщений не по теме (оффтопик), раздраженных, грубых или обидных комментариев. Здесь это неуместно.
|