AOTRAUMA.ORG Центр Илизарова  

Ортопедия и травматология Общие вопросы/General questions Help Информационные технологии в медицине
 вверх
 отправить
 поиск
 админ
 главная
 Предыдущее


Re: чрезмыщелковый перелом
Alexander Artemiev 14 Сентябрь 2005, 16:19
Здравствуйте, коллеги.
Спровоцировали вы меня...
МА> Трудно не согласиться с коллегами - только открыто и только пластинами
С коллегами не согласиться легко. Не обязательно открыто и не
обязательно пластинами или чем там ещё...

МА> Снимки отсылать не буду итак много примеров
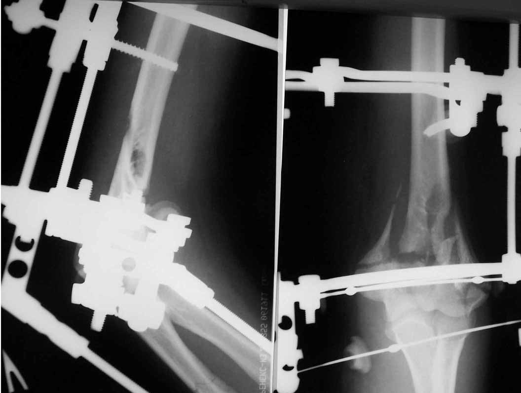
Снимки - во вложении.


















Женщина 42 лет, операция через неделю после перелома.
Д-з - открытый перелом мыщелков со смещзением и локтевой кости
без смещения - падение с лошади.
До операции снимки не очень, тем более в гипсе.
Остеосинтез закрытый (если так можно выразиться), т.е. без
разрезов. Длительность операции - около 1,5 часа со студентом.
6 щелчков ЭОПом.

Кстати, Аршак Мирзоян. Если читаешь - это та тётенька, по
поводу которой ты хлопотал.

Есть и более сложные (на мой взгляд) случаи, которые мне
довелось успешно вылечить закрыто.
Я так понимаю, не последний раз возвращаемся к этой теме.
Подготовлюсь - напишу подробнее и обстоятельнее.



Удачи всем
Александр Артемьев
  • Сообщения о Ортопедия и травматология
  • Также Alexander Artemiev
  • Связаться с автором
  • Ответить

    Re: чрезмыщелковый перелом
    Максим Агалаков 14 Сентябрь 2005, 18:11
    И как часто вам удается получить такую симпатичную рентгенологическую картинку при Т-образных переломах, особенно с импрессией суставной поверхности? А без ЭОПа? Какого обьема движений достигаете в итоге?

    [ Ответить ]

    • Re: чрезмыщелковый перелом
      Отправитель: Alexander Artemiev 15 Сентябрь 2005, 19:53
      Здравствуйте.
      МА> И как часто вам удается получить такую симпатичную рентгенологическую
      МА> картинку при Т-образных переломах ,
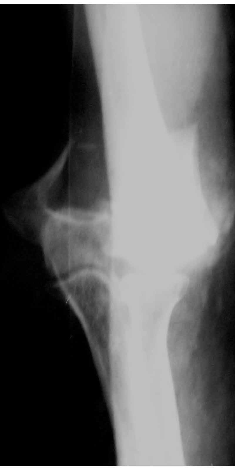
      Мой опыт не могу назвать исчерпывающим - где-то 7-8 наблюдений.
      Всегда получалось хорошо. У меня сохранились несколько прослеженных "от и до" случаев - отцифрую и вышлю.
      Примерно столько же случаев и открытой репозиции с внутренним остеосинтезом.
      Результаты сравнимы по качеству - и в-основном хорошие в обеих группах, хотя специально этой темой я не занимался.

      МА> особенно с импрессией суставной
      МА> поверхности?

      С импрессией невозможно сделать репозицию закрыто, хотя это встречается не очень часто. Но открытая репозиция не исключает внешнюю фиксацию.

      МА> А без ЭОПа?
      Вот с ЭОП-ом как раз делал впервые. Раньше работал в больнице, где его просто не было.
      А без ЭОПа стараюсь обходиться четырьмя снимками:
      - два - прямая и боковая проекция с маркерами после вытяжения на ортопедической приставке (в данном случае - модель, предложенная Павлом Ивановым из Склифа);
      - ещё два - также прямая и боковая проекция после проведения впиц и монтажа аппарата (фактически в конце операции). Больше, как Вы понимате, рентгенлаборантки не очень приветствуют.



      МА> Какого обЪема движений достигаете в итоге?

      Разные переломы бывают, и это отроажается на результате.
      Как правило в пределах 90-110 градусов (бывает и полное).
      Давайте я прослежу данный случай и доложу резельтат.
      А также подробно опишу методику и принципы.

      С уважением Александр Артемьев

      [ Ответить ]
      • Re: чрезмыщелковый перелом
        Отправитель: Максим Агалаков 16 Сентябрь 2005, 12:19
        Огромное спасибо за столь подробный коментарий. Согласен, что открытая репозиция не исключает внешнюю фиксацию (я так понял, что АВФ имеются ввиду), однако в чем здесь плюсы? Зато есть сложности при оценке качства репозиции - "закрывает железо", что, в общем, бывает нередко.
        Кроме того, даже Вы затрудняетесь в описании репозиции, это, конечно, процесс творческий, а методики открытой репозиции и внутренней фиксации доступно описаны в современных руководствах, доступ очень удобен.
        Я тоже работал в обычной больнице, без ЭОЛа и после перехода на внутреннюю фиксацию общее впечатление было очень восторженным.
        Функциональные результаты были лучше, раньше, понятно, лечили аппаратами. Хотя, конечно, четкой статистики не велось, результаты особо никто не сравнивал - обычная больница. Да и пациентам комфортнее без аппаратов.

        С уважением Максим Агалаков.


        [ Ответить ]
    Re: чрезмыщелковый перелом
    Arshak E. Mirzoyan 14 Сентябрь 2005, 18:14
    Все грамотно Саныч, не зря я хлопотал
    АМ
    [ Ответить ]


    ( Ответить )

    Powered by Zope  Squishdot Powered MedLink
    Посетитель: 0201398
      "По форме правильно, а по существу - издевательство" В.И.Ленин
    ©2001-2019Orthoforum Coordinator.
    [ Главная | Отправить сообщение | Поиск | Админ ]