AOTRAUMA.ORG Центр Илизарова  

Ортопедия и травматология Общие вопросы/General questions Help Информационные технологии в медицине
 вверх
 отправить
 поиск
 админ
 главная


тактическое решение - перелом Monteggia и головки луча + эпилепсия?
Ортопедия и травматология Отправлено Anton Vladzymyrskyy 10 Сентябрь 2005, 20:56
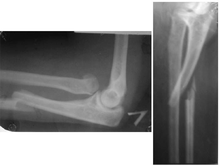
Уважаемые коллеги! Больная, 28 лет. Сутки назад получила травму (см.), сопут. - эпилепсия (инвалид 2 группы с 16 лет).
Больная поступает в ургентом порядке. Какова ваша тактика в подобном случае?Заранее благодарю! С уважением,А.В.Владзимирский

<  |  >

 

  • Сообщения о Ортопедия и травматология
  • Также Anton Vladzymyrskyy
  • Связаться с автором
  • Ответить

    Re: тактическое решение?
    Alexander Chelnokov 11 Сентябрь 2005, 01:18
    Любая травма - ургентное состояние, конечно. Но тут вроде ничего драматичного не должно случиться, если окончательная стабилизация будет сделана не при поступлении, а через несколько дней.

    Тактика зависит от возможностей - можно и аппаратом при поступлении все вправить, и фиксировать до сращения. Можно по дежурству наложить гипсовую шину, а отсроченно сделать закрытый интрамедуллярный остеосинтез локтевой кости. Или накостный. Или опять же аппарат.

    Эпилепсия, полагаю, не должна тут влиять на выбор метода хирургической стабилизации. Тем более, можно "усилить" противосудорожные меры (увеличить дозы, добавить какой-то еще препарат...)
    [ Ответить ]

    Re: тактическое решение?
    Vitaly Kazyonnov 11 Сентябрь 2005, 22:52
    Уважаемый Антон Вячеславович!

    На мой взгляд, нужно открыто репонировать локтевую и резецировать головку лучевой.

    С уважением,
    Казеннов
    [ Ответить ]

    Re: тактическое решение?
    Абдукахар 14 Сентябрь 2005, 02:40
    Уважаемый Anton Vladzymyrskyy!
    1-лучше произвести открытую репозицию и лучевой кости спицами и наложить аппарат Илизарова.
    Ташкент Бабакулов Абдукахар
    [ Ответить ]

    Re: тактическое решение?
    Kucheryzviy Igor, Sergiev Posad 18 Сентябрь 2005, 23:37
    Перелом Монтеджи. Лечить следует оперативно, консервативная тектика при такой травме неприменима из-за повреждения связки на головке лучевой кости и невозможности удержания её консервативными методами. Необходим остеосинтез локтевой кости (штифт, пластина) и резекция головки лучевой кости.
    [ Ответить ]

    Re: тактическое решение?
    Ординатор НИЦТ"ВТО" 23 Сентябрь 2005, 19:39
    Во-первых повреждение Монтеджи плюс перелом шейки лучевой кости.Возможна первичная закрытая репозиция с фиксацией головки и шейки спицей через головочку мыщелка с послед. фиксацией гипс. лонгетой.При неудаче отсроченная открытая репозиция головки луч. кости с фиксацией спицей, если не произошла репозиция локт. кости, открытый остеосинтез кости пластиной.Резецировать головку по данной рентгенограмме нет необходимости, хотя окончательное решение нужно принимать интраоперационно.
    [ Ответить ]


    ( Ответить )

    Powered by Zope  Squishdot Powered MedLink
    Посетитель: 0000275
      "По форме правильно, а по существу - издевательство" В.И.Ленин
    ©2001-2019Orthoforum Coordinator.
    [ Главная | Отправить сообщение | Поиск | Админ ]