вверх
отправить
поиск
админ
главная
|
Застарелое повреждение таза |
 |
 |
 |
Отправлено Максим Агалаков 05 Октябрь 2005, 18:43 УНИИТО
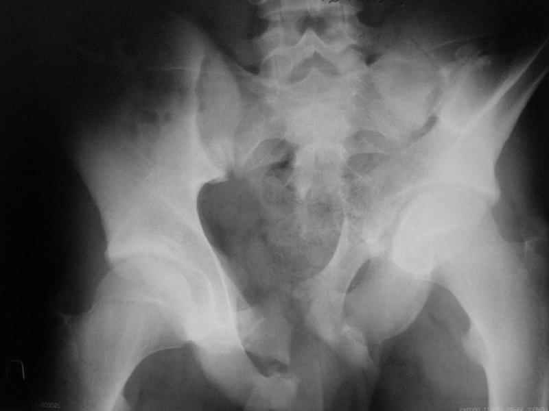
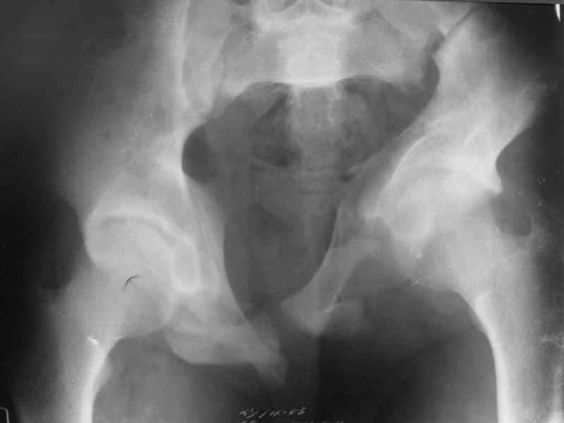
Коллеги, помогите определиться с тактикой лечения пациента. Ув. коллеги, к нам поступил молодой человек 17 лет. Травма в июле 2005- ДТП, т.е. 3 мес назад. Лечился консервативно в "гамаке" 1,5 мес., затем ходьба с костылями без опоры на левую нижнюю конечность, начал на нее опираться 1 нед назад. В настоящее время имеется укорочение порядка 4-5 см, выраженная хромота, передвигается с одним костылем. Кроме того беспокоят боли в пояснично-крестцовой области при ходьбе, неудобство при сидении, невозможность лежать на спине "на жестком", а также на левом боку (субъект худощавый, боль в области крыла) хромота, длительное пребывание на ногах невозможно. На функциональных снимках большой подвижности нет (не привожу из-за плохого качества). Учитывя наличие участков сращений, помогите опредилиться с тактикой. Наш план пока такой: 1. выполнить остеотомии в участках сращений 2.постепенно аппаратом низвести смещенную половину таза. 3.выполнить внутренний остеосинтез передних и задних отделов. Будем признательны за ваш взгляд на тактику леченияэтого больного, а так же на такие проблемы как: места остеотомий, возможные варианты компоновки аппарата, выбор имплантатов для последующего вмешательства.
<
|
>
|
|
Ответить
|
Re: Застарелое повреждение таза
Гринь Алексей 15 Октябрь 2005, 22:28
|
Уважаемый коллега. Не знаю, прооперировали-ли вы больного или нет, но глядя на Р-граммы захотелось поделится сосбражениями. Укорочение конечности на 4-5 см конечно-же нужно устранить. Вы хотите выполинть остетомию мест сращения, любопытно каким образом? Если пользоваться широкими доступами, то возможно выпонить репозицию открыто и фиксировать погружнными конструкциями как Вы и планируете после репозиции в аппарате. Тем самым устранить укорочение конечности, может быть конечно не оплностью но на 2-3 см то точно. Закрыто же выполнить остеотомию сращений наверное возможно сзади, спереди я бы не рискнул, а лонные кости рубить надо. Что касается лечения аппаратом, то я ученик "вашей школы" что вашим аппаратом можно устранить смещения полностью. Но стоит ли подвергать пациента длительному дискомфорту и повышать риск воспалительных осложнений? Учитывая Ваш опыт лечения таких повреждений таза я бы остановился на одномоментной открытой репозиции и остеосинтезе. С уважением Гринь Алексей.
|
[
Ответить ]
|
( Ответить )
|
|