Ответить
|
Re: Несращение tibia с LCP
Alexander Chelnokov 12 Октябрь 2005, 16:25
|
Что-то рано сломалась пластина - в чем видите причину?
>Планируем удалить пластину и наложить аппарат Илизарова, также рассматривали вариант
>интрамедуллярного остеосинтеза. >Ваше мнение?
И какие соображения в пользу аппарата?
Аппарат тут вне конкурса, только если есть 1)инфекция или 2)нужна постепенная коррекция оси/длины.
Если ни того, ни другого, наверно, стержень - оптимальный выбор. Сделал и забыл. Малоберцовую
рубить, похоже, не надо. Костную пластику я бы делать не стал.
Лучше взять гвоздь потолще, в центральный отломок винтов, кроме стандартных двух фронтальных, ввести еще. Внизу ввести в только в динамическое отверстие, если такие стержни у вас есть, или вообще не вводить. И нагрузку as tolerated сразу.
Удачи. Держи нас в курсе событий.
|
[
Ответить ]
|
Re: Несращение tibia с LCP
Гринь Алексей 12 Октябрь 2005, 19:40
|
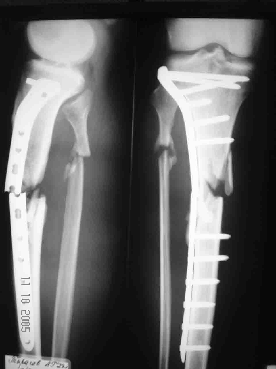
Уважаемый Алексей, глядя на Р-граммы левой голени фиксированной пластиной создается впечатление, что имеется дефект б/берцовой кости. Учитывая это при ЧКО необходимо выполнить костную пластику дефекта. В противном случае кость даже после консолидиции останется слабой, что приведет к повторному перелому. Мне кажется, что в данном случае предпочтителен ЗИО б\берцовой кости с рассверливанием костномозгового канала и блокированием, т.к. при ЗИО активизируются процессы регенерации за счет гематомы в области перелома, что приводит к образованию параоссальной костной мозоли. Плюс к этому в кости будет находится прочный фиксатор, который очень редко ломается и не беспокоит пациента.
|
[
Ответить ]
|
Re: Несращение tibia с LCP
Александр Олюнин 13 Октябрь 2005, 13:05
|
Перелом пластины наступил, по нашему мнению, вследствии проведенного нестабильного остеосинтеза (необходимо было выполнить накостный остеосинтез с костной аутопластикой). Возможно проведение данной операции и в настоящее время, то есть при удалении сломанной пластины вновь выполнить стабильный накостный остеосинтез с костной аутопластикой.
|
[
Ответить ]
|
Re: Несращение tibia с LCP
К. Бодаченко 13 Октябрь 2005, 18:38
|
Здравствуйте, Алексей.
Ни в одном, ни в другом случае иммобилизация выбрана неправильно. "на шипе" сращения ждать долго и, извините, глупо. Тем более, что отломки сопоставлены крайне плохо. Иммобилизация и пластиной и стержнем (по рентгенограммам видно)нестабильны. Удалите пластину и интрамедулярную конструкцию и произведите иммобилизацию аппаратами внешней фиксации. Ведь еще Илизаровым доказано, что для голеней лучшей фиксации, чем АВФ нет.
|
[
Ответить ]
|
Re: Несращение tibia с LCP
Отправитель: Alexander Chelnokov 13 Октябрь 2005, 20:03
|
kyr> Ни в одном, ни в другом случае иммобилизация выбрана неправильно. "на
kyr> шипе" сращения ждать долго и, извините, глупо.
Это справедливо только для открытой репозиции, когда грубо нарушается васкуляризация концов отломков, с традиционным накостным остеосинтезом. При закрытом интамедуллярном остеосинтезе и "на шипе" все замечательно срастается. Можно показать примеры.
kyr> Тем более, что отломки сопоставлены крайне плохо.
Для малоинвазивного остеосинтеза - необходимо восстановить только ось, длину и ротацию.
kyr> Иммобилизация и пластиной и стержнем (по рентгенограммам
kyr> видно)нестабильны.
Пластина сломана, какая уж там стабильность. А со стержнем вроде все в порядке?
kyr> Удалите пластину и интрамедулярную конструкцию и произведите
kyr> иммобилизацию аппаратами внешней фиксации.
Аппарат - надежный вариант, но того же окончательного результата (то есть сращения) можно добиться и более практичным способом (гвоздь закрыто). А если говорить о непосредственном результате - восстановлении полной нагрузки и функции при отсутствии внешних приспособлений - гвоздь это обеспечит на следующий день после операции.
kyr> Ведь еще Илизаровым доказано, что для голеней лучшей фиксации,
kyr> чем АВФ нет.
Если полагать, что это актуально не для доступных тогда методик, а на все времена, то данное соображение становится религиозной догмой.
|
[
Ответить ]
|
|
Re: Несращение tibia с LCP
Дрягин В 13 Октябрь 2005, 23:08
|
На мой взгляд методы лечения выбраны достаточно грамотно.Ну уж так случилось.На самом деле пластины LCP достаточно коварны хотя сегодня это очень модно.Интрамедулярный синтез повторный здесь врядли хорош.Короткий нестабилный проксимальный фрагмент и если нет серьёзного опыта при данной патологии результата не будет.Я бы опять применил такую же пластину малоинвазивно.Затем разрез по медиальной поверхности,костная пластика и плюс по медиальной стороне реконструктивная пластина.Есть такой опыт и достаточно неплохой.Аппарат не советую.Зависните с ним на год.А пластику открыто все равно надо делать поэтому и медиальная фиксация необходима.И винтов необходимо меньше в LCP.Иначе снова сломается.С уважением.Есть большой матерьял по LCP в том числе и печальный
|
[
Ответить ]
|
Re: Несращение tibia с LCP
Отправитель: Alexander Chelnokov 15 Октябрь 2005, 18:18
|
Приветствую, Виталий Геннадьевич,
ДВ> Интрамедуллярный синтез повторный здесь вряд ли хорош. Короткий
ДВ> нестабилный проксимальный фрагмент, и если нет серьёзного опыта
Да не так уж он короток, ~8-9 см. Все отверстия любого гвоздя будут выше зоны несращения. Конечно, винтов в центральный отломок лучше ввести побольше.
ДВ> стороне реконструктивная пластина. Есть такой опыт и достаточно
ДВ> неплохой.
По сравнению со стержнем этот вариант менее привлекателен большей трудоемкостью, травматичностью, невозможностью немедленной нагрузки без ограничений.
ДВ> Аппарат не советую. Зависнете с ним на год.
Вполне реально.
ДВ> фиксация необходима. И винтов необходимо меньше в LCP. Иначе снова
ДВ> сломается.
Да, похоже, в дистальный отломок винты были введены как в традиционную DCP.
|
[
Ответить ]
|
Re: Несращение tibia с LCP
Отправитель: Дрягин В. 16 Октябрь 2005, 23:24
|
Уважаемый Александр.Вы забываете то что умеете и знаете Вы очень хорошо.Это вы можете рискнуть и сделать интрамедулярный остеосинтез с блокирование в данном случае.Поэтому я бы все таки рекомендовал накостный металлосинтез с двух сторон.Если уже гвоздь то тогда фирмы Synthes с рассверливанием.С остеотомией малоберцовой кости в н/3.Кстати с удовольствием услышу Ваше мнение насчёт динамизации.С уважением.
|
[
Ответить ]
|
Re: Несращение tibia с LCP
Отправитель: Alexander Chelnokov 17 Октябрь 2005, 00:02
|
Приветствую, Виталий Геннадьевич,
ДВ> хорошо.Это вы можете рискнуть и сделать интрамедулярный остеосинтез с
ДВ> блокирование в данном случае.
Спасибо за доверие, но право слово, сейчас технических сложностей тут не видно даже для начинающего. Тем более, для коллег это далеко не первое штифтование.
ДВ> Если уже гвоздь то тогда фирмы Synthes с рассверливанием.
Что с рассверливанием - это бесспорно, но почему именно Synthes? Можно любой другой, лишь бы диаметр побольше, от 10 мм. Так что пойдут и
Aesculap-DePuy-Beznoska-ChM-Stryker-Smith&Nephew-Biomet-Zimmer-
"ЦИТО"-"Остеосинтез"-"Ротор"-"Остеомед"-кого-еще-вспомним...
ДВ> С остеотомией малоберцовой кости в н/3.
Хуже от нее не станет точно.
ДВ> Кстати с удовольствием услышу Ваше мнение насчёт динамизации.
Я бы сделал динамически сразу, но за счет дистального конца гвоздя.
|
[
Ответить ]
|
Re: Несращение tibia с LCP
Отправитель: Дрягин В. 19 Октябрь 2005, 00:45
|
Почему именно дистальная?Даже интересно, а Вы говорите все просто
|
[
Ответить ]
|
Re: Несращение tibia с LCP
Отправитель: Alexander Chelnokov 19 Октябрь 2005, 08:52
|
Если в относительно коротком и широком центральном отломке будет лишь один динимический винт, возможна потеря фиксации. Наоборот, если в центральном отломке стержень фиксирован 2-3 статическими винтами, а
в дистальном винтов нет, либо динамический, будет только сближение по оси tibia, что и желательно.
|
[
Ответить ]
|
Re: Несращение tibia с LCP
Отправитель: Дрягин В. 19 Октябрь 2005, 23:35
|
Интересно надо подумать.Видимо вы правы.Спасибо
|
[
Ответить ]
|
|
Re: Несращение tibia с LCP
Александр Ситник 16 Октябрь 2005, 00:39
|
Причина перелома - на мой взгляд - неадекватная репозиция. Сегмент удлинен, об этом говорит диастаз между отломками малоберцовой кости. Отсюда и впечатление "дефекта". Он есть, но вторичен.
Что делать сейчас? Наш опыт показывает, что в таких случаях между отломками находится плотный соединительнотканный рубец, надежды на перестройку которого в костную ткань минимальны. Поэтому - открытая репозиция и спонггшиозная аутопластика.
Фиксация - на ваш вкус. Показаний к ВКДО тут пожалуй никаких, а вот пластина или гвоздь - это уж как вам нравится.
Поделитесь результатами месяца через 2.
С уважением,
А.Ситник
|
[
Ответить ]
|
Re: Несращение tibia с LCP
Алексей Смирнов 26 Октябрь 2005, 14:17
|

На операции после удаления пластины вывалился промежуточный свободный фрагмент,оставлять его посчитали нецелесообразным. После его удаления вскрыли костномозговой канал, зашили рану и наложили аппарат. После заживления раны концы отломков сблизили. Возможно, всё это же можно было бы сделать одномоментно и на стержне. Но как то мы не решились забить гвоздь при наличии большой раны и костного дефекта. Сейчас 2 недели после операции, больной ходит при помощи костылей с одинаковой нагрузкой на обе ноги. Укорочение в итоге 1,5 см. Обязуюсь показать снимки через пару месяцев.
С уважением, Алексей.
|
[
Ответить ]
|
Re: Несращение tibia с LCP
Отправитель: Галина Викторовна Дьячкова 26 Октябрь 2005, 17:49
|
Уважаемый Алексей!
А удлинить после заживления раны не возникла идея?
Г.В.Д
|
[
Ответить ]
|
Re: Несращение tibia с LCP
Отправитель: Смирнов Алексей 26 Октябрь 2005, 23:07
|
Конечно, но это чуть позже.
|
[
Ответить ]
|
|
( Ответить )
|
|