AOTRAUMA.ORG Центр Илизарова  

Ортопедия и травматология Общие вопросы/General questions Help Информационные технологии в медицине
 ВХОД ДЛЯ ПАЦИЕНТОВ
 вверх
 поиск
 админ
 главная


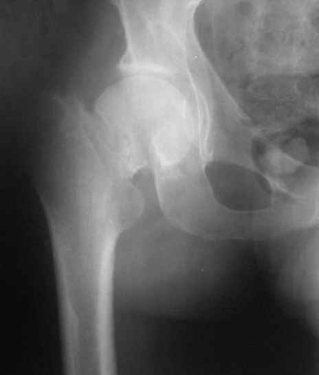
Нелеченный перелом шейки бедра / Neglected femoral neck #
Ортопедия и травматология Прислано Alexander Chelnokov 14 Октябрь 2005, 23:51
из
Глубокоуважаемые коллеги, Вчера обратился мужчина 31 г. Травма 2 месяца назад, лечился в одном из городов области. Был не самый тяжелый перелом таза, который проведен консервативно. С ним и связывали невозможность поднять ногу.
Однако на сегодняшнем снимке обнаружился перелом шейки бедра. Больной уже ходит с частичной нагрузкой. Учитывая срок и картину на снимке, что предпринять? У нас предложены варианты 1)не оперировать, 2)закрыто 2 спонгиозных винта, 3)вальгизирующая остеотомия. Эндопротез как-то даже в список включать пока не хочется. Какие есть соображения? Что из перечисленного или что-то другое выбрать и почему? Заранее спасибо.
Dear colleagues, A male 31 years old treated elsewhere after not severe pelvic fracture, was managed non operatively. So the injury looked as a reason of his inability to elevate the leg. However at the recent x-rays the neck fractire was found. The patient already has been walking with partial weight-bearing. Looking at the x-rays and the time since the injury, what is the optimal treatment for now? We discussed 1)leave as is, 2)2 cancellows screws as is, 3)valgus osteotomy. Total hip replacement looks unnecessary yet. What is your opinion? Which option from the listed or something else should be preferred and why? THX in advance.

Послать ответ

Имя
Email
Уведомление Сообщить мне по e-mail об ответах на это сообщение
Название
Комментарий
(Проверьте URL! Не забудьте написать http://!)
Кодировка
Если не знаете, что выбрать, выберите "Просто текст"!
Приложение
Можно приложить к сообщению файл c изображением, который затем будет доступен увидевшим сообщение.
Подготовка иллюстраций:
  • Рентгенограммы: черно-белые полутоновые изображения в формате JPEG (8 bit, greyscale) с разрешением от 300х200 до 1024х768 пикселов;
  • Клинические фотографии: полноцветные изображения в формате JPEG (24 bit, truecolor) с разрешением от 300х200 до 1024х768 пикселов;
  • Схемы и рисунки: черно-белые (2 bit) штриховые (line-art) изображения в формате GIF или compressed TIFF
  • Подберите степень сжатия файла JPEG и размер изображения таким образом, чтобы необходимые детали были различимы, но размер файла не превышал 75 кб.
  • Учтите, что текущая версия программного обеспечения Форума позволяет приложить к одному сообщению лишь один файл-вложение. Поэтому, если необходимо отправить несколько изображений, можно либо послать каждое как отдельное сообщение, либо в графическом редакторе объединить изображения в одно (сделать коллаж).
  • Если при подготовке изображений встречаются трудности, не стесняйтесь обратиться к координатору Форума.

  • Введите видимые символы в обратном порядке. Enter the above characters in reverse order (*Обязательно)
    В тексте сообщения можно использовать теги HTML <B> <I> <P> <A> <LI> <OL> <UL> <EM> <BR> <TT> <HR> <STRONG> <BLOCKQUOTE> <DIV .*> <DIV> <P .*>
  • Обратите внимание: Поля с жирными названиями обязательны.
  • Старайтесь отвечать в рамках обсуждаемой темы, а не начинать новые обсуждения.
  • Указывайте адекватную тему сообщения, чтобы было ясно, о чем оно.
  • Не послайте сообщений не по теме (оффтопик), раздраженных, грубых или обидных комментариев. Здесь это неуместно.
  • Powered by Zope  Squishdot Powered MedLink
    Посетитель: 0204346
      "По форме правильно, а по существу - издевательство" В.И.Ленин
    ©2001-2019Orthoforum Coordinator.
    [ Главная | Отправить сообщение | Поиск | Админ ]