AOTRAUMA.ORG Центр Илизарова  

Ортопедия и травматология Общие вопросы/General questions Help Информационные технологии в медицине
 ВХОД ДЛЯ ПАЦИЕНТОВ
 вверх
 поиск
 админ
 главная


артрит - уточнение диагноза?
Ортопедия и травматология Прислано Anton Vladzymyrskyy 26 Октябрь 2005, 22:26
из
Уважаемые коллеги! Вопрос по уточнению диагноза. Методы дополнительной диагностики? Ваше мнение по данному случаю? Спасибо!
Женщина, 30 лет.
Жалобы на сильные боли в суставах и мышцах (без четкой локализации), припухлость суставов, повышение температуры 38-39 гр.
Считает себя больной с 1994 г., когда появились боли в легких. В 1996 г. - боли в спине без четкой локализации. 2002 г. - роды, через 10 мес. сильные мышечные боли. 2004 г. - плеврит и увеит (сейчас - миопия, -1,-1,5, астигматизм). Периодические увеличения лимфатических узлов (чаще шейных), симптомы васкулита.
Диагноз: Ревматоидный артрит неизвестной этиологии (реактивный урогенитальный артрит или полиартрит?)
Получает лечение преднизолоном.
Биопсия костной ткани - инфильтрация клеточными элементами.
Ro грудной клетки - норма.
Белки крови
Общий белок - 68; (норма - 6,5-8,5)
Albumin - 621 (норма - 56,6-66,8)
a1-globulin - 3,4 (норма - 3,0-5,6)
a2-globulin - 10,3 (норма - 6,9-10,5)
b-globulin - 19,0 (норма - 7,3-12,5)
g-globulin - 5,2 (норма - 12,8-19,0)
Albumin/Globulin - 1,6 (норма - 1,3-2)
Общий анализ крови
24.08.05. Hg 130, Э.4,0, ЦП 0,97, Т.77%, Л.14,8, п.8, н.82, э.1, л.4, м.5, СОЭ 49
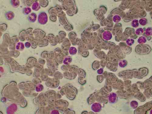
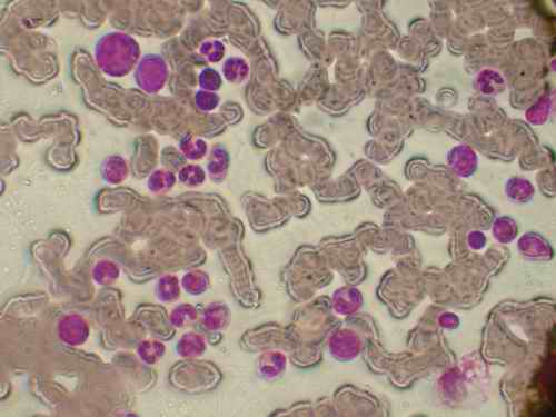
Иммунология - в отдельном файле
Эхокардиография. Утолщение створок митрального клапана. Митральная регургитация (+) без гемодинамических нарушений.
Из мазка гортани в 2004 г. высеяны b-hemolytic streptococcus, Staphylococcus aureus и грибок
УЗИ внутренних органов и трансвагинальное. Киста правого яичника
С уважением,
А.В.Владзимирский

Послать ответ

Имя
Email
Уведомление Сообщить мне по e-mail об ответах на это сообщение
Название
Комментарий
(Проверьте URL! Не забудьте написать http://!)
Кодировка
Если не знаете, что выбрать, выберите "Просто текст"!
Приложение
Можно приложить к сообщению файл c изображением, который затем будет доступен увидевшим сообщение.
Подготовка иллюстраций:
  • Рентгенограммы: черно-белые полутоновые изображения в формате JPEG (8 bit, greyscale) с разрешением от 300х200 до 1024х768 пикселов;
  • Клинические фотографии: полноцветные изображения в формате JPEG (24 bit, truecolor) с разрешением от 300х200 до 1024х768 пикселов;
  • Схемы и рисунки: черно-белые (2 bit) штриховые (line-art) изображения в формате GIF или compressed TIFF
  • Подберите степень сжатия файла JPEG и размер изображения таким образом, чтобы необходимые детали были различимы, но размер файла не превышал 75 кб.
  • Учтите, что текущая версия программного обеспечения Форума позволяет приложить к одному сообщению лишь один файл-вложение. Поэтому, если необходимо отправить несколько изображений, можно либо послать каждое как отдельное сообщение, либо в графическом редакторе объединить изображения в одно (сделать коллаж).
  • Если при подготовке изображений встречаются трудности, не стесняйтесь обратиться к координатору Форума.

  • Введите видимые символы в обратном порядке. Enter the above characters in reverse order (*Обязательно)
    В тексте сообщения можно использовать теги HTML <B> <I> <P> <A> <LI> <OL> <UL> <EM> <BR> <TT> <HR> <STRONG> <BLOCKQUOTE> <DIV .*> <DIV> <P .*>
  • Обратите внимание: Поля с жирными названиями обязательны.
  • Старайтесь отвечать в рамках обсуждаемой темы, а не начинать новые обсуждения.
  • Указывайте адекватную тему сообщения, чтобы было ясно, о чем оно.
  • Не послайте сообщений не по теме (оффтопик), раздраженных, грубых или обидных комментариев. Здесь это неуместно.
  • Powered by Zope  Squishdot Powered MedLink
    Посетитель: 0186420
      "По форме правильно, а по существу - издевательство" В.И.Ленин
    ©2001-2019Orthoforum Coordinator.
    [ Главная | Отправить сообщение | Поиск | Админ ]