вверх
отправить
поиск
админ
главная
|
изменения бедренной кости и костей голени |
 |
 |
 |
Отправлено Gleb Korobushkin 30 Октябрь 2005, 11:29
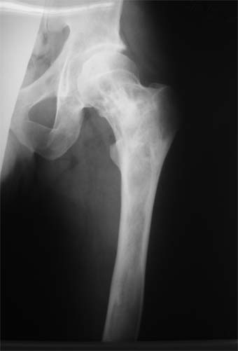
Коллеги!Пациент Д., 35 лет, В 1985 году был поставлен диагноз гемигипоплазия правой нижней конечности. Укорочение 5 см, в 1987 году остеотомия правого бедра, аппарат 4 месяца, удлинили на 2 см из-за нагноения спиц аппарат сняли. В настоящее время Жалобы на дискомфорт, тяжесть в левом бедре, голени при длительной ходьбе, при длительном лежании на левом бедре. Эти жалобы беспокоят втечение 5-6 лет. В 1999 году выявили "изменения" (со слов больного, выписки нет на руках) бедренной кости и костей голени слева. Тогда же предложили в ЦИТО срочно делать какую-то операцию. При осмотре: Правая нижняя конечность. Имеются рубцы на правом бедре по наружной и внутренней поверхностям. Ограничения движений в коленном суставе нет. Кровоснабжение, иннервация сохранены. Левая нижняя конечность. Левое бедро увеличено в объеме, при пальпации пальпируется бедренная кость большего диаметра по сравнению с левым бедром. Пальпация безболезненна. Голень обычной формы. Объем движений в суставах полный. Кровоснабжение, иннервация сохранены. Имеется разница в длине конечностей правая короче на 4-5 см за счет бедра и голени. В приложении вид больного и рентгенограммы бедра 2001 год и 2005 год. Что бы это могло быть? О чем можно думать? Онкология? С уважением Коробушкин Глеб Владимирович Российский государственный медицинский университет кафедра травматологии, ортопедии и ВПХ, доцент
<
|
>
|
|
Ответить
|
Re: изменения бедренной кости и костей голени
Alexander Chelnokov 30 Октябрь 2005, 15:52
|
Похоже на болезнь Педжета.
|
[
Ответить ]
|
Re: изменения бедренной кости и костей голени
Alexander Rykov 30 Октябрь 2005, 15:53
|
Остеосклеротическая стадия болезни Педжета. Имею двух подобных больных по 15 -20 лет наблюдения. В острой стадии - текли как классическая саркома. "За" - все (рентген+биопсия+клиника) - отправили хоронить, а в результате живы и имеют рентген-картинку похожую Вашей. Поройтесь в минеральном обмене и в почках. Удлинять подобные кости опасно. Можно -биопсию на всякий случай (из зоны склероза и зоны пороза).
С ув. А Рыков. Хабаровка.
|
[
Ответить ]
|
Re: изменения бедренной кости и костей голени
Gleb Korobushkin 01 Ноябрь 2005, 05:18
|
Александр Николаевич! Александр Геннадьевич!
Спасибо за ответ
Пациент принес заключение:
01.1999
Консультирован в ЦИТО проф Бережной А.П.
В настоящее время имеется умеренный рубцовый процесс правого бедра не мешающий на объем движений в суставах. В коленном суставе слева бедро обычное, голень - булавовидное утолщение проксимального конца большеберцовой кости. На рентгенограммах тотальное поражение кости с увлечением в процесс проксимального эпиметафиза, поражение характерно для болезни Campanatsehi
Хирургическое лечение внастоящий момент не показано.
22.05.01
У больного полиоссальноая форма фиброзной дисплазии с поражение левой бедренной и большеберцовой кости. На рентгенограммах - тотальное разрастание и остончение кортикального слоя. Имеется удлинение левой нижней конечности на 2,5-3 см за счет голени. Больному показано оперативное лечение левой большеберцовой кости.
Был ли у кого-нибудь опыт лечение такой болезни? Где можно посмотреть?
С ув Короубшкин
|
[
Ответить ]
|
Re: изменения бедренной кости и костей голени
Отправитель: Alexander Chelnokov 01 Ноябрь 2005, 05:29
|
k> проксимального эпиметафиза, поражение характерно для болезни Campanatsehi
Это не опечатка? Нет нигде такого слова.
k> 22.05.01
k> У больного полиоссальноая форма фиброзной дисплазии с поражение левой
k> бедренной и большеберцовой кости. На рентгенограммах - тотальное разрастание
Может, еще раз проконсультировать там же по сегодняшним данным? Да и в англоязычных mailing lists, мне кажется, будет полезно спросить.
k> Больному показано оперативное лечение левой
k> большеберцовой кости.
k> Был ли у кого-нибудь опыт лечение такой болезни? Где можно посмотреть?
Глеб Владимирович, а какая лечебная задача на сегодня ставится?
|
[
Ответить ]
|
Re: изменения бедренной кости и костей голени
Отправитель: Gleb Korobushkin 02 Ноябрь 2005, 18:09
|
> Это не опечатка? Нет нигде такого слова.
Campanatsehi-переписал точно.
> Глеб Владимирович, а какая лечебная задача на сегодня ставится?
Пациента напугали, что срочно надо оперироваться, пока не произошел патологический перелом.
А что делать, как делать не объяснили.
|
[
Ответить ]
|
Re: изменения бедренной кости и костей голени
Отправитель: Alexander Chelnokov 02 Ноябрь 2005, 18:12
|
k> Campanatsehi-переписал точно.
Гугл отвечает: Your search - Campanatsehi - did not match any documents. Что говорит о том, что это опечатка, должно быть.
>> Глеб Владимирович, а какая лечебная задача на сегодня ставится?
k> Пациента напугали, что срочно надо оперироваться, пока не произошел
k> патологический перелом. А что делать, как делать не объяснили.
А кто напугал - может, пусть и оперируют? А по Вашей оценке, где видно ожидаемый патологический перелом? А ножки уравнять он не хочет?
|
[
Ответить ]
|
|
( Ответить )
|
|