ВХОД ДЛЯ ПАЦИЕНТОВ
вверх
поиск
админ
главная
исходное
|
Re: Посстравматическая деформация колена
послал Evgueny Tchekashkine 12 Ноябрь 2005, 20:42
|
Уважаемый Леонид Наумович,
Как вариант решения прогрессирующей вальгусной деформации коленного сустава я бы предложил косую остеотомию дистального отдела бедра с фиксацией пластиной и компрессирующим винтом.
Не думаю , что артропластика или геми протезирование подходящее решение в этой ситауции.
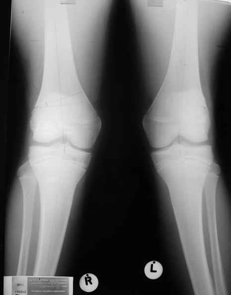
Взгляните на снимки , может быть это вам поможет.



Около 5 лет применяю этот тип дистальной остеотомии бедра для коррекции механической оси Н/К ( более 20 случаев) - достаточно эффективная операция.
Было одно осложнение у молодого пациента - ятрогенное повреждение бедренной артрерии, которое решилось васкулярной пластикой без каких -либо последствий для функции конечности.
Е.И. Чекашкин
|
| Послать ответ |
Обратите внимание: Поля с жирными названиями обязательны.
Старайтесь отвечать в рамках обсуждаемой темы, а не начинать новые обсуждения.
Указывайте адекватную тему сообщения, чтобы было ясно, о чем оно.
Не послайте сообщений не по теме (оффтопик), раздраженных, грубых или обидных комментариев. Здесь это неуместно.
|