AOTRAUMA.ORG Центр Илизарова  

Ортопедия и травматология Общие вопросы/General questions Help Информационные технологии в медицине
 ВХОД ДЛЯ ПАЦИЕНТОВ
 вверх
 поиск
 админ
 главная


Последствия травмы
Ортопедия и травматология Прислано Ринат Нургаянович Рахматуллин 14 Ноябрь 2005, 12:01
из ГКБ N 13 г.Уфа.
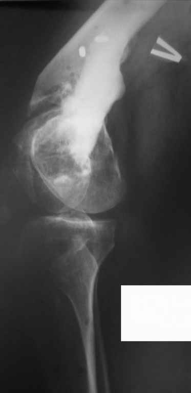
Уважаемые коллеги, прошу высказать ваши мнения по представленному случаю. Пациент - мужчина около 50лет после перенесенной год назад тяжёлой сочетанной травмы.
Был оперирован, среди прочего - остеосинтез DHS-фиксатором чреcшеечного перелома правого бедра, DCS-фиксатором остеосинтез оскольчатого чрезмыщелкового перелома левого бедра. Однако, в связи с развитием гнойного коксита были вынуждены убрать DHS-фиксатор и головку. Гнойный свищ правого тазобедренного сустава закрылся сразу после операции. Из-за вторичного смещения и поломки винтов пришлось удалить DCS-фиксатор и сращивать левое бедро внешней иммобилизацией. Прошло чуть более года. Пациент ходит с опорой на обе ноги,пользуется палочкой. Справа относительное укорочение 3см. Слева варус 33гр., тугой ложный сустав н/3бедра. Движения в коленных суставах почти в полном объёме. Перед нами встали вопросы, с чего начать? Протезирование правого ТБС? Восстановление опорности левой конечности? Воспользоваться-ли для этого интрамдулярным остеосинтезом гвоздём с блокированием с ретроградным введением? Стараться при этом восстановить полностью длину, или оставить на потом, на аппаратное решение? Или сразу попытаться использовать аппарат Илизарова? Но боимся потерять колено? Вопросов много. С благодарностью выслушаем все мнения. Заранее спасибо Рахматуллин Ринат Нургаянович ГКБ N 13 г.Уфа.

Послать ответ

Имя
Email
Уведомление Сообщить мне по e-mail об ответах на это сообщение
Название
Комментарий
(Проверьте URL! Не забудьте написать http://!)
Кодировка
Если не знаете, что выбрать, выберите "Просто текст"!
Приложение
Можно приложить к сообщению файл c изображением, который затем будет доступен увидевшим сообщение.
Подготовка иллюстраций:
  • Рентгенограммы: черно-белые полутоновые изображения в формате JPEG (8 bit, greyscale) с разрешением от 300х200 до 1024х768 пикселов;
  • Клинические фотографии: полноцветные изображения в формате JPEG (24 bit, truecolor) с разрешением от 300х200 до 1024х768 пикселов;
  • Схемы и рисунки: черно-белые (2 bit) штриховые (line-art) изображения в формате GIF или compressed TIFF
  • Подберите степень сжатия файла JPEG и размер изображения таким образом, чтобы необходимые детали были различимы, но размер файла не превышал 75 кб.
  • Учтите, что текущая версия программного обеспечения Форума позволяет приложить к одному сообщению лишь один файл-вложение. Поэтому, если необходимо отправить несколько изображений, можно либо послать каждое как отдельное сообщение, либо в графическом редакторе объединить изображения в одно (сделать коллаж).
  • Если при подготовке изображений встречаются трудности, не стесняйтесь обратиться к координатору Форума.

  • Введите видимые символы в обратном порядке. Enter the above characters in reverse order (*Обязательно)
    В тексте сообщения можно использовать теги HTML <B> <I> <P> <A> <LI> <OL> <UL> <EM> <BR> <TT> <HR> <STRONG> <BLOCKQUOTE> <DIV .*> <DIV> <P .*>
  • Обратите внимание: Поля с жирными названиями обязательны.
  • Старайтесь отвечать в рамках обсуждаемой темы, а не начинать новые обсуждения.
  • Указывайте адекватную тему сообщения, чтобы было ясно, о чем оно.
  • Не послайте сообщений не по теме (оффтопик), раздраженных, грубых или обидных комментариев. Здесь это неуместно.
  • Powered by Zope  Squishdot Powered MedLink
    Посетитель: 0394698
      "По форме правильно, а по существу - издевательство" В.И.Ленин
    ©2001-2019Orthoforum Coordinator.
    [ Главная | Отправить сообщение | Поиск | Админ ]