ВХОД ДЛЯ ПАЦИЕНТОВ
вверх
поиск
админ
главная
|
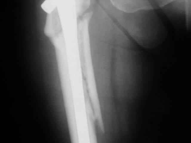
proximal femoral nonunion |
 |
 |
 |
Прислано Barry Berger 15 Ноябрь 2005, 10:10
из
Advice on this case would be appreciated. 59 year old female normal body weight and nonsmoker.
Now 11 months out from initial fixation. No clinical evidence of infection. Closed fracture initially. CT confirms minimal bridging bone. Weightbearing pain in proximal thigh. My initial thought was onlay autogenous bone graft with BMP supplementation and leaving fixation as is. Any benefit to revision fixation and if so what implant? Her ROM and length are symmetric. Thanks.
Обратите внимание: Поля с жирными названиями обязательны.
Старайтесь отвечать в рамках обсуждаемой темы, а не начинать новые обсуждения.
Указывайте адекватную тему сообщения, чтобы было ясно, о чем оно.
Не послайте сообщений не по теме (оффтопик), раздраженных, грубых или обидных комментариев. Здесь это неуместно.
|