AOTRAUMA.ORG Центр Илизарова  

Ортопедия и травматология Общие вопросы/General questions Help Информационные технологии в медицине
 вверх
 отправить
 поиск
 админ
 главная


Tibial Pilon Nonunion
Ортопедия и травматология Отправлено Rahul Banerjee 14 Декабрь 2005, 22:17
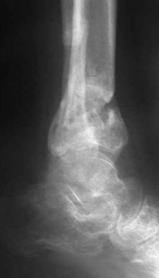
A 56 year old laborer fell off a wall approximately 5 months ago. He sustained an open pilon fracture. He was treated with debridement and external fixation. After he was treated for 4 months, the external fixator was removed.
The patient had no medical insurance and was therefore transferred to my care by his treating surgeon. He has remained NWB. He denies pain in his ankle. He has painless dorsiflexion and plantarflexion of his ankle joint.
I have attached his x-rays. I have also attached an WMV movie file of his axial CT (if you are unable to view this, I can post an MPEG file).
Suggestions for treatment?
Thanks.
Rahul Banerjee
El Paso, TX

<  |  >

 

  • Сообщения о Ортопедия и травматология
  • Также Rahul Banerjee
  • Связаться с автором
  • Ответить

    Re: Tibial Pilon Nonunion
    Jeff Brooks 14 Декабрь 2005, 23:24
    Rahul,

    It seems to be a definite nonunion from the plain XRs.

    Questions:

    Is this 56 y.o. laborer a smoker?

    What does the wound look like? Is there drainage?

    What are his CBC, CRP and ESR?

    Any other comorbidities?

    Thanks,

    Jeff
    [ Ответить ]

    Re: Tibial Pilon Nonunion
    Castro 15 Декабрь 2005, 14:58
    Dear Rahul,
    you tell us that: "He has painless dorsiflexion and plantarflexion of his ankle joint",
    Ok, I think, it's better to put polyetheline removable slab, conservative treatment for 3 months, then re-evaluation. by my opinion, no need to do any surgary at this time.
    [ Ответить ]

    Re: Tibial Pilon Nonunion
    David Oloruntoba 17 Декабрь 2005, 11:21
    If he has no pain on weight bearing leave him alone! But if he cannot weight bear i would suggest bone grafting the non union & fixing it with a retrograde locking nail like the SIGN nail thru the calcaneum.

    David Oloruntoba.

    [ Ответить ]

    Re: Tibial Pilon Nonunion
    Terry I. Finlayson 17 Декабрь 2005, 11:28
    The subtalar joint looks okay from what we can see on the lateral x-ray so I wouldn't want to damage it if it can be avoided. If thorough workup (WBC, ESR, CRP) shows no evidence for infection, he's a nonsmoker (or has quit) and there's no sign of infection at surgery, I would try a "moderately invasive" ORIF with debridement and autologous bone grafting. I think with a precontoured plate with locking screw capability one could get adequate fixation distally to allow immediate ROM and provide compression across the fracture.

    --
    Terry I. Finlayson, MD
    Alpine Orthopaedic Specialists
    2310 North 400 East
    Suite A
    North Logan, UT 84341
    [ Ответить ]

    Re: Tibial Pilon Nonunion
    Chip Routt 17 Декабрь 2005, 11:30
    Thanks for posting this example.

    What a nice holiday gift for you!!

    I'll leave the pilon treatment discussion to the list's pilon experts.

    My only comment is that this "referral" after 5 months of so-called treatment is unacceptable.

    Some might call this a "dump".

    If you are the regional pilon fracture expert for unfunded patients after 5 months and with problems due to the injury and/or previous treatment, then you were likley the expert 5 months ago when it was acute and perhaps more easily managed.

    Your regional community must support you, not abuse you as the dumping zone for unfunded complex patients.... correct this now with collegial communication... or suffer the long term consequences-

    Merry Christmas-

    Chip
    [ Ответить ]

    Re: Tibial Pilon Nonunion
    Alexander Chelnokov 17 Декабрь 2005, 11:31
    I am not sure i realize how medical insurance will influence surgical decision in this case.
    I would think about Ilizarov technique - closed osteotomy of the anteromedial part of the proximal fragment and its transport over the gap.
    [ Ответить ]


    ( Ответить )

    Powered by Zope  Squishdot Powered MedLink
    Посетитель: 0000209
      "По форме правильно, а по существу - издевательство" В.И.Ленин
    ©2001-2019Orthoforum Coordinator.
    [ Главная | Отправить сообщение | Поиск | Админ ]