Ответить
|
Re: Несросшийсз перелом дистального эпиметафиза бедра
Alexander Chelnokov 14 Январь 2006, 12:52
|
Сначала бы вторую проекцию посмотреть . Каказ амплитуда движений на сегоднз? Стабильности длз разработки хватит, но ретроградный остеосинтез при разгибатетельной контрактуре колена - технически нереален. Делать мобилизующую операцию, костную пластику, а потом стержень - это потерзть все преимущества закрытого интрамедуллзрного остеосинтеза. У нас скорее всего был бы рассмотрен менее радикальный подход - закрытый антеградный остеосинтез, сразу же активназ реабидитационназ программа длз коленного сустава. И если месзца за 3 не удалось бы досичь прзмого угла в колене - планировать мобилизующую операцю.
|
[
Ответить ]
|
Re: Несросшийсз перелом дистального эпиметафиза бедра
Отправитель: Коваленко А.Н. 16 Январь 2006, 01:50
|
Вторую проекцию (качества получше) отправил. Наши возможности ограничены Chm, я тоже хотел бы антеградно, но гвоздей с такими отверстиями нет, а канюлированный рассверливать не хочется. Отсутствие ЭОПа принуждает к использованию канюлированных гвоздей.
д-а2.JPG
18KB (18739 bytes)
|
[
Ответить ]
|
|
Re: Несросшийся перелом дистального эпиметафиза бедра
Коваленко А.Н. 14 Январь 2006, 18:05
|
Как раз при ЗИО костная пластика не планируется. ЭОПа у нас нет, поэтому на точку вкола выходим открыто, паралельно хотим удлинить сухожилие. Точно оценить обьем мешает патологичесая подвижность в области несрашения, ~15 гр.Вторая проекция перилагается.
|
[
Ответить ]
|
Re: Несросшийся перелом дистального эпиметафиза бедра
Найданов В.Ф. 14 Январь 2006, 19:03
|
Желательна боковая проекция. Я бы скорее решился на DCS. Миолиз 4-х главой с отсечением интермедиуса. Удлинения делать не стоит. Костная пластика необходима.
|
[
Ответить ]
|
Re: Несросшийся перелом дистального эпиметафиза бедра
Отправитель: Коваленко А.Н. 16 Январь 2006, 02:02
|
Позволит ли открытый синтез DCS приступить к ранней мобилизации в максимально короткие сроки? Да и стабильность массивной конструкции динамического винта в такой порозной кости сомнительна.
Если можно, просьба аргументировать свои соображения.
|
[
Ответить ]
|
|
Re: Несросшийся перелом дистального эпиметафиза бе
Leonid N. Solomin 16 Январь 2006, 20:11
|
Уважаемый Коваленко А.Н.
В подобном случае мы бы выполнили "одномоментно":
- артролиз-тенолиз-миолиз коленного сустава
- костную аутоплатику костной раны
- чрескостный остеосинтез (обязательно использование "Рекомендуемых позиций"
для проведения чрескостных элементов) с шарнтирной подсистемой на голень.
Всего наилучшего,
Л.Соломин
|
[
Ответить ]
|
Re: Несросшийся перелом дистального эпиметафиза бе
Отправитель: Alexander Chelnokov 18 Январь 2006, 11:29
|
Все-таки не удержусь и спрощу - если сделать первые два этапа, то для дальнейшей реабилитации в чем преимущества аппаратной фиксации, в сравенении с хорошей внутренней?
|
[
Ответить ]
|
Re: Несросшийся перелом дистального эпиметафиза бе
Отправитель: Leonid N. Solomin 20 Январь 2006, 01:20
|
1. Возможность поддерживать стабильность фиксации
2. При подобного рода вмешательствах мы не добиваемся "во что бы то ни стало" 90/0/0 на операционном столе. Обязательное накладывавем шарнирный модуль на коленный сустав (опоры II,10-4; III,2,70 для голени вполне достаточно) и восстановливаем (улучшаем) движения в коленном суставе.
Всего наилучшего,
Л.Соломин
|
[
Ответить ]
|
Re: Несросшийся перелом дистального эпиметафиза бе
Отправитель: Alexander Chelnokov 20 Январь 2006, 02:08
|
LNS> 1. Возможность поддерживать стабильность фиксации
Нормально выполненная внутренняя фиксация запас стабильности имеет более чем достаточный...
LNS> 2. При подобного рода вмешательствах мы не добиваемся "во
LNS> что бы то ни стало" 90/0/0 на операционном столе. Обязательное
LNS> накладывавем шарнирный модуль на коленный сустав (опоры II,10-4;
Это очень интересно. Если на столе не достигнут максимум сгибания, значит, оставлено какое-то серьезное препятствие? При стойкой
разгибательной контрактуре колена увеличить амплитуду движений, когда и оставлено что-то мешающее, и только что тут была большая операция,
да еще и в условиях аппарата на бедре (даже с учетом проведения спиц в самых-рассамых не мешающих участках), представляются крайне затруднительно. В общем, жажду подробостей и примеров! Заранее благодарен.
|
[
Ответить ]
|
Re: Несросшийся перелом дистального эпиметафиза бе
Отправитель: Leonid N. Solomin 21 Январь 2006, 02:15
|
> Это очень интересно. Если на столе не достигнут максимум сгибания,
> значит, оставлено какое-то серьезное препятствие?
Нет. "Серьезные препятствия" д.б. устранены. Использование чрескостного остеосинтеза позволяет значительно уменьшить травматичность вмешательства.
Так, если, условно, я имею выбор для получения дополнительных 20 гр. сгибания либо продолжить мобилизацию мягких тканей, либо "взять" те же 20 гр. за счет приемов внешней фиксации, я иду по второму пути.
> При стойкой
> разгибательной контрактуре колена увеличить амплитуду движений, когда
> и оставлено что-то мешающее, и только что тут была большая операция,
> да еще и в условиях аппарата на бедре (даже с учетом проведения спиц
> в самых-рассамых не мешающих участках), представляются крайне
> затруднительно.
Нет.
> В общем, жажду подробостей и примеров! Заранее
> благодарен.
У парня во вложении была контрактура с пателло-феморальным синостозом.
Удалось дополнительно удлинить бедро.

Подробности можно узнать в литературе:
1. Оперативное лечение посттравматической разгибательной контрактуры коленного сустава: Метод. рекомендации / Сост.: В.Д. Макушин и др.;
Минздравмедпром, РНЦ "ВТО". - Курган, 1994. - 32 с.
2. Корнилов Н.В. Сравнительный анализ одно- и двухэтапного методов оперативного лечения ложных суставов и неправильно сросшихся переломов бодренной кости, сочетающихся с контрактурами коленного сустава / Н.В. Корнилов, В.И. Карпцов, К.А. Новоселов, А.П. Варфоломеев // Плановые
оперативные вмешательства (предоперационное обследование и подготовка больных, осложнения, исходы: Сб. науч. трудов. - СПб., 1992. - С. 155-163.
3. Корнилов Н.В., Карпцов В.И., Новоселов К.А., Варфоломеев А.П., Степанов Н.И. Одноэтапное оперативное лечение больных с ложными суставами бедра, сочетающимися с контрактурами коленного сустава // Диагностика и лечение повреждений крупных суставов. - С-Пб, 1991. - С. 92-98.
4. Лечение разгибательных контрактур коленного сустава методом Илизарова: Метод. рекомендации / МЗ РСФСР, ВКНЦ "ВТО"; Сост.: А.В. Попков, А.Е. Югай, Г.В. Дьячкова. - Курган, 1991. - 17 с.
5. Оперативное лечение разгибательных контрактур коленного сустава: Метод. рекомендации / Сост.: В.И. Карпцов, Н.В. Корнилов. - Ленинград., 1986. - 13 с.
6. Реутов А.И. Клинико биомеханическое обоснование лечения больных с укорочениями и деформациями нижних конечностей с нарушением функции крупных суставов. - Автореф. : д.м.н. - Курган, 2003. - 50 с.
7. Соломин Л.Н. Основы чрескостного остеосинтеза аппаратом Г.А. Илизарова: Монография. - СПб. ООО <МОРСАР АВ>, 2005. - 544.
>Но в чем же все-таки преимущества? Адекватный погружной остеосинтез современными имплантами не подразумевает неуправляемую >нестабильность,
кроме того использование шарнирного модуля не является единственным способом
разработки движений. >Применение погружных конструкций облегчает возможность
использования внешних приспособлений для улучшения амплитуды >движений.
Наличие внешнего фиксатора причиняет значительные неудобства больному, особенно если он на бедре, как правило при >наличии выбора, пациенты чаще
предпочитают внутренний остеосинтез (последнее, конечно, субъективные впечатления, исходя из >моего скромного опыта работы).
>С уважением, Агалаков М.В.
Многоуважемый коллега!
Мы ведь в данном случае говорим не в общем и целом, а о конкретном пациенте.
К сожалению, я вынужден оставить общие дискуссии до живого общения на конференциях. Наш коллега спросил конкретного совета, мы ему стараемся помочь в силу своего опыта. Повторюсь, поступи этот больной в нашу клинику, мы бы сделали именно так, как это сказано и результат был бы достигнут
(насколько так можно говорить в медицине). Опыта применения имплантатов при конкретной патологии у нас нет; в литературе и на съездах-конференция тоже не густо. Приобретем опыт или научимся у более продвинутых в этой области специалистов - , возможно, мнением скорригируем. Но пока за рекомендуемый способ "отвечаем".
Всего наилучшего,
Л.Соломин
|
[
Ответить ]
|
|
Re: Несросшийся перелом дистального эпиметафиза бедра
Орлов А.Я. 21 Январь 2006, 18:46
|
Считаю неоходимым открытый метод лечения,возможно нет необходимости применять другой метод фиксации оптимально будет применение АВФ, как вариант можно применить накостные фиксаторы не обязательно DCS ограничения связаны с остеопорзом применение же интрамедулярных фиксаторов считаю крайне сомнительным меропиятием,а с мобилизацией коленного сустава будут определенные проблемы только на свой страх и риск
|
[
Ответить ]
|
Re: Несросшийся перелом дистального эпиметафиза бе
Anton Kovalenko 01 Февраль 2006, 00:42
|
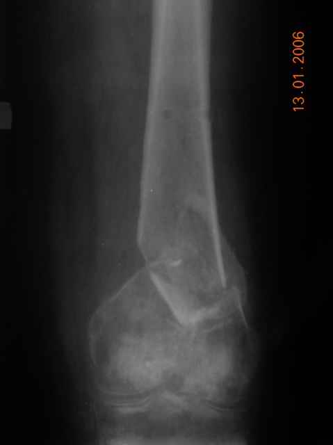
Уважаемые коллеги! Представляю на ваш суд ближйший результаты лечения.

На момент операции не было возможности запечатлеть увиденное, поэтому попытаюсь пересказать.
Первое что пришло в голову по аналогии очень похоже на асептический некроз головки бедра когда головку извлекают при эндопротезировании.Хрящ внутреннего мыщелка бедра был отслоен и изменен,сам мыщелок проминался под пальцем. От блокирования стяжкой отказались. Можно ли это расценить как асептический неркоз внутреннего мыщелка в результате первичной травмы?
Леонид Соломин писал о случае с пателлофеморальным синдесмозом(спасибо), но к сожалению сообщение пришло уже после операции.Прежде мы не встречались с подобным.Во время мобилизации после артролиза, отсечения интремедиуса попытались согнуть колено: хрящ надколенника остался на мыщелках бедра(!). В результате приняли решение удалить надколенник.
Раннее послеоперационное течение не очень спокойное- из раны было сукровичное отделяемое, но сейчас вроде идет на поправку(на фоне интенсивного лечения). В аттаче рентгенограммы.
Жду ваших комментариев!
|
[
Ответить ]
|
Re: Несросшийся перелом дистального эпиметафиза бе
Отправитель: Leonid N. Solomin 01 Февраль 2006, 00:46
|
Надколенник надо было сохранить! Отмоделировать суставную поверхность, создать прокладку между суставными поверхностями, создать управляемый диастаз при помощи аппарата. Теперь уж на будущее...
Всего наилучшего,
Л.Соломин
|
[
Ответить ]
|
Re: Несросшийся перелом дистального эпиметафиза бе
Отправитель: Alexander Chelnokov 01 Февраль 2006, 00:47
|
Рентгенограмма симпатичная...
КАН> хрящ надколенника остался на мыщелках бедра(!). В результате приняли
КАН> решение удалить надколенник.
Интересно, насколько это в подобной ситуации полезно...
КАН> Раннее послеоперационное течение не очень спокойное- из раны было
КАН> сукровичное отделяемое, но сейчас вроде идет на поправку(на фоне
Все-таки в плане мобилизации коленного сустава что именно сделали? В каком положении конечность после операции? Какие движения на сейчас?
|
[
Ответить ]
|
|
( Ответить )
|
|