вверх
отправить
поиск
админ
главная
|
Двухэтапная артропластика |
 |
 |
 |
Отправлено Рашид М. Тихилов 15 Январь 2006, 14:35
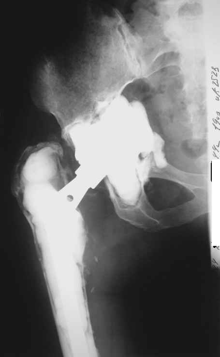
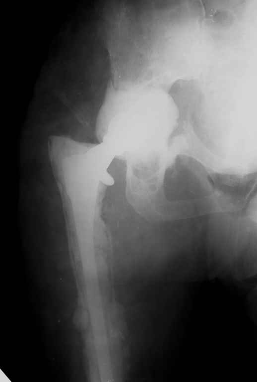
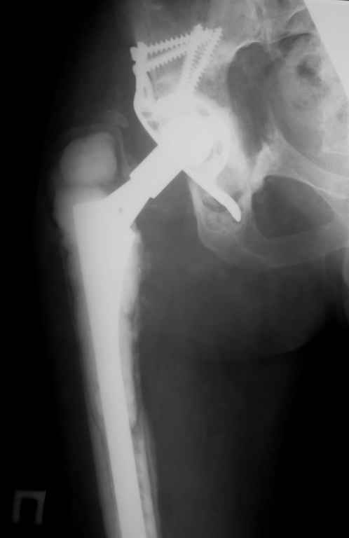
Уважаемый Юрий Алексеевич,Были небольшие проблемы с компьютером, поэтому если это еще представляет интерес, представляю Р-граммы пациентки с двухэтапным лечением инфекционного осложнения после ревизионной артропластики.
 Апрель 2005 |  Декабрь 2005 |  Декабрь 2005 | Реревизия по поводу нестабильности вертлужногокомпонента была выполнена в апреле 2005 г. с пересадкой вертлужной впадины (аллотрансплантат)и защитой трансплантата кольцом Б-Ш.Нагноение выявлено через 6 месяцев, был полностью удален эндопротез (и вертлужный и бедренный компоненты), тщательная ХО мягких тканей с установкой подготовленной из цемента с антибиотиками (родной гентамицин + насыпной ванкомицин) вертлужной впадины опять же на цемент. Установлена новая ножка взамен удаленной на к/цемет с антибиотиками. Рана зажила, б-ая выписана домой. По этой методике прооперировано четверо б-х, пока без рецидива инфекции, одна из пациенток уже поступила для второго этапа.С уважением, Р.Тихилов
<
|
>
|
|
Ответить
|
Re: Двухэтапная артропластика
А. В. Вакуленко 16 Январь 2006, 14:39
|
Уважаемый Рашид Муртузалиевич,
Еще вопросы: сколько доз цемента уходит у Вас на такую операцию? Сколько ванкомицина Вы добавляете в 40 гр цемента? Как долго и какие антибиотики используете в п/о периоде? Через какой срок планируете окончательную имплантацию?
--
С уважением,
А. В. Вакуленко
Донецкий НИИ травматологии и ортопедии, Украина
|
[
Ответить ]
|
Re: Двухэтапная артропластика
Отправитель: Рашид Муртузалиевич Тихилов 16 Январь 2006, 14:48
|
АВВ>И еще вопросы: сколько доз цемента
АВВ> уходит у Вас на такую операцию?
Все зависит от полости, конкретно в этом случае на изготовление "чашки" ушло 40 гр. и на ее установку столько же.
АВВ> Сколько ванкомицина Вы добавляете в 40
АВВ> гр цемента?
1 флакон, по-моему, это 2 грамма, могу ошибиться. Дело в том, что это достаточно большой объем порошка и если взять еще больше, то Вы не сможете "слепить" цемент, и так-то его механические св-ва здорово изменяются при 1 флаконе.
АВВ> Как долго и какие антибиотики используете в п/о периоде?
Вначале в/венно 7-10 дней с учетом чувствительности, потом таблетки 6 недель
АВВ> Через какой срок планируете окончательную имплантацию?
От 3-х до 4-х месяцев при следующих обязательных условиях: отсутствие клинических проявлений, реакции крови и отрицательный посев пунктата. Но в этот промежуток времени пациент двигает ногой и слегка приступает на ногу.
С уважением, Р.Тихилов
|
[
Ответить ]
|
Re: Двухэтапная артропластика
Отправитель: А. В. Вакуленко 16 Январь 2006, 15:00
|
Я тоже добавлял максимум 2 грамма (при этом визуально свойства цемента существенно не менялись). Но в литературе встречал 4 гр на 40 гр порошка и даже 6 гр!! на 40 гр порошка. Но это мне кажется, крайность...
Большое спасибо за снимок, теперь все видно! Кстати, по этому поводу: в зоне бедренной кости кортикала осталось очень мало. Планируете ли Вы при окончательной имплантации менять эту ножку на другую (и если да, то на какую именно)?
--
С уважением,
А. В. Вакуленко
Донецкий НИИ травматологии и ортопедии, Украина
|
[
Ответить ]
|
Re: Двухэтапная артропластика
Отправитель: Рашид Муртузалиевич Тихилов 17 Январь 2006, 22:31
|
Мы установили временный протез предназначенный только для движений и ходьбы без нагрузки. "Старый" цемент мы не удаляли поэтому спустя 3-4 месяца планируется выполнить расширенную остеотомию бедра с удалением всего к/цемента и установкой ножки бесцементной фиксации. Обязательным условием является хорошая дистальная фиксация на протяжении минимум 6-8 см. Скорее всего мы используем изогнутую ножку длиной 254 мм, это будет либо ZMR, либо Solution, я еще не планировал этот этап операции.
С уважением, Р.Тихилов
|
[
Ответить ]
|
Re: Двухэтапная артропластика
Отправитель: Anton Vakulenko 17 Январь 2006, 23:03
|
Большое спасибо за комментарии! Теперь все понятно. Удачи Вам в предстоящей непростой ревизии!..
--
С уважением,
А. В. Вакуленко
Донецкий НИИ травматологии и ортопедии, Украина
|
[
Ответить ]
|
|
( Ответить )
|
|