ВХОД ДЛЯ ПАЦИЕНТОВ
вверх
поиск
админ
главная
исходное
|
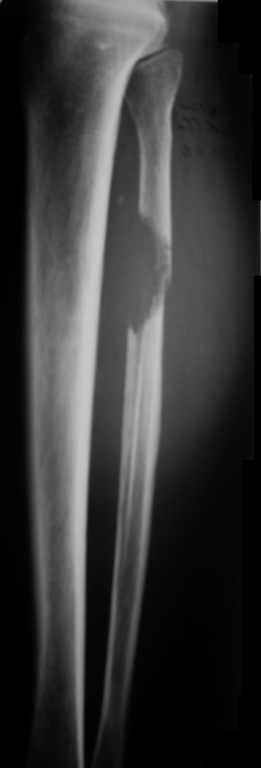
Re: первичная костная лимфома
послал Василий Евгеньевич Мамонов 24 Январь 2006, 01:57
|

Ещё одно клиническое наблюдение - лимфома кости, до и после ПХТ и лучевой терапии.
Мамонов Василий Евгеньевич, ГНЦ РАМН
|
| Послать ответ |
Обратите внимание: Поля с жирными названиями обязательны.
Старайтесь отвечать в рамках обсуждаемой темы, а не начинать новые обсуждения.
Указывайте адекватную тему сообщения, чтобы было ясно, о чем оно.
Не послайте сообщений не по теме (оффтопик), раздраженных, грубых или обидных комментариев. Здесь это неуместно.
|