AOTRAUMA.ORG Центр Илизарова  

Ортопедия и травматология Общие вопросы/General questions Help Информационные технологии в медицине
 вверх
 отправить
 поиск
 админ
 главная


Застарелый перелом таза
Ортопедия и травматология Отправлено Юрий Алексеевич Булахтин 01 Февраль 2006, 12:00 Камчатский Военно-морской госпиталь
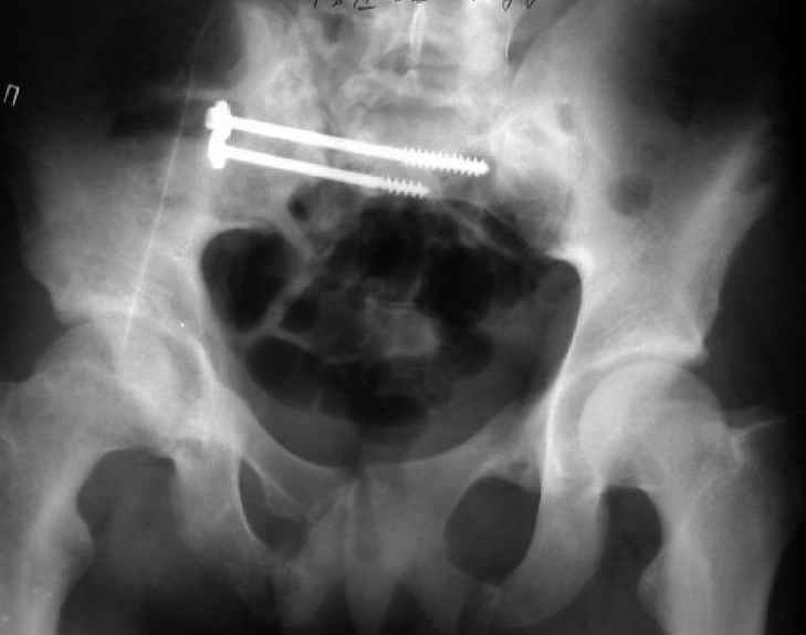
Уважаемые коллеги! Хотел-бы обсудить варианты лечения больной с застарелым переломом таза. Возраст 40 лет. Травма 11 месяцев назад. Главный травматолог Камчатского Военно-морского госпиталя Юрий Алексеевич Булахтин


<  |  >

 

  • Сообщения о Ортопедия и травматология
  • Также Юрий Алексеевич Булахтин
  • Связаться с автором
  • Файл-вложение
  • Кликните для загрузки файла Таз.JPG
    17KB (18122 bytes)

  • Ответить

    Re: Застарелый перелом таза
    maxim 01 Февраль 2006, 17:49
    У больного судя по всему вертикальная деформация таза. А каковы основные жалобы пациента и какие у него функциональные требования?
    Для принятия решения об оперативном лечении и о его объеме, представляется целесообразным выполнение рентгенографии в проекции "inlet", а так же функциональных рентгенограмм стоя попеременно на правой и левой нижних конечностях (для определения нестабильности тазового кольца).
    Мы, как правило, в подобных случаях проводим оперативное лечение в несколько этапов. Первым устраняем деформацию при помощи АВФ (кольцевой конструкции с фиксацией задних отделов), вторым- выполняем введение илиосакралых винтов, накостный остеосинтез передних отделов.
    План, конечно, очень общий, возможны варианты.
    Всего наилучшего, Агалаков М.В., УНИИТО.
    [ Ответить ]

    • Re: Застарелый перелом таза
      Отправитель: Юрий Алексеевич Булахтин 02 Февраль 2006, 13:45
      Уважаемый М.В. Агалаков!
      Простите не знаю Вашего имени, отчества. Спасибо за ответ. В отношении диагностической программы
      полностью с Вами согласен, примерно это и в таком объеме назначил. Дело в том, что пока мне просто приносили этот снимок. Дальнейшие результаты работы сообщу.



      [ Ответить ]
    Re: Застарелый перелом таза
    Рунков А.В. 02 Февраль 2006, 14:48
    Уважаемый Юрий Алексеевич, обсудить показания к оперативному лечению возможно после выяснения полной клинической картины (боль, опороспособность, ходьба, сидение, половая функция, неврологический статус), данные кт и косых проекций.
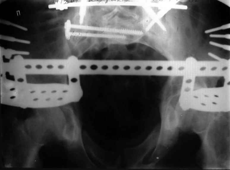
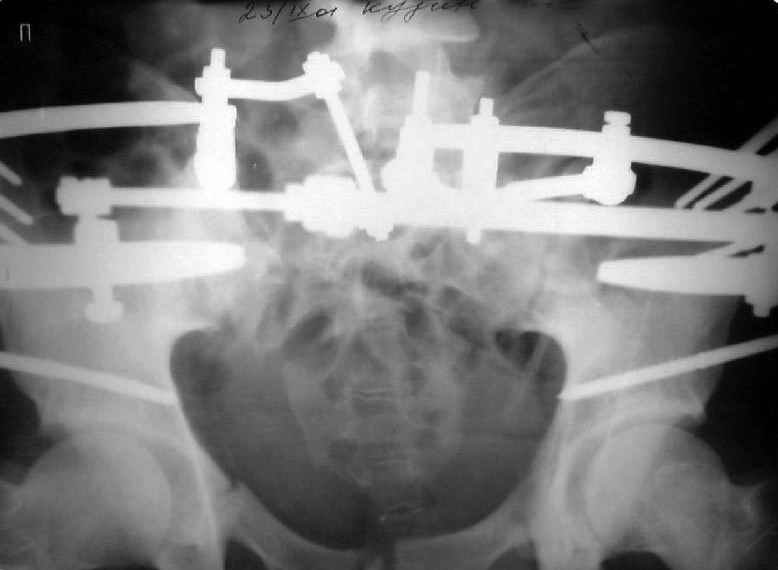
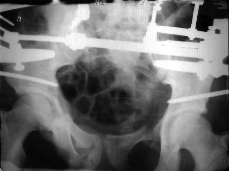
    Для информации к размышлению о возможности исправления имеющейся деформации предлагаю похожий случай.


    [ Ответить ]


    ( Ответить )

    Powered by Zope  Squishdot Powered MedLink
    Посетитель: 0000052
      "По форме правильно, а по существу - издевательство" В.И.Ленин
    ©2001-2019Orthoforum Coordinator.
    [ Главная | Отправить сообщение | Поиск | Админ ]