вверх
отправить
поиск
админ
главная
|
патологический перелом на фоне кистозных изменений |
 |
 |
 |
Отправлено Anton Vladzymyrskyy 15 Февраль 2006, 23:31
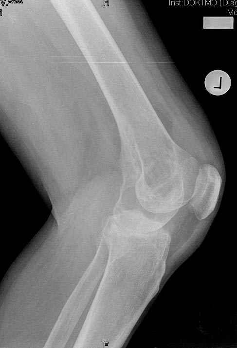
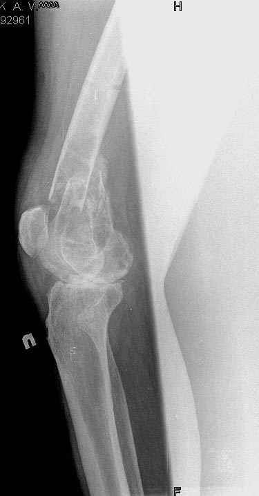
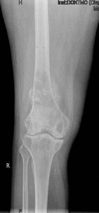
Коллеги!Окажите, пожалуйста, консультативную помощь.Мужчина, 41 год, 15 лет состоит на учете по поводу ревматоидного полиартрита, гормонзависимый (преднизолон получает нерегулярно). В процесс вовлечены крупные и мелкие суставы. 01.01.06 - без травмы наступил патологический перелом на границе н/3-с/3 бедра (перелом на фоне кистозных изменений?) Биопсия из зоны перелома - <реактивные изменения в очаге перелома>, без признаков опухоли. На рентгенограммах, помимо перелома, кистозные изменения на мыщелках б/берцовой кости и мыщелке бедра с другой стороны. До травмы со стороный коленных суставов был болевой синдром, функция практически в полном объеме. Какие будут предложения по тактика лечения перелома и кист на противоположом бедре? Заранее благодарю! С уважением, А.В.Владзимирский Донецкий НИИ травматологии и ортопедии Донецк, Украина
<
|
>
|
|
Ответить
|
Re: патологический перелом на фоне кистозных измен
Alexander Chelnokov 17 Февраль 2006, 00:49
|
AV> Какие будут предложения по тактика лечения перелома
Штифтование с блокированием, у себя бы сделали антгеградно, можно и ретроградно. Чтобы конструкция не вырезалась, лучше бы сделать какую-то augmentation - в каналы винтов ввести цемент, если есть возможность, то не метилметакрилатный, а типа Norian SRS или MIIG.
AV> и кист на противоположом бедре?
А от остеопороза какое-то систематическое лечение пациент получает? Бифосфонаты, миакальцик?
|
[
Ответить ]
|
Re: патологический перелом на фоне кистозных измен
Отправитель: Anton Kovalenko 17 Февраль 2006, 00:51
|
Приветствую, Александр Николаевич!
Какие резоны в данном случае к антеградному методу, и вообще
существуют ли четкие дифференцирующие показания для применения
методик, если речь идет о повреждении одного бедра?
|
[
Ответить ]
|
Re: патологический перелом на фоне кистозных измен
Отправитель: Alexander Chelnokov 17 Февраль 2006, 00:58
|
КАН> Какие резоны в данном случае к антеградному методу,
Да ровно те же, что и к ретроградному - наличие перелома. Плюс таксть общеортопедический здравый смысл - если есть решение проблемы, не требующее вскрытия сустава, то оно предпочтительнее, чем со вскрытием.
КАН> и вообще существуют ли четкие дифференцирующие показания для
КАН> применения методик, если речь идет о повреждении одного бедра?
Многие уверены, что есть. Так и стоит перед глазами воздетый палец со словами "Каждый метод должен применяться по строгим показаниям!" - не доводилось встречать? ;-)
А в реальности возможности методов перекрываются, а выбор основывается на трудно формализуемых персональных предпочтениях, местных представлениях и обычаях, особенностях имеющихся в наличии конструкций и т.п. Используемые у нас бедренные стержни при антеградном введении позволяют ввести до 5 винтов в дистальный отломок, что как раз в остеопорозе обеспечит меньший риск прорезания. Стержни с двумя дистальными винтами диаметром 4,5 мм, конечно, не стоит для такого случая использовать. Разве что с цементом. Бывают ретроградные стержни с возможностью введения 4-5 винтов, да с перекрестом...
Если бы Антон Владзимирский обрисовал более точно перечнь доступных методик, можно было бы более предметно советовать. Хотя на Украине точно есть представительство польской фирмы ChM. Если есть финансовая возможность приобрести имплантат, видимо, смогут и набор инструментов предоставить на операцию. Их ретроградный стержень в данном случае точно будет предпочтительнее, чем их же антеградный.
|
[
Ответить ]
|
Re: патологический перелом на фоне кистозных измен
Отправитель: Anton Kovalenko 17 Февраль 2006, 20:54
|
Отсюда и вырос вопрос! когда Вы были в Казани и читали доклад о синтезе бедра, то особо запомнилось, что ретроградный синтез ничем не опаснее антеградного. А на последних Ваших презентациях бросается в глаза антеградный синтез при низких переломах бедра(!).
|
[
Ответить ]
|
Re: патологический перелом на фоне кистозных измен
Отправитель: Alexander Chelnokov 17 Февраль 2006, 21:11
|
КАН> синтезе бедра, то особо запомнилось, что ретроградный синтез ничем
КАН> не опаснее антеградного.
Любой вариант иногда вызывает проблемы со стороны точки входа. При антеградном - временная слабость абдукторов, гетеротопическая оссификация, редко переломы шейки, еще реже коксит. При ретроградном - чуть более позднее восстановление амплитуды движений, иногда фиброз связки... Гнойный артрит - скорее жупел, чем реальная угроза. Вопрос во встречаемости, которая зависит еще и от большей или меньшей инвазивности, особенностей инстументов, огрехах в технологии на конкретной операции и т.п., что довольно трудно учесть при сравнении результатов в отделенном периоде.
КАН> А на последних Ваших презентациях бросается в глаза антеградный
КАН> синтез при низких переломах бедра(!).
Это наше довольно давнее увлечение, еще в 2001 г. первые такие операции сделаны, и понравилось, хотя технически не очень просто. А потом и технология отработалась, и гвоздик создался под антеградную фиксацию дистальных переломов. Вот и получается, что если еще и латерализовать точку входа, то есть совсем абдукторы не задевать, то антеградный вариант должен давать меньше проблем. На основе этих наработок сейчас у нас А.Е.Виноградским выполняется кандидатская диссертация по дистальным переломам, видимо, будет и количественная оценка.
|
[
Ответить ]
|
Re: патологический перелом на фоне кистозных измен
Отправитель: Alexandre Sitnik 18 Февраль 2006, 16:12
|
А можно поинтересоваться, гвозди каких именно производителей при антеградном введении позволяют ввести до 5 винтов в дистальный отломок?
Спасибо,
А. Стник
|
[
Ответить ]
|
Re: патологический перелом на фоне кистозных измен
Отправитель: Alexander Chelnokov 19 Февраль 2006, 10:31
|
Я говорил про нашу разработку (патент на пол.модель № 49710 РФ, Универсальный интрамедуллярный гвоздь для бедренной кости / Челноков А.Н., Виноградский А.Е (РФ)), которая сейчас выпускается ФГУ "ЦИТО" (Москва, http://gep-cito.webzone.ru/ ), этот стержень уже включен в реестр разрешенных изделий. Вот так выглядит дистальный конец. Дистальное отверстие смещено максимально близко к кончику, и введение винтов даже только в него уже позволяет фиксировать очень короткий отломок.

|
[
Ответить ]
|
Re: патологический перелом на фоне кистозных измен
Отправитель: Alexandre Sitnik 19 Февраль 2006, 17:26
|
По-видмому, есть хитрости с попаданием трех шурупов в дистальное отверстие? Так кажется на первый взгляд?
|
[
Ответить ]
|
Re: патологический перелом на фоне кистозных измен
Отправитель: Alexander Chelnokov 20 Февраль 2006, 22:38
|
Да вроде никаких особенных хитростей тут нет. Единственное - лучше все три проводить через отверстие одновременно, то есть чтобы кончики зашли в отверстие, а дальше поочередно их на 1-2 оборота крутить.
|
[
Ответить ]
|
|
Re: патологический перелом на фоне кистозных измен
A. Liberson 23 Февраль 2006, 10:09
|
It looks logical and easier to use a retrograde nail then an anterograde in this case, though
any fixator will do its job and even an external. I myself would use a retrograde one.
The degenerative knee will not worsen by the nail.
I would do a proper reserch into those cysts looking for a reason of teir appearance-osteitis
fibrosa cystica or others,
There are rules for preventive nailing-if the pathology occupies more than 1/2 of the
diaphysis-otherwise it should be left alone.
Dr Liberson
|
[
Ответить ]
|
( Ответить )
|
|