вверх
отправить
поиск
админ
главная
|
Сразу эндопротез или сначала коррекция оси? |
 |
 |
 |
Отправлено Елена Рейно 04 Март 2006, 12:46
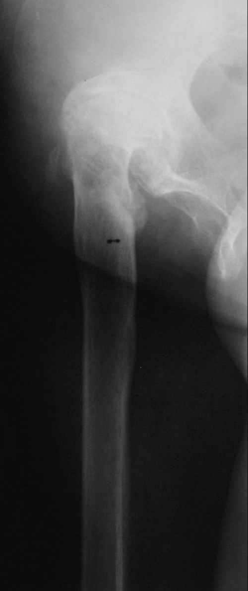
Уважаемые коллеги! Хотелось бы услышать Ваше мнение относительно тактики лечения данной пациентки. Пациентка 1953 г.р. поступила в клинику с диагнозом: "Деформирующий артроз в неоартрозе III ст. между головкой правого бедра и правой подвздошной костью, исход открытого вправления врождённого вывиха правого бедра. АВНГБ слева III-IV ст., коксартроз слева IIIст.Остеобластокластома левой седалищной кости."Из анамнеза: в возрасте 14 лет - открытое вправление врождённого вывиха правого бедра. В 1980 г. остеотомия, дистракционный остеосинтез правой бедренной кости.Зимой 2003г. обнаружена ОБК левой седалищной кости, получила курс лучевой терапии. В настоящее время данных за прогрессирование патологического очага нет. Пациентка поступила для эндопротезирования правого тазобедренного сустава. Учитывая наличие вальгусной деформации правого бедра и костей правой голени, возник вопрос, что выполнять в первую очередь - эндопротезирование, или же корригирующие остеотомии с исправлением оси конечности? Мнения коллег разделились.Заранее благодарны за помощь.
<
|
>
|
|
Ответить
|
Re: Сразу эндопротез или сначала коррекция оси?
ерохин александр 05 Март 2006, 00:46
|
А почему бы не сделать одномоментно?Что есть сомнения,что одномоментное вмешательство пациентка не выдержит из-за чрезмерной агрессии?
|
[
Ответить ]
|
Re: Сразу эндопротез или сначала коррекция оси?
Отправитель: Alexander Chelnokov 05 Март 2006, 11:18
|
А как тут именно лучше исправить ось - на бедре, или на голени тоже? На каких уровнях? И чем фиксировать, если предполагать исправление вместе с протезированием?
|
[
Ответить ]
|
|
Re: Сразу эндопротез или сначала коррекция оси?
Leonid Solomin 06 Март 2006, 01:13
|
Уважаемая Рейно Елена:
Прежде всего хотелось бы уточнить движения в тазобедренном суставе (хорошо - в неоартрозе): главным образом - возможности отведения. Если на Рг максимальное отведение, а вальгус бедра и голени компенсирет положение ноги для возможности ходить, то этапоное лечение (ось - эндопротез), по-видимому, не подойдет.
+: есть ли неравенство длин конечностей; если таковое имеется - каково положение дел в позвоночнике?
... задаю вопросы, а у самого еще вагонные колеса в голове стучат: только вернулся из Екатеринбурга. Был, как это называется, "на рабочем месте" в УНИИТО, а именно в травм. отделении на Московской. Замечательно пообщался с коллегами - высокими профессионалами. Занимаю этими строками место на Форуме не с целью личной переписки (это, считаю, нужно делать по персональным адресам), а исключительно информации для. В указанном учреждении мощно развиваются два направления: блокируемый интрамедуллярный остеосинтез (возглавляет его Александр Николаевич Челноков) и
реконструктивно-восстановительная хирургия при повреждениях таза (неформальный лидер - Алексей Владимирович Рунков). То, что здесь делают они и их ученики, нередко уникально не только для России, но и для "дальнего зарубежья". Это - информация к размышлению для тех, кто хотел бы пополнить свои "знания и умения".
Еще раз спасибо всем, с кем имел человеческое и профессиональное удовольствие общаться эти дни!
Ваш,
Л.Соломин
195427, С.-Петербург,
ул. акад. Байкова, 8,
ФГУ <РНИИТО им. Р.Р.Вредена Росздрава>
Соломин Леонид Николаевич, д.м.н.
тел. (812)556-3971, 550-9579
|
[
Ответить ]
|
Re: Сразу эндопротез или сначала коррекция оси?
Отправитель: Рейно Елена 06 Март 2006, 16:10
|
Уважаемый Леонид Николаевич!
С отведением у пациентки проблемы - 0 град., приведение до 30 град, сгибание/разгибание=140/150 град., внутр. ротация 0 град., наружная ротация 20 град. Относительное и ортопедическое укорочение правой нижней конечности всего 1 см.(в 1980г. удлинение правого бедра на 4 см.). Имеются признаки остеохондроза дисков поясничного отдела позвоночника.
Учитывая отсутствие выраженной фиксированной приводящей контрактуры, рассматривали вариант первичной коррекции вальгусной деформации конечности.
Второй рассматриваемый вариант - эндопротезирование правого тазобедренного сустава с низведением и коррекцией деформации на уровне проксимального отдела бедра. Вторым этапом - коррекция вальгусной деформаци голени.
Вариант одномоментной установки эндопротеза и коррекции осевой деформации нижней конечности представляется нам действительно агрессивным вмешательством.
С уважением, Рейно Е.В.
|
[
Ответить ]
|
|
Re: Сразу эндопротез или сначала коррекция оси?
Волокитина Елена Александровна 09 Март 2006, 09:48
|
Уважаемые коллеги! Согласны с вами о целесообразности выполнения первым этапом корригирующей(щих) остеотомии(мий) бедра, возможно совместить их и с коррекцией на голени. А эндопротезирование выполнить стандартно вторым этапом. Имеем опыт выполнения эндопротезирования и корригирующих операций в один этап, не так это и агрессивно, но продолжительность одного этапа лечения существенно возрастает из-за необходимости более длительной фиксации.
С уважением Е.А.Волокитина
|
[
Ответить ]
|
Re: Сразу эндопротез или сначала коррекция оси?
Отправитель: Alexander Chelnokov 09 Март 2006, 16:31
|
А длительная фиксация чего и чем подразумевается?
|
[
Ответить ]
|
Re: Сразу эндопротез или сначала коррекция оси?
Отправитель: Юрий Алекссевич Булахтин 10 Март 2006, 18:17
|
А почему аппарат "единственный"? Вроде и пластинами можно.
С уважением, Ю.А. Булахтин
|
[
Ответить ]
|
|
( Ответить )
|
|