ВХОД ДЛЯ ПАЦИЕНТОВ
вверх
поиск
админ
главная
исходное
|
Re: Консолид. перелом г/ стопного
послал Алексей Минервин 16 Март 2006, 17:06
|

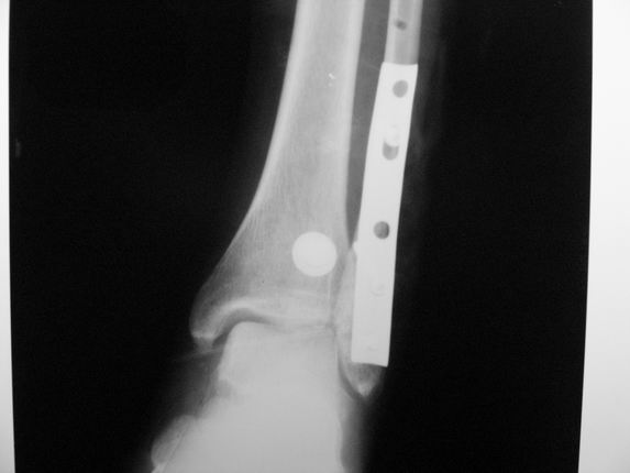
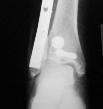
Уважаемые коллеги! Как и обещал, представляю плоды своей работы. Хвалиться особо нечем. Пошли задним
доступом сначала к м/берцовой кости, благодаря смещению линию перелома удалось сразу дифференцировать и по ней узким долотом (без молотка) мобилизовали отломки. Затем выделили задний край, там было проще пройти по линии перелома. Далее пластина по задней поверхности в дистальный отломок, винт проксимальнее пластины и дистрактором с трудом растянули отломки, ощущение было идеальной репозиции м/берцовой кости( доступен осмотр по задней и наружной поверхности), далее винты стандартно. Кстати, положение больной на боку: очень неудобно, но по-другому потом не повернуть на спину, чтобы сделать снимки в стандартных проекциях (ЭОПа нет). Затем дистрактор (два полукольца, спицы), репозиция заднего края, спонгиозный винт с шайбой, слишком проксимально, поэтому + еще один. Доступ к дельтовидной связке: рубец в передней порции, частично иссечен, шов. В общем, длительность операции 3,5 часа, а сказать, что все задуманное получилось, не могу.
А.Минервин.
|
| Послать ответ |
Обратите внимание: Поля с жирными названиями обязательны.
Старайтесь отвечать в рамках обсуждаемой темы, а не начинать новые обсуждения.
Указывайте адекватную тему сообщения, чтобы было ясно, о чем оно.
Не послайте сообщений не по теме (оффтопик), раздраженных, грубых или обидных комментариев. Здесь это неуместно.
|