вверх
отправить
поиск
админ
главная
|
Отправлено Устюгов Александр 13 Март 2006, 10:50
Здравствуйте коллеги. Сегодня поступил юноша 13 лет с повторным переломом правого бедра на стержне. Первый перелом был зимой 2003 году, синтезирован 2-мя стержнями Богданова. В июне 2003 года миграция стержней - стержни убраны. Повторный перелом в декабре 2003 года. Произведён МОС стержнем. Сегодня повторный перелом на стержне. Конечность уложена на шину Беллера. Господа, как можно удалить данный стержень? Чем предпочтительнее, на Ваш взгляд, синтезировать данный перелом у молодого растущего юноши с ожирением П ст.: пластиной, простым стержнем или стержнем с блокированием? ЭОПа у нас нет, поэтому пользуемся наборами ДЕОСТа с дистальной навигацией.
<
|
>
|
|
Ответить
|
Re: Повторный перелом бедра.
Alexander Chelnokov 13 Март 2006, 11:22
|
Снимки бы посмотреть.
|
[
Ответить ]
|
Re: Повторный перелом бедра.
Устюгов Александр 13 Март 2006, 16:21
|
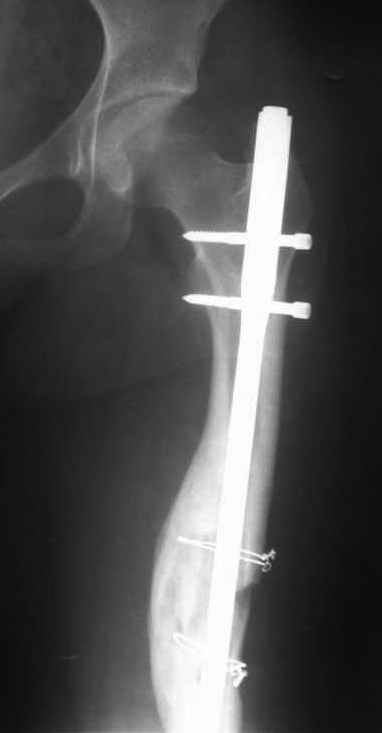
Снимок только при поступлении один.
Image(037)кор.jpg
22KB (23181 bytes)
|
[
Ответить ]
|
Re: Повторный перелом бедра.
Пак Леонид 13 Март 2006, 17:36
|
на мой взгляд можно интраоперационно закрыто исправить ось бедра, удалить гвоздь через небольшой разрез и выполнить БИОС с рассверливанием канала. если нет ЭОПа то репозицию произвести в аппарате Илизарова (метод Челнокова А.Н.) и блокировку произвести под контролем R-гр. правда придется повозиться.
|
[
Ответить ]
|
Re: Повторный перелом бедра.
Отправитель: Alexander Chelnokov 13 Март 2006, 23:16
|
Этот подход используется в мире много где и много кем в различных вариациях, и вряд ли стоит приписывать авторство всего метода кому-то одному.
|
[
Ответить ]
|
|
Re: Повторный перелом бедра.
Alexander Chelnokov 13 Март 2006, 19:23
|
УА> Конечность уложена на шину Беллера. Господа, как можно удалить данный
УА> стержень?
Такие стержни, несмотря на изгиб, удаляются обычно довольно легко. В
отерстие вверху можно ввести спицу или проволку, прикрутить ее к
скользящему молотку, который есть в наборе ChM.
УА> Чем предпочтительнее, на Ваш взгляд, синтезировать данный
УА> перелом у молодого растущего юноши с ожирением П ст.: пластиной,
УА> простым стержнем или стержнем с блокированием? ЭОПа у нас нет, поэтому
Стержень тут самое то, проводник в кривой канал можно засунуть, немного изогнув; проконтролировать снимками. Ну а потом "об колено" при введени стержня деформацию устранить. Нижние винты, может, даже и вводить не надо будет.
|
[
Ответить ]
|
Re: Повторный перелом бедра.
Устюгов Александр 14 Март 2006, 14:34
|
Всем большое спасибо.
|
[
Ответить ]
|
Re: Повторный перелом бедра.
Alexander Nagoga 14 Март 2006, 20:27
|
Уважаемый Александр!
У нас неоднократно были аналогичные ситуации, и мы, также как и Вы без ЭОП, но (!!!!!!!!) с наборами СнМ Деоста.
Штифт немного (как правило, практически полностью) разгибается под наркозом и удаляется подручными средствами (кусачки, плоскогубцы, наковальни, крокодилы костные, самопальные экстракторы, возможно с частичной остеотомией вертела при крайней необходимости). Не вскрывая место перелома длинным сверлом 6-7 мм. или шилом - перфоратором проходим линию перелома ( В Вашем случае это
самое главное), вводим стандарный направитель из набора, делаем рентгенконтроль на переносном армяне, а далее по технологии - рассверлить и
ввести гвоздь.(монтаж компрессирующий)
В Самаре прооперировано 5 детей 13-16 лет за последние полгода. Результаты классные.
|
[
Ответить ]
|
Re: Повторный перелом бедра.
Отправитель: Alexander Chelnokov 14 Март 2006, 22:43
|
АН> мм. или шилом - перфоратором проходим линию перелома ( В Вашем случае это
АН> самое главное),
Тут не должно быть проблем с введением проводника, канал на уровне перелома есть, раз там сейчас стержень.
АН> вводим стандарный направитель из набора,
Изогнув кончик, чтобы он шел ближе к медиальному кортексу.
АН> делаем рентгенконтроль на переносном армяне, а далее по
АН> технологии - рассверлить
Если взять стержень не из толстых, рассверливать не понадобится. Очевидно, 10 мм, а то и 11, и так войдет.
АН> и ввести гвоздь.(монтаж компрессирующий)
Можно и без компрессии, одномоментное изменение угла уже создаст напряжение тканей такое, что и без винтов внизу стабильность будет достаточная для сращения.
АН> В Самаре прооперировано 5 детей 13-16 лет за последние полгода. Результаты
АН> классные.
Даже у пожилых классные, что уж говорить про подростков...
АН> А насчет пластины..............Вам не надоело крутить шурупы в таких
АН> количествах?
В принципе, тут и пластина, сделаннвя на "биологический" манер, то есть без циркулярного скелетирования и иссечения межотломковых тканей, имеет высокие шансы на успех. И аппаратом можно срастить. Можно аппаратом ось исправить и пластину прикрутить. Или стержень ввести. В общем, такого рода несращения - очень благодарная патология.
|
[
Ответить ]
|
|
Re: Повторный перелом бедра.
Александр Нагога 16 Март 2006, 16:55
|

В дополнение:
Вполне возможно, что перед вами встанет проблема укорочения бедренной кости.
Удлинить сегмент на штифте БИОС-системы возможно, не прибегая к АВФ (продлевая и без того затянувшееся лечение).
В нашей работе мы столкнулись с похожей ситуацией. У девушки 16-ти лет произошел изгиб интрамедуллярного штифта с вторичным смещением отломков бедра (гвоздь оказался тонковат, использовали, видимо, по принципу, что было под рукой). Вот только укорочение последнего составило 4см. Оперировали с обнажением места перелома, удлинили бедро на штифте ChM с элементами костной аутоплатики а-ля Хахутов. К слову, это был один из первых опытов использования нами БИОС вообще. Исходный результат - полная косолидация и выигрыш 3см, что расцениваем его как достойный данного изложения.
Нагога Александр и врачи "ОРТО", САМАРА.
|
[
Ответить ]
|
( Ответить )
|
|