AOTRAUMA.ORG Центр Илизарова  

Ортопедия и травматология Общие вопросы/General questions Help Информационные технологии в медицине
 вверх
 отправить
 поиск
 админ
 главная


Переломы предплечья
Ортопедия и травматология Отправлено Alexandr Nagoga 31 Март 2006, 22:29
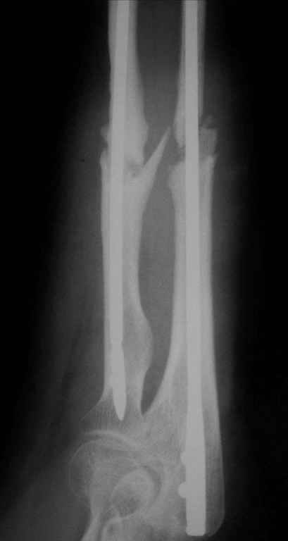
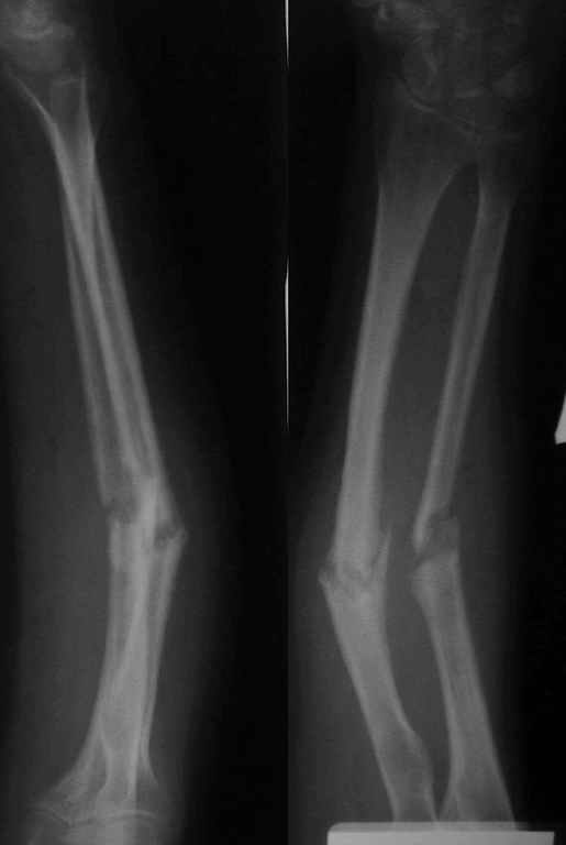
Уважаемые коллеги!У нас в травматологическом отделении клиник кафедры травматологии Самарского медуниверситета находится пациентка с ложными суставами костей предплечья, после остеосинтеза спицами (8 месяцев).
Девушка молодая, аппарат внешней фиксации категорически не приемлет. Выполнен закрытый БИОС СнМ с расверливанием (сверлом 4,5 мм).Хотелось ознакомиться с вашими комментариями.
Сергей Ардатов, Александр Панкратов, Александр Нагога.

<  |  >

 

  • Сообщения о Ортопедия и травматология
  • Также Alexandr Nagoga
  • Связаться с автором
  • Ответить

    Re: Переломы предплечья
    Alexander Chelnokov 31 Март 2006, 23:27
    АН> медуниверситета находится пациентка с ложными суставами костей предплечья,
    АН> после остеосинтеза спицами (8 месяцев).

    А спицами делали закрыто? Или и открытая репозиция была?

    АН> Девушка молодая, аппарат внешней фиксации категорически не
    АН> приемлет.

    В развитых странах как первый вариант рассматривался бы накостный остеосинтез с костной пластикой.

    АН> Выполнен закрытый БИОС СнМ с расверливанием (сверлом 4,5 мм).
    АН> Хотелось ознакомиться с вашими комментариями.

    Поздравляю с освоением новых вариантов этой очень перспективной технологии!

    Ну и комментарии:

    1.Послеоперационные снимки сделаны на разных уровнях, но в одной проекции. Что во второй?

    2.До операции были правильные взаимоотношения в дистальном лучелоктевом сочленении, после - лучевая заметно длиннее.

    3.Лучевая кость практически лишена физиологического изгиба. Обусловлено это тем, что стержень не был соответсвующим образом изогнут, и спрямил кость. Даже если ротационные взаимоотношения отломков правильные (что отнюдь не факт), будет ротационная контрактура. Для ориентира, к чему стремиться, стоило бы перед операцией сделать снимок противоположного предплечья в той же проекции - предплечье в нейтральном положении, ладонь вниз, локтвой сустав в профиль.

    4.Целесообразность статического запирания гвоздей тут довольно сомнительна, хорошего контакта на стыке не видно, осбенно на локтевой.
    Пытались ли дать компрессию, и каким образом?

    5.В лучевой кости винты введены в тыльно-ладонном направлении, что подвергало риску сухожилия и сосуды.

    6. В дистальном отделе локтевой кости винт раза в два длиннее, чем надо. Как меряете необходимую длину?

    Спасибо.


    [ Ответить ]

    Re: Переломы предплечья
    Юрий Алексеевич Булахтин 05 Апрель 2006, 23:06
    Да все вроде хорошо. А в чем вопрос?

    Ю.А. Булахтин

    P.S. Только что вернулся с Аошного симпозиума по интрамедулярному остеосинтезу. Подводя итоги, модератор из США Джеймс Хьюз говорил о том, что разделение хирургов на "пластинистов" и "гвоздевиков" сейчас 49% на 51% и тенденция набирает силу. Это если Вы спрашиваете о целесообразности выбранной методики остеосинтеза.

    С уважением, Ю.А. Булахтин (плейтер).
    [ Ответить ]


    ( Ответить )

    Powered by Zope  Squishdot Powered MedLink
    Посетитель: 0187456
      "По форме правильно, а по существу - издевательство" В.И.Ленин
    ©2001-2019Orthoforum Coordinator.
    [ Главная | Отправить сообщение | Поиск | Админ ]