ВХОД ДЛЯ ПАЦИЕНТОВ
вверх
поиск
админ
главная
исходное
|
Re: Остеомиелит бедра
послал Djoldas Kuldjanov 12 Апрель 2006, 23:40
|
>“Помогите с тактикой лечения? Хотел поподробнее узнать о лазерной
>перфорации? а также как можно купить его?”
Вы получили ответ от наших коллег на ваш вопрос по поводу лазера, и если вас все же интересует тактика лечения инфицированных переломов после штифтования, я бы мог поделитmся нашей тактикой лечения подобных осложнений.
Со времен Войно-Ясенецкого, отца Российской гнойной хирургии в начале прошлого столетия (кстати, очень почитаемого в вашем городе, где он заведовал кафедрой хирургии ТашМИ и был священником высокого ранга в местной Духовной семинарии), гнойные процессы должны быть вскрыты и дренированы. Примерно та же тактика применяется и сегодня, за осключением метода вскрытия, кто скальпелем, а кто то методом лазерной перфорации.
Из статьи Krochek IV, Privalov VA, Lappa AV, Nikitin SV не понятно как перфорация 0.4 мм диаметром перкутанно, создает благоприятные условия при лечении остеомиелитического процесса, если лазер использовать для резки костной ткани с последующей эвакуацией и ваккумированием (разработка профессора Ш.Ш. Хамраева), тогда имеется смысл применения таковых лазерных скальпелей.
На вашем месте я бы вскрыл очаг остеомиелита, предварительно удалив штифт, загнанный с нарушением всех правил интрамедуллярного остеосинтеза, промыл полость не менее 5-6 литрами физиологического раствора с применением Jet Lavage.
Имеющиеся деньги, предназначенные для покупки лазерного аппарата-перфоратора я бы потратил для аппарата Jet Lavage, от которого будет больше пользы для данного больного, а о ставшиеся деньги для покупки антибиотиков, потому что данные категории больных нуждаются в спейсерах из антибиотиков.
Спейсеры служат для уменьшения мертвого пространства после обработки, иначе имеется риск повторного инфициравания, потому что собравшаяся жидкость является хорошей питательной средой для бактерии.
После удаления штифта, нужно расверлить канал на 1.5-2мм больше, чем удаленный штифт и ввести “Custom made Nail”из антибиотиков. Эти штифты готовятся прямо во время операции из спиц достаточной длины в канал, делается из резиновой трубки форма, и вводится цемент с антибиотиком
(Vancomycin 1.0+ Tobramycin 1.2), в середину вводится спица, трубка после затвердения цемента со спицей разрезается и ваш Custom made Nail
готов, его можно вводить в полость канала.
Использование других антибиотиков нашими коллегами по сайту к успеху не приводили, цемент не схвативался? В некоторых странах имеются уже
готовые цементы с антибиотиком.
Оставщиеся другие полости после дренажа заполняем бусами из того же материала.
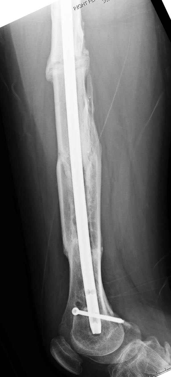
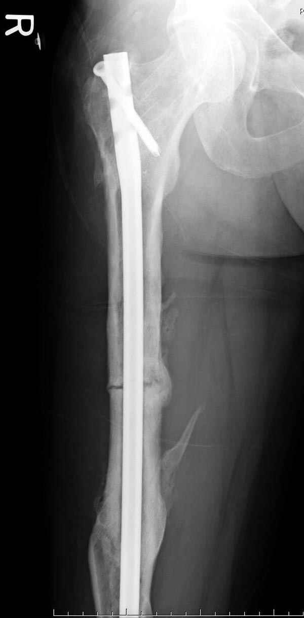
Учитывая, что на представленной ренгенограмме перелом сросся, я думаю достаточно будет такая импровизированная интрамедуллярная фиксация.
Инфекция канала и стрессовый перелом:
Представляю снимки больного с политравмой: леченного в другом мед.учреждении по поводу открытого перелома бедра, сперва аппаратом наружной фиксации, затем пластиной. Обратился к нам через 8 месяцев после удаления пластины с проблемой несросщего перелома бедренной кости, без клинических проявлении к инфицированию (не все снимки сохранены)
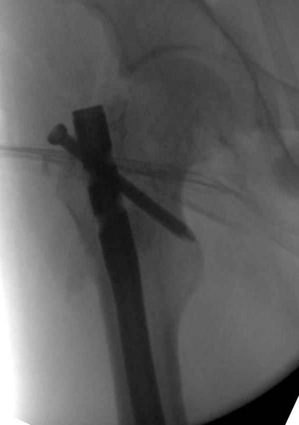
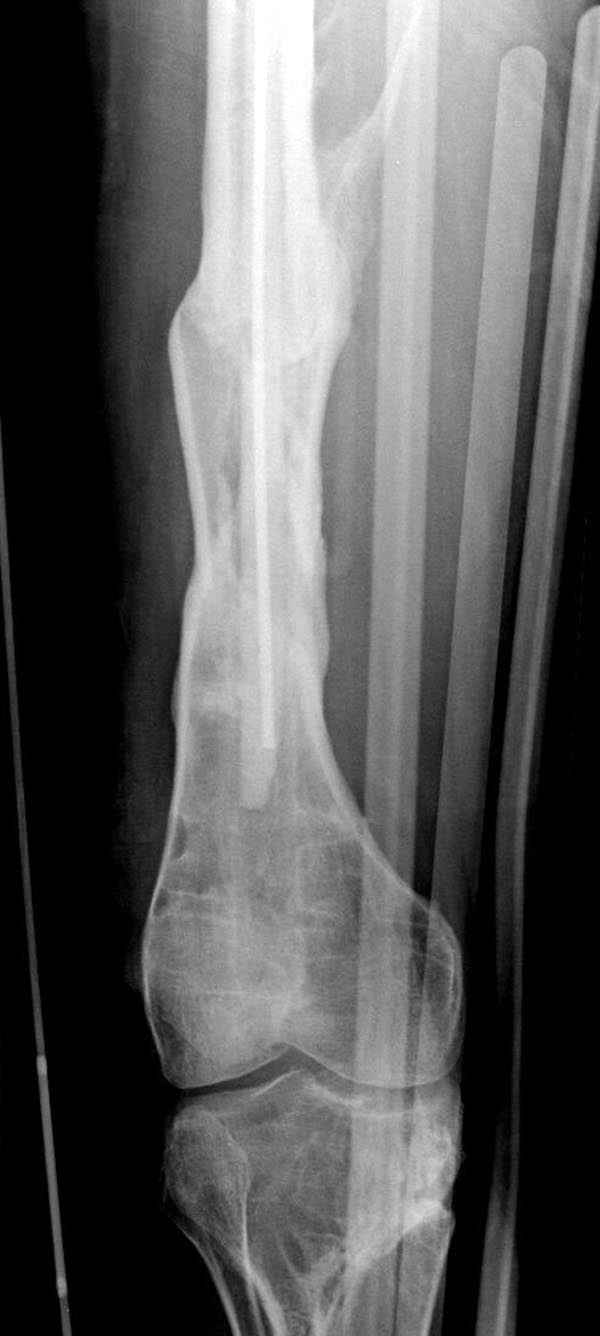
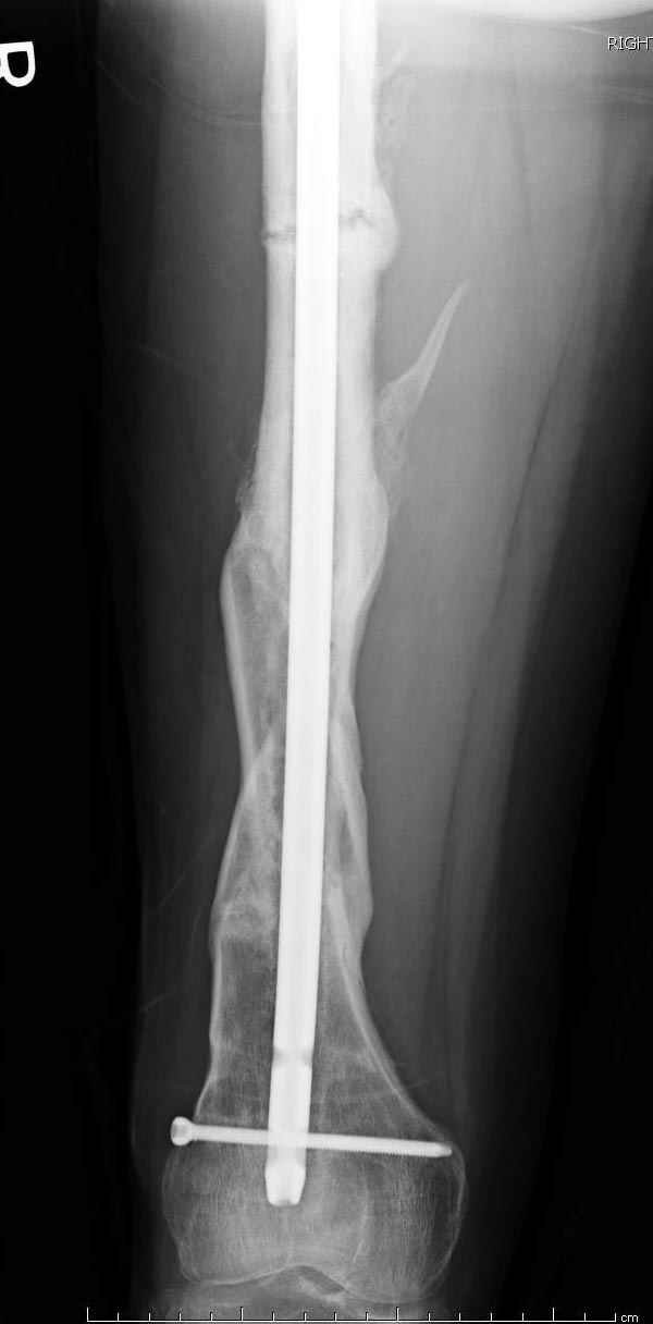
Рутинный интрамедуллярный остеосинтез с расверливанием и с фиксацией реконструктивным трокантерик штифтом (рис №1, №2),

если первые 4 месяца послеоперационного периода проходил без проблем, но на 5 месяце появились боли в дистальном отделе бедра и температура, т.е. симптомы медуллярного инфицирования (рис №3, №4).

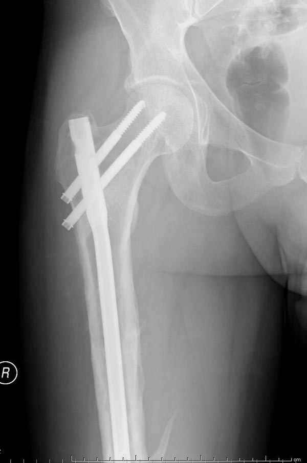
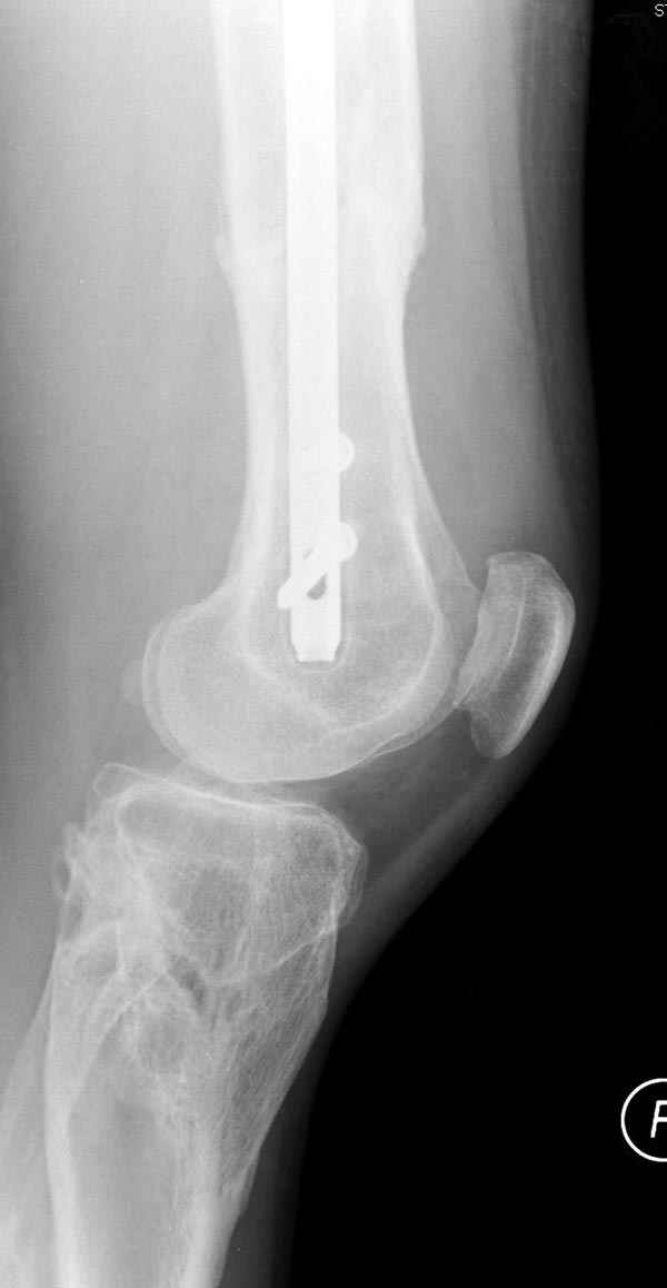
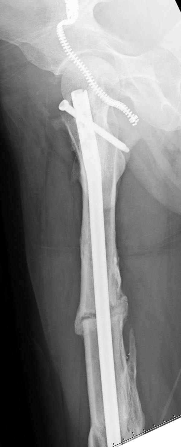
Замена реконструктивного штифта “Custom made Nail” с антибиотиком (рис №5, №6),

после промывки канала с рассверливанием внутреннего кортекса, через 4 недели антибиотический штифт удалили, оспалителный процесс остановлен и бедро сросся.
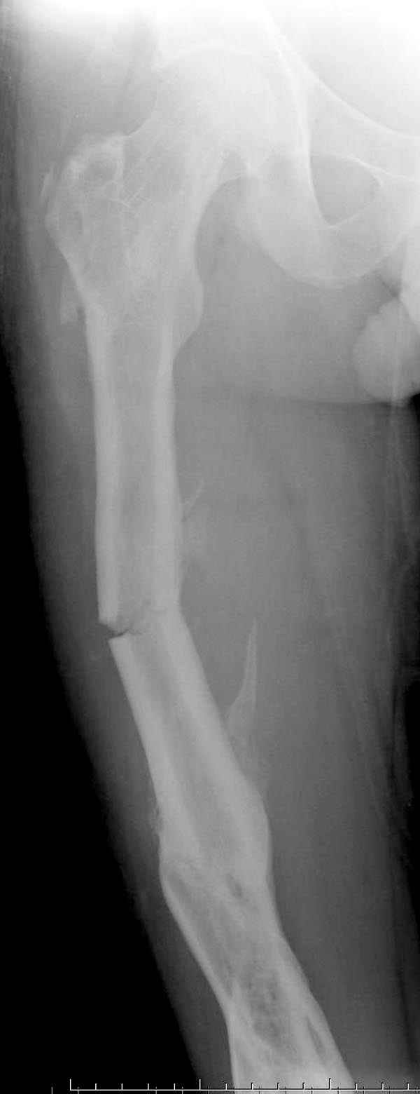
Мы не дождались “Happy End”, у больного IQ в пределах 70%, через 6 месяцев вернулся после небольшой травмы, споткнувшись получил перелом
того же бедра (рис №7).

На следующий день произвели интрамедуллярный остеосинтез: этапы во время операции (рис №8, №9)

и последующих снимках (рис №10, 11, 12, 13) перелом сростается и передвигается с полной нагрузкой.

При обзоре причин перелома, на снимке №2 обнаружили, что один из стержней аппарата наружной фиксации проходил только через передний кортекальный слой, что создало стрессовую зону на бедре и в результате перелом из-за незначительной травмы.
Джолдас Кульджанов
Djoldas Kuldjanov, MD
Department of Orthopedic Surgery
St. Louis University Medical Center
|
| Послать ответ |
Обратите внимание: Поля с жирными названиями обязательны.
Старайтесь отвечать в рамках обсуждаемой темы, а не начинать новые обсуждения.
Указывайте адекватную тему сообщения, чтобы было ясно, о чем оно.
Не послайте сообщений не по теме (оффтопик), раздраженных, грубых или обидных комментариев. Здесь это неуместно.
|