AOTRAUMA.ORG Центр Илизарова  

Ортопедия и травматология Общие вопросы/General questions Help Информационные технологии в медицине
 ВХОД ДЛЯ ПАЦИЕНТОВ
 вверх
 поиск
 админ
 главная


"Бульдозерная" травма коленого сустава
Ортопедия и травматология Прислано Александр Ситник 14 Апрель 2006, 16:08
из
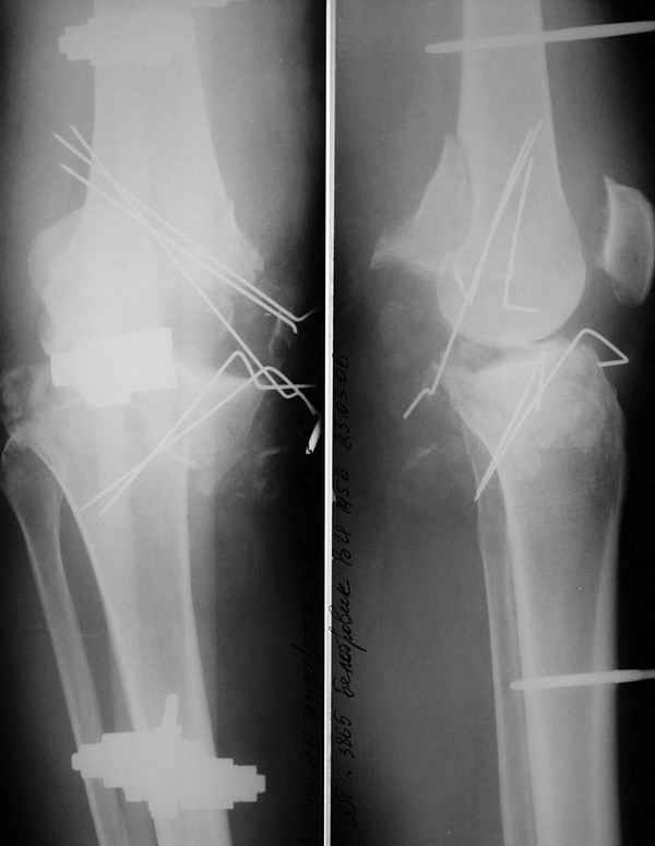
Больной 48 лет, соматически здоров, около 3 недель назад получил тяжелый открытый перелом внутренних мыщелков бедра и большеберцовой кости. Травма производственная - наехал бульдозер.

При поступлении - травматический шок 2 ст. При ревизии раны - отсутствие внутреннего мыщелка бедра, перелом внутреннего мыщелка б/б кости, нестабильность коленного сустава. Повреждений магистральных сосудов и нервов нет. Рваная лоскутная рана по внутренней поверхности колена. Выполнен адаптационный остесинтез остатков кости спицами и мостовидная трансартикулярная фиксация стержневым аппаратом внешней фиксации. Наводящие швы, частично - пластика по Хохутову. Сейчас раны заживают (местами с небольшими некрозиками, но в целом неплохо), встает вопрос о втором этапе лечения. Напрашивается вроде артродез коленного сустава.

Возможно кто-либо имеет опыт лечения подобных случаев и может предложить нечто повеселее?
С уважением,
А.Ситник

Послать ответ

Имя
Email
Уведомление Сообщить мне по e-mail об ответах на это сообщение
Название
Комментарий
(Проверьте URL! Не забудьте написать http://!)
Кодировка
Если не знаете, что выбрать, выберите "Просто текст"!
Приложение
Можно приложить к сообщению файл c изображением, который затем будет доступен увидевшим сообщение.
Подготовка иллюстраций:
  • Рентгенограммы: черно-белые полутоновые изображения в формате JPEG (8 bit, greyscale) с разрешением от 300х200 до 1024х768 пикселов;
  • Клинические фотографии: полноцветные изображения в формате JPEG (24 bit, truecolor) с разрешением от 300х200 до 1024х768 пикселов;
  • Схемы и рисунки: черно-белые (2 bit) штриховые (line-art) изображения в формате GIF или compressed TIFF
  • Подберите степень сжатия файла JPEG и размер изображения таким образом, чтобы необходимые детали были различимы, но размер файла не превышал 75 кб.
  • Учтите, что текущая версия программного обеспечения Форума позволяет приложить к одному сообщению лишь один файл-вложение. Поэтому, если необходимо отправить несколько изображений, можно либо послать каждое как отдельное сообщение, либо в графическом редакторе объединить изображения в одно (сделать коллаж).
  • Если при подготовке изображений встречаются трудности, не стесняйтесь обратиться к координатору Форума.

  • Введите видимые символы в обратном порядке. Enter the above characters in reverse order (*Обязательно)
    В тексте сообщения можно использовать теги HTML <B> <I> <P> <A> <LI> <OL> <UL> <EM> <BR> <TT> <HR> <STRONG> <BLOCKQUOTE> <DIV .*> <DIV> <P .*>
  • Обратите внимание: Поля с жирными названиями обязательны.
  • Старайтесь отвечать в рамках обсуждаемой темы, а не начинать новые обсуждения.
  • Указывайте адекватную тему сообщения, чтобы было ясно, о чем оно.
  • Не послайте сообщений не по теме (оффтопик), раздраженных, грубых или обидных комментариев. Здесь это неуместно.
  • Powered by Zope  Squishdot Powered MedLink
    Посетитель: 0397857
      "По форме правильно, а по существу - издевательство" В.И.Ленин
    ©2001-2019Orthoforum Coordinator.
    [ Главная | Отправить сообщение | Поиск | Админ ]