вверх
отправить
поиск
админ
главная
|
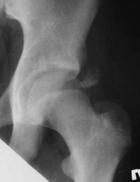
отрыв spina iliaca anterior inferior |
 |
 |
 |
Отправлено Anton Vladzymirskyy 18 Апрель 2006, 19:34
День добрый! Мальчик, 14 лет. Травма во время игры в футбол - отрывной перелом spina iliaca anterior inferior.
 Пальпаторно боль в проекции ости. Ограничение сгибания-разгибания бедра из-за боли. Какова тактика лечения? Заранее благодарю! С уважением, А.В.Владзимирский Донецкий НИИ травматологии и ортопедии
<
|
>
|
|
Ответить
|
Re: отрыв spina iliaca anterior inferior
дмитрий бондарь 18 Апрель 2006, 21:15
|
IMHO поза "лягушки". Оперировать?А стоит ли?
подобную проблему решил консервативно.
С уважением Д.Б.
|
[
Ответить ]
|
Re: отрыв spina iliaca anterior inferior
Djoldas Kuldjanov, M.D. 19 Апрель 2006, 04:20
|
Антон,
Отрывные повреждения не всегда срастаются идеально, встречал и несращения spina iliaca. Менее активных людей можно лечить консервативно, но для этого надо создать специальные условия для
сращения, максимальное сгибание в тазобедренном суставе не менее трех недель (мальчик 14 лет? трудно удержать в постели), потому что это место прикрепления прямой и непрямой головки (direct and inderect head of quadriceps) четырехглавой мышцы, главный разгибатель конечности,
особенно в футболе все движения через эту мышцу.
Такого спортсмена я бы оперировал на второй же день и надо идти начальным Smith Peterson anterior доступом, т.е. от спины илиака супериор в промежутке между сарториус и тензор фасции, одного шурупа 3.5 мм достаточно в супраацетабулярной поверхности.
Для репозиции сгибание в тазобедренном суставе, валик под коленом на пару дней, на второй день работа на отводящие и приводящие движения в суставе (adduction и abduction), на третий день встает. После ренгенологического сращения допускают к тренировкам.
Джолдас Кульджанов
|
[
Ответить ]
|
Re: отрыв spina iliaca anterior inferior
Рунков А.В. 05 Май 2006, 10:47
|
два наблюдения,лечились без операции, разницы между здоровой и больной стороной нет.
|
[
Ответить ]
|
( Ответить )
|
|