вверх
отправить
поиск
админ
главная
Предыдущее
|
Re: Открытый переломо-вывих стопы.
Алексей Семенистый 20 Апрель 2006, 01:06
|
>>Это первый мой опыт лечения таких переломов в аппарате Илизарова...
Никита, Вас можно поздравить! Однако.....
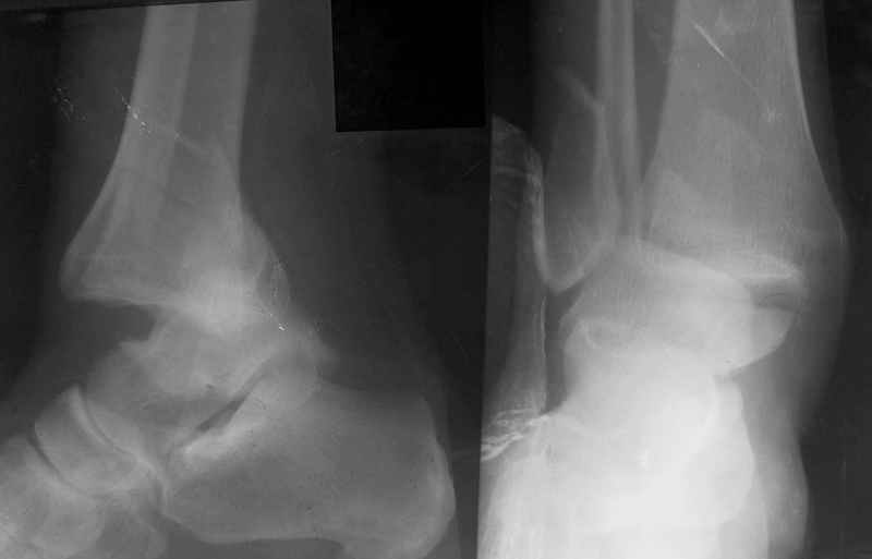
>>ПХО раны, скелетное вытяжение на шине Белера. Через неделю наложен АВФ, устранен вывих стопы...
Никита, а почему через неделю-то???, почему не через две или три? А может надо было сразу вместе с ПХО...
Кстати , а как Вы до этого случая лечили открытые переломы лодыжек??? неужели трансартикулярной фиксцией? Тогда Вы действительно сделали большой шаг вперед!
Ответы на вопросы: 1. Дистракцию снять! Все правильно вы понимаете: наружная лодыжка -ключ г\ст сустава, а пытаетесь наоборот - таранную кость сделать "ключом"... Нейротрофические расстройства очень могут появиться..
2. Конечно аппарат собран не лучшим образом. База на стопе очень низко расположена, есть даже сомнения: обе ли спицы проходят через пяточную кость? Откройте любое руководство по чрескостному остеосинтезу и найдете ответ на вопрос, как компоновать аппарат, возможно, даже удивитесь, когда узнаете , что есть компановки вообще не фиксирующие г\ст сустав.
>> Больная категорически отказалась от проведения спиц с напайкой в условиях местной анестезии...
Прочитал эту фразу несколько раз... И правильно сделала! А что, с наркозом проблемы?
3. Если добиваться в аппарате, то только путем проведения дополнительных спиц и небольшого перемонтажа... Диастаз говорит только о неанатомичной репозиции лодыжки, со всеми вытеающими...
Слышали ли Вы о принципах хирургического лечения внутрисуставных переломов, таких как 1.анатомичная репозиция,
2.внутренняя (хотя и наружняя тоже может быть)фиксация отломков (а не сустава)по принципу "абсолютной" стабильности,
3.атравматичная техника
4 ранняя мобилизация сустава (а возможно и ранняя нагрузка, если вдавления хряща нет)???
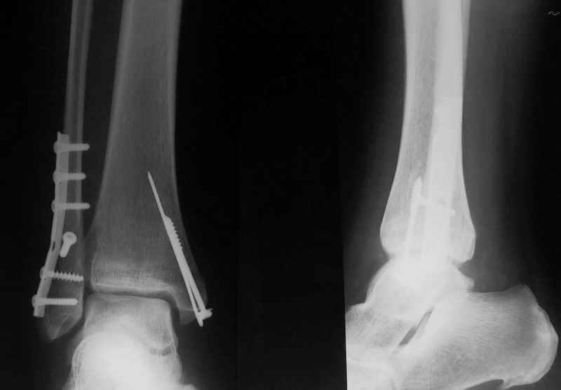
Вообщем, еще не поздно (и совершенно неопасно) снять аппарат, и сделать открытую репозицию и полноценный остеосинтез наружной лодыжки стягиваающим винтом и нейтрализующей 1\3-трубчатой пластиной... Лучше это было сделать сразу при поступлении в качестве экстренной операции, крнечно если есть возможность, а она всегда будет, если есть желание!!
Удачи!
А. Семенистый, Москва.
|
|
|
Ответить
|
Re: Открытый переломо-вывих стопы.
Игорь Кучерявый 20 Апрель 2006, 11:05
|
> ...сделать открытую репозицию и полноценный остеосинтез наружной лодыжки
> стягивающим винтом и нейтрализующей 1\3-трубчатой пластиной... Лучше
> это было сделать сразу при поступлении в качестве экстренной операции,
> конечно если есть возможность, а она всегда будет, если есть желание!!
Все-таки наверное при таких переломах ургентно внеочаговая фиксация менее рискована в плане нагноения? Или подходы меняются?
|
[
Ответить ]
|
Re: Открытый переломо-вывих стопы.
Отправитель: Алексей Семенистый 20 Апрель 2006, 21:51
|
Активно оперируем лодыжки с 1999г. Начинали именно с открытых, т.к. АНФ, трансартикулярная фиксация не удовлетворяли (много осложнений). Все делали ургентно по Мюллеру. Удивились, когда больные с тяжелыми открытыми повреждениями выздоравливали раньше (и полностью: через 2-3 месяца!) по сравнению с закрытыми, которых лечили в гипсе (3-5мес).
Рана по внутренней стороне г\ст сустава, ключевое дестабилизирующее повреждение м\б кости снаружи. Т.Е. внутренняя фиксация наружной лодыжки является по-сути ВНЕОЧАГОВОЙ по отношению к открытому медиальному повреждению.
Сначала: ревизия раны, многократное промывание и удаление сомнительных тканей, затем:
переодевание-перестилание-смена инструмента, остеосинтез м\б кости (наружной лодыжки), с позиционным винтом или без него, ушивание и дренирование "хирургической" раны. Затем: повторная ревизия и промывание рваной раны, остеосинтез медиальной лодыжки минимумом железа (винт и спица). Раньше всегда старалились герметично ушить с промывной системой, сейчас все чаше оставляем рану открытой и через 4-7 дней спокойно ушиваем. Естественно посевы, антибиотики... Гипсовая лонгета на 5-7 дней... после этого разрешаем наступать.
В год таких повреждений бывает 6-10. за 6 лет только два осложнения с последующим артродезированием.
А. Семенистый.
|
[
Ответить ]
|
Re: Открытый переломо-вывих стопы.
Отправитель: Игорь Кучерявый 21 Апрель 2006, 00:36
|
Благодарю. Иногда делая так же по дежурству, попадал под ироничные улыбки с утра. :)) Справедливости ради, проблемы были только у одного больного, с сахарным диабетом, правда без дренажа его, бедного, ушил, и наглухо (обширный некроз и нагноение в области внутренней лодыжки).
|
[
Ответить ]
|
|
Re: Открытый переломо-вывих стопы.
Виктор, ортопед-травматолог, 30 лет стажа 20 Апрель 2006, 21:20
|
Все сделано неплохо. Критики не будет, при Вашем опыте прекрасно.Я очень часто в последнее время в условиях частной клиники делаю подобную работу спустя 2-3 месяца после травмы. Широко использую стержни Шанца, фиксацию через таранную кость спицами с упорными площадкми и без. Манипуляция стержнями с резьбой на конце и спицами с упорнымии площадкми позволяет приблизится к идиалу. Можно выыставить стержнем закрыто даже задний край б/б кости. Но очень много постоянной ежедневной работы. Хотя длительность пребывания в стационаре не более 5-6 дней. Ваш аппарат по моему выглядить громоздко, малофункционально, хотя все получилась хорошо.
|
[
Ответить ]
|
Re: Открытый переломо-вывих стопы.
Заднепровский Никита 20 Апрель 2006, 21:37
|
Здравствуйте, Алексей.
АС> Никита, а почему через неделю-то???, почему не через две или три? А
АС> может надо было сразу вместе с ПХО...
Я полностью согласен со всеми доводами.
Прооперировал на следующий день после того как увидел эту больную и взял ее на курацию. Почему не прооперировали другие? Вопрос не ко мне ...
АС> Кстати , а как Вы до этого случая лечили открытые переломы лодыжек???
АС> неужели трансартикулярной фиксцией?
Я встречал и такой подход. Будучи в Краевом центре при мне крестообразно проводили спицы через таранную кость после репозиции, лица с большим медицинским авторитетом ...
Повторюсь, я молодой специалист и моя задача научиться делать правильно и с пользой для пациента.
АС> Ответы на вопросы: 1. Дистракцию снять!
Сделано.
АС> 2. Конечно аппарат собран не лучшим образом. База на стопе очень низко
АС> расположена, есть даже сомнения: обе ли спицы проходят через пяточную
АС> кость?
Обе спицы проходят через кость. Снимок "срезан", поэтому не очень отчетливо видно.
АС> Откройте любое руководство по чрескостному остеосинтезу и
АС> найдете ответ на вопрос , как компоновать аппарат, возможно, даже
АС> удивитесь, когда узнаете , что есть компоновки
АС> вообще не фиксирующие г\ст сустав.
Ирония понятна... Но ведь при вывихе, разве можно
устранить вывих и удержать стопу, не включая ее саму в схему конструкции? Само собой блокируется голеностопный сустав.
>>> Больная категорически отказалась от проведения спиц
>>> с напайкой в условиях местной анестезии...
АС> Прочитал эту фразу несколько раз... И правильно сделала! А что, с
АС> наркозом проблемы?
Пациентка страдает хр.алкоголизмом. Доставила много хлопот анестезиологам во время первого обезболивания. И они четко дали понять, что проблемы травматолога в неспособности сразу
сделать все как надо, в их планы не входит.
АС> Слышали ли Вы о принципах хирургического лечения внутрисуставных
АС> переломов, таких как 1.анатомичная репозиция,
АС> 2.внутренняя (хотя и наружняя тоже может
АС> быть)фиксация отломков (а не
АС> сустава)по принципу "абсолютной" стабильности,
АС> 3.атравматичная техника
АС> 4 ранняя мобилизация сустава (а возможно и ранняя нагрузка, если
АС> вдавления хряща нет)???
Да это ж "папаша Мюллер" собственной персоной!
Активно пользуемся остеосинтезом по АО тоже.
--
С уважением, Заднепровский Никита
|
[
Ответить ]
|
Re: Открытый переломо-вывих стопы.
Отправитель: Алексей Семенистый 20 Апрель 2006, 22:14
|
> АС> удивитесь, когда узнаете , что есть компоновки
> АС> вообще не фиксирующие г\ст сустав.
> Ирония понятна... Но ведь при вывихе, разве можно
> устранить вывих и удержать стопу, не включая ее саму в схему
> конструкции? Само собой блокируется голеностопный сустав.
Стабильность г\ст сустава обеспечивается во-первых наружной лодыжкой (ключ), во-вторых задним краем б\б кости, в-третьих связками синдесмоза и межкостной мемраной, только в-четвертых медиальной лодыжкой (дельтовидной связкой. Это классика! А пяточной кости и плюсневых костей здесь нет! зачем их фиксировать? см. вложенный файл.

> Да это ж "папаша Мюллер" собственной персоной!
> Активно пользуемся остеосинтезом по АО тоже.
Так и пользуйтесь, раз знаете!
С уважением, А. Семенистый.
|
[
Ответить ]
|
Re: Открытый переломо-вывих стопы.
Отправитель: дмитрий бондарь 24 Апрель 2006, 02:41
|
Коллега!Sorry,по-моему стоит провести винт через синдесмоз,а?Вроде бы контуры г\ст не совпадают,нет?Я дал бы компрессию на синдесмоз в положении полного разгиба стопы
С уважением Д.Б.
|
[
Ответить ]
|
Re: Открытый переломо-вывих стопы.
Отправитель: Алексей Семенистый 24 Апрель 2006, 11:40
|
>>Д.Б. - Коллега!Sorry,по-моему стоит провести винт через синдесмоз,а?Вроде бы контуры г\ст не совпадают,нет?Я дал бы компрессию на синдесмоз в положении полного разгиба стопы..
1. Винт никогда не стоит проводить "через" синдесмоз. Если и проводить, то выше синдесмоза.
2. Межберцовый винт должен быть только позиционным и должен удерживать синбесмоз, а не компремировать его
3 Контуры девственны: талокруральный угол, суперпозиция, медиальное пространство. Что не совпадает?
Вообще, этот больной через 2 месяца после травмы в футбол играл.
Pls.
|
[
Ответить ]
|
|
( Ответить )
|
|