ВХОД ДЛЯ ПАЦИЕНТОВ
вверх
поиск
админ
главная
|
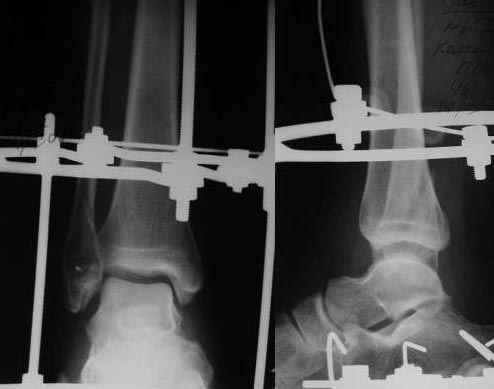
Открытый переломо-вывих стопы. |
 |
 |
 |
Прислано Заднепровский Никита 19 Апрель 2006, 19:45
из
Больная, 45 лет. Открытый переломо-вывих левой стопы. При поступлении выполнена ПХО раны, скелетное вытяжение на шине Белера. Через неделю наложен АВФ, устранен вывих стопы. Это первый мой опыт лечения таких переломов в аппарате Илизарова. Интересуют вопросы:
1. Уменьшать ли высоту суставной щели голено-стопного сустава? Перестарался я, добиваясь сопоставления дистального отломка малоберцовой кости по длине. Трофических и неврологических расстройств нет.
2. Схема компоновки аппарата (на мой взгляд) не дает больной возможность опираться на ногу. Передвигается с опорой на костыли и здоровую конечность. Когда дать нагрузку? Больная категорически отказалась от проведения спиц с напайкой в условиях местной анестезии. Хотел провести спицу в репонирующем кольце для стабилизации.
3. Добиваться ли плотного сопоставления малоберцовых отломков? Если да, то как? Виден диастаз, что может, вероятно, говорить о неустраненной наружной ротации стопы.
Обратите внимание: Поля с жирными названиями обязательны.
Старайтесь отвечать в рамках обсуждаемой темы, а не начинать новые обсуждения.
Указывайте адекватную тему сообщения, чтобы было ясно, о чем оно.
Не послайте сообщений не по теме (оффтопик), раздраженных, грубых или обидных комментариев. Здесь это неуместно.
|