ВХОД ДЛЯ ПАЦИЕНТОВ
вверх
поиск
админ
главная
исходное
|
Re: Ликвидация ложного сустава
послал Александр Нагога 26 Апрель 2006, 21:54
|
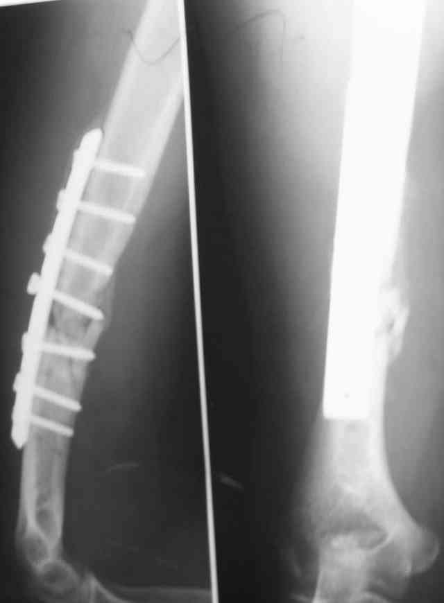
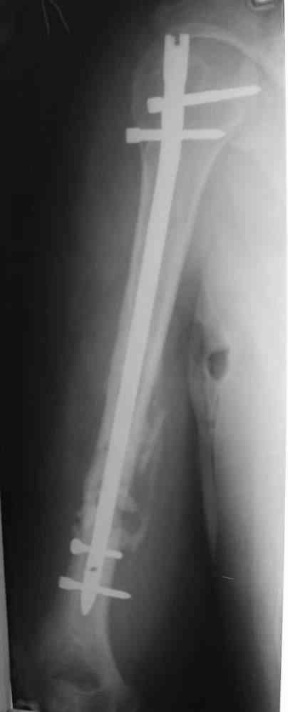
У нас в клинике было два подобных случая. Один пациент до обращения к нам перенес девять хирургических вмешательств в разных медучреждениях города.
Штифт - отвисание проксимального отдела - накостный остеосинтез, нагноение, АФВ с ревизиями раны, опять пластина и снова нестабильность. Была удалена пластина и выполнен БИОС штифтом ChM (ДЕОСТ). Через 2 нед. пациент сел за руль и вышел на работу. Причем так и работает до сих пор уже 1,5 года, хотя полного сращения мы вроде бы не достигли ( снимки пришлю позже) - пациент не приходил на осмотры, общался только по телефону.
Второй пациент перенес два неудачных накостных остеосинтеза на фоне пареза лучевого нерва. Была удалена пластина и выполнен БИОС штифтом ChM (ДЕОСТ) - это была наша первая операция БИОС.

Так, что если у вашего пациента нет воспалительных процессов, можете использовать наш скромный опыт.
С уважением Нагога Александр и коллектив врачей клиники ОРТО (Самара)
|
| Послать ответ |
Обратите внимание: Поля с жирными названиями обязательны.
Старайтесь отвечать в рамках обсуждаемой темы, а не начинать новые обсуждения.
Указывайте адекватную тему сообщения, чтобы было ясно, о чем оно.
Не послайте сообщений не по теме (оффтопик), раздраженных, грубых или обидных комментариев. Здесь это неуместно.
|