вверх
отправить
поиск
админ
главная
|
Ангиосаркома таза, тазобедренного сустава |
 |
 |
 |
Отправлено Коваленко А.Н. 28 Апрель 2006, 02:15
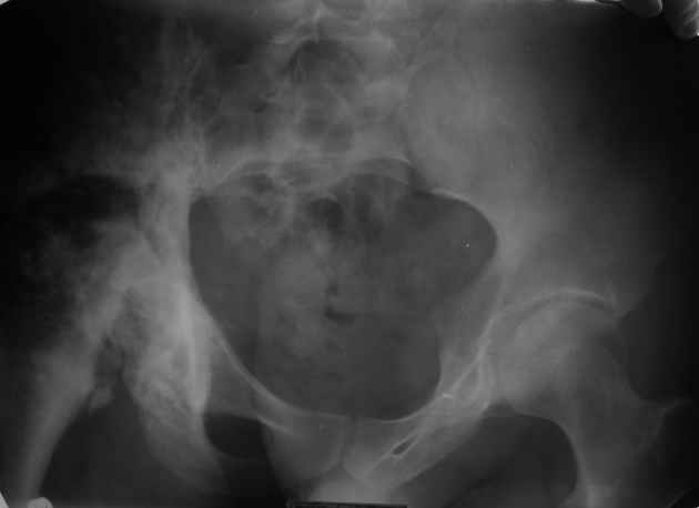
Уважаемые коллеги! Парень 28 лет, болен ангиосаркомой в течении 12 лет.
 Лечился радио-, химиотерапией. На сегодня конечность неопорная, болевой синдром. Жизнь проходит в постельном режиме, лечение направлено на её продление. В головных и региональных клиниках России расценивают ситуацию, как достойную лишь консервативного паллиатива. Возможно ли в такой ситуации лечение, кроме радио- и химиотерапии, хотя бы улучшающее качество жизни? Чем могут помочь зарубежные клиники? Dear colleagues! The guy of 28 years, is sick with angiosarcoma of pelvis during 12 years. He was treated with radio-, chemotherapy. For today there are limb not basic, a painful syndrome. Life passes in a bed, treatment is directed on its prolongation. In head and regional clinics of Russia regard a situation, as worthy only for conservative palliative treatment. Is it possible treatment, except for radio and the chemotherapy, improving quality of life in such situation? Can foreign hospitals offer the help?
<
|
>
|
|
Ответить
|
Re: Ангиосаркома таза, тазобедренного сустава
Alexander Chelnokov 29 Апрель 2006, 01:42
|
КАН> региональных клиниках России расценивают ситуацию, как достойную лишь
КАН> консервативного паллиатива.
Ваше отношение к такой оценке? А то подспудно ощущается какое-то несогласие. На что Вы намекаете?
КАН> Возможно ли в такой ситуации лечение, кроме радио- и
КАН> химиотерапии, хотя бы улучшающее качество жизни?
Ну например, о чем может идти речь?
КАН> Чем могут помочь зарубежные клиники?
Если думать о каком-то эндопротезировании, то нет сведений насчет общего состояния пациента. Кроме того, планируя что-то дальше, надо учитывать, какова распространенность опулевого процесса, какая ожидается ожидается продолжительность жизни. Даже намека на эти данные в вопросе нет.
|
[
Ответить ]
|
Re: Ангиосаркома таза, тазобедренного сустава
Отправитель: Anton Kovalenko 29 Апрель 2006, 15:23
|
>Ваше отношение к такой оценке? А то подспудно ощущается какое-то >несогласие. На что Вы намекаете?
Более чем согласен, но я не занимаюсь онкопатологией ОДА. Поэтому опираться на свое видение ситуации я не могу, поскольку в проблеме не компетен.
>КАН> химиотерапии, хотя бы улучшающее качество жизни?
>
>Ну например, о чем может идти речь?
В этом и состоит вопрос.
Например, может ли рассматриваться вариант о эмболизации питающей артерии с целью редукции опухоли и т.п. Хотелось бы услышать мнение специалистов, занимающихся подобными проблемами. Вообще, возьмется ли кто лечить такого больного методами кроме указанных, с надеждой на улучшение качества жизни? Наверное, это и есть главный вопрос.
В данной ситуации я лишь выполняю роль посредника, т.е. связного.
>Если думать о каком-то эндопротезировании, то нет сведений насчет
>общего состояния пациента.
Общее состояние удовлетворительное. Режим постельный. В сознание, контактен. Беспокоят боли в правой половине таза, неопорность правой конечности.
> Кроме того, планируя что-то дальше, надо
>учитывать, какова распространенность опулевого процесса,
Если имеется ввиду наличие-отсутствие метастазов, лабораторные данные, то я уточню.
>ожидается продолжительность жизни.
Ожидается больным(т.е. хочет ли он пойти на риск, чтобы прожить меньше, но качественней) или специалистами(сколько ему осталось при том или ином раскладе)?
Александр Николаевич буду очень признателен если Вы поможете привлечь к пробелеме иностранных специалистов или подскажете как это сделать. Необходимые дополнительные данные постараюсь предоставить в полном объеме.
Спасибо.
|
[
Ответить ]
|
|
( Ответить )
|
|