Ответить
|
Re: [1/3] Перелом проксимального бедра
Алексей Семенистый 29 Апрель 2006, 15:13
|
Репозиция закрытая или минимально инвазивная насколько это возможно, с джойстиками поллерами и т.п. Остеосинтез PFN, PFNa, TFN, AFN, LFN,TGN... Полную нагрузку осрочить минимум на 2-3 месяца, далее смотреть по клинике и рентгенограммам...
При открытой репозиции вероятность анатомичной репозиции не велика, а вероятность получить аваскуляную кость - очень даже.
Перелом зуба С2 можно лечит консервативно, но если есть силы и средства, то лучше синтезировать двумя винтами.
|
[
Ответить ]
|
Re: [1/3] Перелом проксимального бедра
Отправитель: Alexander Chelnokov 29 Апрель 2006, 15:17
|
> 1-ый случай: Репозиция закрытая или минимально инвазивная насколько
> это возможно, с джойстиками поллерами и т.п.
Доводилось подобное оперировать в дистракторе - закрыто замечательно получается. Единственное, что тут из поллеров полезно - на всякий случай спицей по заднему контуру шейки "изобразить" заднюю стенку кости, чтобы гвоздь с кондуктором не вывалился кзади.
> Остеосинтез PFN, PFNa, TFN, AFN, LFN,TGN...
LFN - это что? Мы бы гаммой сделали.
> Полную нагрузку осрочить минимум на 2-3 месяца,
> далее смотреть по клинике и рентгенограммам...
Зачем? Если фиксатор расположили правильно - нагрузку можно as tolerated
> При открытой репозиции вероятность анатомичной репозиции не велика, а
> вероятность получить аваскуляную кость - очень даже.
Да просто это лишняя нагрузка на пациента и персонал - если необходимый результат достигается без открытой репозиции, то ни к чему она.
|
[
Ответить ]
|
Re: [1/3] Перелом проксимального бедра
Отправитель: Алексей Семенистый 29 Апрель 2006, 15:19
|
>> LFN - это что? Мы бы гаммой сделали.
LFN - одна из версий бедренного гвоздя "Synthes", с очень латерализованной точкой входа (отсюда и название) и возможностью проведения блокирующих винтоа в шейку... Естественно в РФ этого нет.
|
[
Ответить ]
|
Re: [1/3] Перелом проксимального бедра
Отправитель: Alexander Chelnokov 29 Апрель 2006, 15:21
|
> LFN - одна из версий бедренного гвоздя "Synthes", с очень
> латерализованной точкой входа (отсюда и название) и возможностью
> проведения блокирующих винтоа в шейку... Естественно в РФ этого нет.
:-/ Вроде Antegrade FN такое назвалось? Латерализованный проксимальный конец, два реконструкционных винта в шейку, одно поперечное отверстие ниже. Чего-то путают они народ...
|
[
Ответить ]
|
Re: [1/3] Перелом проксимального бедра
Отправитель: Алексей Семенистый 29 Апрель 2006, 15:25
|
У Lateral FN точка входа еще больше смещена кнаружи. Ой дурят они нашего брата :).
|
[
Ответить ]
|
|
Re: [1/3] Перелом проксимального бедра
Молиборскийй В. 30 Апрель 2006, 06:09
|
Gamma стержень даже короткий а нагрузку через полтора месяца постепенно
|
[
Ответить ]
|
Re: [1/3] Перелом проксимального бедра
Отправитель: Alexander Chelnokov 30 Апрель 2006, 11:32
|
А почему именно через полтора, и постепенно?
Почему не сразу полную?
|
[
Ответить ]
|
Re: [1/3] Перелом проксимального бедра
Отправитель: Молиборский В 30 Апрель 2006, 17:53
|
Перелом A3(AO classification of the femur proximal segment) нестабильный поэтому даже при очень хорошем остеосинтэзе нельзя давать нагрузку миним полтора месяца
|
[
Ответить ]
|
Re: [1/3] Перелом проксимального бедра
Отправитель: Alexander Chelnokov 30 Апрель 2006, 19:08
|
Да чего уж так догматично - ситуация сильно зависит не только и не столько от характера повреждения, но даже в большей мере от того, чем и насколько удачно выполнен остеосинтез. Если гамма или подобный гвоздь правильно установлен, то даже у стариков с отеопорозом сразу можно не ограничивать нагрузку.
|
[
Ответить ]
|
Re: [1/3] Перелом проксимального бедра
Отправитель: Молиборский В 30 Апрель 2006, 19:44
|
Я просто думаю о телескопировани. мы не знаем ниего о весе пациента
|
[
Ответить ]
|
Re: [1/3] Перелом проксимального бедра
Отправитель: Alexander Chelnokov 30 Апрель 2006, 20:11
|
А и не надо телескопирования тут вовсе. Если делать именно гамму, то надо убедиться, что отломки стоят без переудлинения, то есть после введения шеечного винта чуть сблизить фрагменты по оси шейки до контакта. И запереть set screw намертво, без возможности телескопирования.
С другими фиксаторами, наверно, Вы правы, может быть нежелательное наползание отломков друг на друга, если упора не получится при телескопировании.
|
[
Ответить ]
|
Re: [1/3] Перелом проксимального бедра
Отправитель: Алексей Семенистый 01 Май 2006, 01:24
|
>>Если гамма или подобный гвоздь правильно установлен...
Именно, если правильно, т.е идеально! В практике обычно имеем удовлетворительное, т.е.более или менее приближенное к идеальному, а не идеальное.
С уважением А.Семенистый.
|
[
Ответить ]
|
|
Re: [1/3] Перелом проксимального бедра
Djoldas Kuldjanov 01 Май 2006, 17:56
|

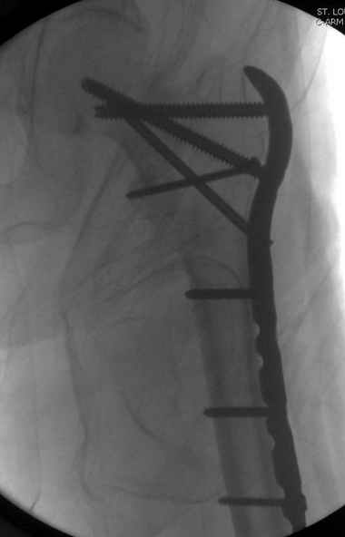
Применили проксимальную Synthes Locking plate, из-за множественных фрагментов посчитали более приемлемым в этом случае (клиника университетская, резиденты должны имет возможность созерцать разные варианты остеосинтеза).
Также старался минимизировать доступ на уровне перелома с субвастус доступом, диафиз фиксирован перкутанно, не стали гонятся за малым вертелом, как смог зафиксировал.
Djoldas Kuldjanov, MD
Department of Orthopedic Surgery
St. Louis University Medical Center
|
[
Ответить ]
|
Re: [1/3] Перелом проксимального бедра
Отправитель: Юрий Алексеевич Булахтин 01 Май 2006, 23:03
|
Как в этом конкретном случае, будет дозироваться нагрузка на ногу в послеоперационном периоде?
Ю.А. Булахтин
|
[
Ответить ]
|
Re: [1/3] Перелом проксимального бедра
Отправитель: Алексей Семенистый 02 Май 2006, 02:38
|
>>Применили проксимальную Synthes Locking plate...., (..резиденты должны имет возможность созерцать разные варианты остеосинтеза)
Резиденты для больных, или больные для резидентов?
Все-таки выглядит слишком статично.
В другом примере (с огнестрельным переломом) тактика с мостовидной пластиной действительно рациональна.
|
[
Ответить ]
|
|
Re: [1/3] Перелом проксимального бедра
Djoldas Kuldjanov, M.D. 02 Май 2006, 20:13
|
"Все-таки выглядит слишком статично.
В другом примере (с огнестрельным переломом) тактика с мостовидной пластиной действительно рациональна"
Спасибо.
Перелом из четырех фрагментов, не стабильный (лекция Michael R. Baumgaertner, http://www.hwbf.org/ota/bfc/baumg/exp.htm), нужна стабильная фиксация.
Фиксация таких нестабильных чрезвертельных и reverse obliquity субтрохантерик переломов всегда была сложной задачей и ранее использовали Blade Plate. Но многие локальные общие ортопеды, к которым, в основном поступают такие больные, имели трудности с применением импланта, где необходимо было точная калькуляция по введению Blade и поэтому Synthes разработал Proximal Locking plate как альтернативу, где три проксимальные шурупа в разных направлениях создают концепцию угловой стабильности Blade Plate.
Со второго дня движения в суставе, контрольный осмотр через две недели и в зависимости от рентгенологического сращения, дозированную нагрузку с постепенным увеличением начнем через 5-6 недель.
|
[
Ответить ]
|
( Ответить )
|
|