вверх
отправить
поиск
админ
главная
|
Перелом шейки бедра на фоне несовершенного остеогенеза |
 |
 |
 |
Отправлено Заднепровский Никита 29 Апрель 2006, 07:14
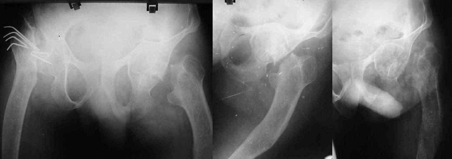
Здравствуйте, уважаемые коллеги.Ко мне за помощью обратилась врач, коллега по цеху. Ее сын, 30 лет, в декабре 2005 года находился у нас на лечении с DS: Медиальный варусный перелом шейки левого бедра. Ложный сустав шейки правого бедра на фоне несовершенного остеогенеза. Перелом Ме-фиксаторов правого бедра. Больной был консультирован специалистами Краевого центра, где были даны рекомендации выполнить остеосинтез шейки левого бедра и восстановить опороспособность правого тазобедреного сустава - вторым этапом. На тот момент, пациент от операции отказался и проводилось скелетное вытяжение за мыщелки бедра на отводящей шине. Через полтора месяца больной отказался от дальнейшего пребывания в стационаре и был выписан домой в кокситной повязке. В апреле сего года была повторная консультация у краевых специалистов, где было предложено лечение в г.Самаре (с решением вопроса о возможном эндопротезировании тазобедренного сустава). По даному ей телефону мать не смогла связаться со специалистами. Прошу откликнуться (Куропаткин Геннадий Вячеславович и Седова Ольга Николаевна, г.Самара) с просьбой о помощи в данной ситуации. От себя: коллеги, что можно предпринять в ситуации на текущий момент? В условиях нашей больницы мы не выполняем эндопротезирования. Максимум, могли бы предложить канюлированные винты и систему DHS, но учитывая костную патологию, даже это выполнить представляется рискованным.
<
|
>
|
|
Ответить
|
Re: Перелом шейки бедра на фоне несовершенного ост
Александр Рыков 29 Апрель 2006, 23:57
|
Никита привет. Ждать сращения бессмысленно. как и рассчитывать на результат любого синтеза. Два протеза за раз оптимально для пациента - но трудности с ривыми бедрами будут. Тактически больной - для областного центра эндопротезирования. Даже эндопротезирование - временная мера до следующей
поломки. Это поясните коллеге по цеху.
С ув. А Рыков . Хабаровка.
|
[
Ответить ]
|
Re: Перелом шейки бедра на фоне несовершенного ост
Отправитель: Alexander Chelnokov 29 Апрель 2006, 23:58
|
РАГ> Даже эндопротезирование - временная мера до следующей поломки.
Вообще, как решается проблема энжопротезирования в подобных условиях - деформации сегмента, склонность к переломам? Если околопротезный перелом потом случится, это ж целая история, что делать дальше.
Может, есть смысл сразу ставить ножки во всю длину бедра? Мы как-то по другому поводу заказывали такую в ЭСИ, вроде вполне доступно.
|
[
Ответить ]
|
Re: Перелом шейки бедра на фоне несовершенного ост
Отправитель: Александр Рыков 30 Апрель 2006, 19:00
|
Привет. Александр Николаевич. Возможно и имеет смысл сразу же ставить длинные "ноги" и "армировать" кривые бедренные кости. Сложности именно в кривости, возможно и индивидуальное протезирование с модульными ножками.
Вопроса всегда два: где делать, и цена изделий и работы. Спрогнозировать судьбу данного пациента (его костной системы) невозможно. Где он сломается
завтра неизвестно. Для нас он вечный ортопедический кладезь для работы.
Александр Лернер "выложил" только статьи участников в Хайфе - а остальное...
если можно!. Всех с праздником 1 и 9 мая. Коллег из Хайфы с выходом Маккаби в финал баскетбольный. А Рыков.\ Хабаровск
|
[
Ответить ]
|
Re: Перелом шейки бедра на фоне несовершенного ост
Отправитель: Alexander Chelnokov 30 Апрель 2006, 19:01
|
> Вопроса всегда два: где делать, и цена изделий и работы.
Я в прошлом сообщении как раз и писал про такого рода заказ в ЭСИ. точные цифры не помню, но что-то в разумных пределах. Может, коллеги из ЭСИ нас читают и сами прокомментируют?
> Спрогнозировать судьбу данного пациента (его костной системы)
> невозможно. Где он сломается завтра неизвестно.
Видимо, там и сломается, где арматуры нет.
> Александр Лернер "выложил" только статьи участников в Хайфе - а остальное...
Нашел бумажный сбрник у себя, но добавится только обложка, номеров страниц там чего-то нет.
|
[
Ответить ]
|
Re: Перелом шейки бедра на фоне несовершенного ост
Отправитель: Никита Заднепровский 30 Апрель 2006, 19:03
|
Можно узнать что такое ЭСИ? О чем идет речь? Есть ли линки на сайт ЭСИ?
|
[
Ответить ]
|
Re: Перелом шейки бедра на фоне несовершенного ост
Отправитель: Alexander Chelnokov 30 Апрель 2006, 19:03
|
НЗ> Можно узнать что такое ЭСИ? О чем идет речь?
Это московская фирма "Эндосистемы и имплантаты"
НЗ> Есть ли линки на сайт ЭСИ?
А вот тут я пас, нету у меня их сайта и емыла. Но, по-моему, несколько человек оттуда читают эту рассылку или форум.
|
[
Ответить ]
|
Re: Перелом шейки бедра на фоне несовершенного ост
Отправитель: Anton Kovalenko 04 Май 2006, 07:59
|
endosys@aha.ru
|
[
Ответить ]
|
Re: Перелом шейки бедра на фоне несовершенного ост
Отправитель: Шевырев К.В. 07 Май 2006, 12:04
|
ООО "Эндосевис"(ЭСИ) 123007 г. Москва ул.5-я Магистральная 5 стр. 1 т/факс (495) 941-01-26, 980-78-38 e-mail: endosys@aha.ru
ген.директор Шатерников Борис Николаевич
С уважением, Шевырев К.В., МОНИКИ
|
[
Ответить ]
|
Re: Перелом шейки бедра на фоне несовершенного ост
Отправитель: Никита Заднепровский 30 Апрель 2006, 00:00
|
дравствуйте, уважаемый Александр Геннадьевич.
Спасибо за ответ! Мне очень важно мнение участников форума. Мать "ослеплена" горем, всякие доводы на целесообразность оперативного лечения (в данном случае - эндопротезирования обоих суставов) разбиваются об стену резкого неприятия столь "слишком агрессивного подхода" (с ее слов). В анамнезе неоднократные переломы, как с оперативным лечением так и со спонтанной консолидацией. Понятное дело - жалеет... Парень молодой, работает, женат. Шесть лет назад был оперирован по поводу перелома шейки бедра, только с другой стороны. Результат такого лечения виден на снимках. Это нам с вами понятно, что результат, скажем мягко, неудовлетворительный.
- Но ведь он же ходил! Пусть с тростью, но передвигался! - так рассуждает она.
Теперь суть разговора сводится в просьбе, сделать
аналогичную операцию, но сдругой стороны ... Какие доводы ей еще нужны? :-(((
РАГ> Никита привет. Ждать сращения бессмысленно. как и
РАГ> рассчитывать на результат
РАГ> любого синтеза.
Применяя DHS и блокируя винт с целью ликвидации эффекта телескопирования, разве нельзя дать половинную нагрузку сразу, не дожидаясь консолидации? Конструкция в таком виде вроде бы выглядит довольно стабильно ...
РАГ> Тактически больной - для областного центра
РАГ> эндопротезирования.
Абсолютно с Вами солидарен ... Случай нетривиальный ...
|
[
Ответить ]
|
Re: Перелом шейки бедра на фоне несовершенного ост
Отправитель: Алексей Семенистый 01 Май 2006, 02:00
|
А побробуйте активизировать пациента, естественно без кокситной повязки. Ведь правая нога несмоторя на ложный сустав опорная. Я видел пациентов с двумя ложными суставами шеек бедренных костей - ходят (ковыляют, конечно), от эндопртезирования отказываются (возможно по материальным соображениям)
|
[
Ответить ]
|
|
Re: Перелом шейки бедра на фоне несовершенного остеогенеза
А.В.Владзимирский 03 Май 2006, 11:44
|
Очень похожий пациент у нас был несколько лет назад. Только ему было чуть более 50 лет, поэтому деформаций и "остатков железа" было больше. Он прошел в своей жизни все - и АВФ, и пластины, и стержни. Эндопротезирование он не смог материально. В итоге использовали ортезы, специально для него изготовленные (после очередного перелома шейки). Достаточно быстро он смог ходить на костылях, а потом с тростью.
|
[
Ответить ]
|
Re: Перелом шейки бедра на фоне несовершенного остеогенеза
Djoldas Kuldjanov, M.D. 04 Май 2006, 21:19
|
Ложный сустав слева всего то несколько месяцев, можеть больной согласится на вальгусную остеотомию.
Остеонекроз шейки и несовершенный остеогенез не являются противопоказанием к операции. Длинный снимок левой конечности с захватом суставов поможет расчет остеотомии.
|
[
Ответить ]
|
Re: Перелом шейки бедра на фоне несовершенного ост
Отправитель: Никита Заднепровский 05 Май 2006, 09:36
|
Здравствуйте, Джолдас.
DKMD> Ложный сустав слева всего то несколько месяцев, можеть больной
DKMD> согласится на вальгусную остеотомию.
Имеется ввиду костно-пластическая операция? Допустим,
медиализирующе-вальгизирующая остеотомия с формированием
костного замка по Конфорти-Иванову плюс фиксация пластиной и
винтами по АО или операция Luck с костно-пластической
реконструкцией проксимального сегмента плюс фиксация,
например, двухугловой пластиной ... Что Вы подразумеваете?
При повторных консультациях было высказано мнение, что
эндопротезирование правого тазо-бедренного сустава
нецелесообразно, ввиду выраженной гипотрофии мышц конечности ...
Что можно сказать насчет этого "приговора"?
PS: Уважаемый Джолдас, заранее спасибо за ответы и
отдельное спасибо за Ваши клинические случаи. В частности в
теме про перелом в проксимальном отделе бедра на фоне
остеопетроза. Всегда с большим интересом изучаю Ваши
наблюдения.
--
С уважением, Заднепровский Никита Николаевич
|
[
Ответить ]
|
|
( Ответить )
|
|