AOTRAUMA.ORG Центр Илизарова  

Ортопедия и травматология Общие вопросы/General questions Help Информационные технологии в медицине
 вверх
 отправить
 поиск
 админ
 главная


Проксимальный и дистальный переломы tibia
Ортопедия и травматология Отправлено Alexander Chelnokov 16 Май 2006, 20:09
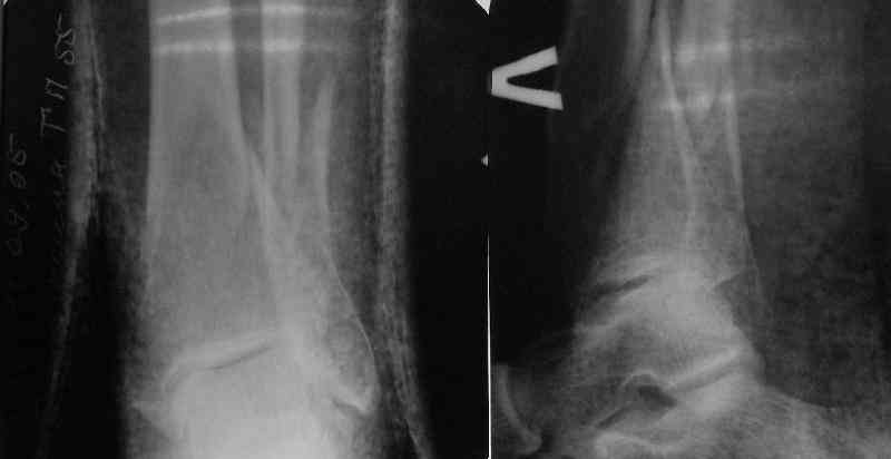
Направили к нам пациентку 35 лет с переломом дистального отдела костей голени.
У нас сделали снимок сзахватом обоих суставов - еще и проксимальный метафиз сломан. Чем бы у вас фиксировали такой перелом? Как его правильно закодировать по классификации АО?

<  |  >

 

  • Сообщения о Ортопедия и травматология
  • Также Alexander Chelnokov
  • Связаться с автором
  • Ответить

    Re: Проксимальный и дистальный переломы tibia
    ерохин алексанр 17 Май 2006, 00:48
    Наверно, лучше всего по Илизарову.Что-то похожее я соперировал лет7-8 назад.Как кодировать по АО не знаю. А вообще зачем нужна кодировка по АО?
    [ Ответить ]

    • Re: Проксимальный и дистальный переломы tibia
      Отправитель: Alexander Chelnokov 18 Май 2006, 00:16
      еа> Наверно, лучше всего по Илизарову.Что-то похожее я соперировал
      еа> лет7-8 назад.

      Да в те годы и мы бы особо не задумывались, так бы и сделали. А сейчас выриантов выбора стало побольше - думать приходится... А уже отвыкли ;-)

      еа> Как кодировать по АО не знаю.

      Можно либо как два перелома - 41A+42B. А можно как один сегментарный 42С.

      еа> А вообще зачем нужна кодировка по АО?

      Зачем группировать пациентов? Да потом чтобы удобнее анализировать было. Выбирать однотипные повреждения в компьютерной базе. Ну и поскольку эта классификация уже лет 15 как стала фактическим
      международным стандартом обмена информацией, то и материал представляешь в публикациях в соответствии с этой классификацией.


      [ Ответить ]
    Re: Проксимальный и дистальный переломы tibia
    Terry I. Finlayson 17 Май 2006, 22:56
    I don't know about the coding, but this looks like an ideal case for Ilizarov fixator.

    --
    Terry I. Finlayson, MD
    Alpine Orthopaedic Specialists
    2310 North 400 East
    Suite A
    North Logan, UT 84341
    [ Ответить ]

    Re: Проксимальный и дистальный переломы tibia
    William T. Obremskey 17 Май 2006, 22:57
    How about a proximal lateral locking plate, fibula plate, and medial distal tibia plate as one would treat either as an isolated injury..


    WTO

    William T Obremskey MD MPH
    Vanderbilt Orthopedic Trauma
    Director of Orthopedic Trauma Research and Education
    Medical Center East - South Tower
    Suite 4200
    Nashville, TN 37232-8774
    [ Ответить ]

    Re: Проксимальный и дистальный переломы tibia
    Flavio Restrepo 17 Май 2006, 22:59
    Alexander:
    Today you have a complex fracture for classification.
    Probably you need take a combination of two diferents fractures in the same bone.
    41.A2.1 for a proximal fracture
    42.B1.3 for a distal fracture
    Is very difficult take an exactly AO/OTA group for a good classification Probably the locked IM nail is a good option.
    The closed reduction with cast-bracing is a good possibility too.

    Flavio
    [ Ответить ]

    • Re: Проксимальный и дистальный переломы tibia
      Отправитель: Alexander Chelnokov 18 Май 2006, 21:14
      fmc> Probably you need take a combination of two diferents fractures in the
      fmc> same bone.


      Probably it is reasonable, but what is against its coding as C type segmental fracture?

      fmc> Probably the locked IM nail is a good option.

      It is my preference also.

      fmc> The closed reduction with cast-bracing is a good possibility too.

      Yes, final result is likely to be acceptable but the approach is featured with more long period of disability and rehabilitation.

      [ Ответить ]
    Re: Проксимальный и дистальный переломы tibia
    Dr Ramesh P Singh 18 Май 2006, 00:04
    In my opinion static intra-medullary nail with poller screw both proximally and distally. We had good results with sign nail.
    Thanks

    Dr Ramesh P Singh
    Nepal Medical College & Teaching Hospital
    Kathmandu
    Nepal
    [ Ответить ]

    Re: Проксимальный и дистальный переломы tibia
    Зубач Остап 18 Май 2006, 02:41
    Мы бы фиксировали такой перелом аппаратом Илизарова.
    С ув. Зубач О.Б.
    БСМП, г.Львов
    [ Ответить ]

    Re: Проксимальный и дистальный переломы tibia
    Myles Clough 18 Май 2006, 15:32
    From the Xrays it seems as though the proximal fracture is relatively undisplaced. I thought that Poller screws were mostly used to prevent displacement of the fracture while the nail was being inserted. In this case I would think that you could hold the reduction temporarily either with a clamp, crossed K wires or a lag screw. Then insert the nail and place a proximal blocking screw only if you need to. Will the proximal locking screws fix the proximal fragment? Are you going to fix the fibula?

    Myles Clough mylesclough@shaw.ca
    Consultant Orthopaedic Surgeon (Retired), Kamloops, BC, Canada
    Clinical Instructor, University of British Columbia
    Editor, OWL (Orthopaedic Web Links) http://www.orthopaedicweblinks.com
    Orthogate Workshop Pages http://www.orthogate.com/clough/index.htm
    [ Ответить ]

    • Re: Проксимальный и дистальный переломы tibia
      Отправитель: Alexander Chelnokov 18 Май 2006, 21:00
      MC> From the Xrays it seems as though the proximal fracture is relatively
      MC> undisplaced.

      Yes.

      MC> I thought that Poller screws were mostly used to prevent
      MC> displacement of the fracture while the nail was being inserted.

      The Poller screw here can easily lead to displacement because nail acts as a changing lever during insertion, and its angle to the shaft at initial and final postions are different. So the proximal fragment can be pushed backwards initially, then returned back - but likely with some residual displacement. So most reasonable are measures you mentioned:

      MC> In this case I would think that you could hold the reduction
      MC> temporarily either with a clamp, crossed K wires or a lag screw.

      Or by a small plate with monocrtical screws. My preference is a small wire distractor.

      MC> Then insert the nail and place a proximal blocking screw only if
      MC> you need to.

      If locking screws are inserted usually it is unnecessary.

      MC> Will the proximal locking screws fix the proximal fragment?

      Depends on nail design. I am going to make an additional hole in the proximal nail end.

      MC> Are you going to fix the fibula?

      No. Why?

      [ Ответить ]
      • Re: Проксимальный и дистальный переломы tibia
        Отправитель: Myles Clough 19 Май 2006, 16:58
        The subject of valgus malalignment of the distal fragment in distal tibial fractures is one which I was asked to look into for the SIGN bibliography. There are a number of studies suggesting that malalignment is less common if the fibula is fixed. The following is taken from the SIGN bibliography section on PubMed searches on the subject.

        a.. Search String - "Tibial Fractures"[MeSH]AND "Fracture Fixation, Internal"[MeSH] AND "Fibula"[MeSH]
        a.. Kumar A, Charlebois SJ, Cain EL, Smith RA, Daniels AU, Crates JM. Effect of fibular plate fixation on rotational stability of simulated distal tibial fractures treated with intramedullary nailing. J Bone Joint Surg Am. 2003 Apr;85-A(4):604-8.Full Text Related Articles, Commentary by James Kellam
        b.. Steinberg E. Effect of fibular plate fixation on rotational stability of simulated distal tibial fractures treated with intramedullary nailing. J Bone Joint Surg Am. 2004 Jan;86-A(1):185; author reply 185-6. No abstract available. Related
        Articles, c..

        Weber TG, Harrington RM, Henley MB, Tencer AF. The role of fibular fixation in combined fractures
        of the tibia and fibula: a biomechanical investigation.
        J Orthop Trauma. 1997 Apr;11(3):206-11. Related Articles, a.. Search String effect fixation fracture fibula
        a.. Whorton AM, Henley MB.The role of fixation of the fibula in open fractures of the tibial shaft with fractures of the ipsilateral fibula: indications and outcomes.
        Orthopedics. 1998 Oct;21(10):1101-5. Related Articles,
        b.. Morrison KM, Ebraheim NA, Southworth SR, Sabin JJ, Jackson WT. Plating of the fibula. Its
        potential value as an adjunct to external fixation of the tibia.
        Clin Orthop Relat Res. 1991 May;(266):209-13.

        [ Ответить ]
        • Re: Проксимальный и дистальный переломы tibia
          Отправитель: Alexander Chelnokov 21 Май 2006, 22:27
          Fixation of the fibula can help to prevent valgus it other options are not used. If alignment is reached by distractor and maintained by locking screws it is not necessary to touch the fibula unless its displacement affects the ankle joint involving the lateral border of the mortise.
          Maybe the problem is of special interest for SIGN nail users because both distal holes of the nail are oval not round so may cause lack of stability in frontal plane in very low fractures. As a solution one may insert two locking screws into one hole.

          [ Ответить ]
        • Re: Проксимальный и дистальный переломы tibia
          Отправитель: Christian Veillette 21 Май 2006, 22:28
          Here are two more recent articles about fibular fixation in distal tibia
          fractures.

          *1: * Egol KA, Weisz R, Hiebert R, Tejwani NC, Koval KJ, Sanders
          RW.
          Related
          Articles,
          Links [image:
          Abstract]
          Does
          fibular plating improve alignment after intramedullary nailing of distal
          metaphyseal tibia fractures?
          J Orthop Trauma. 2006 Feb;20(2):94-103.
          PMID: 16462561 [PubMed - in process]
          *2: * Egol KA, Amirtharajah M, Tejwani NC, Capla EL, Koval
          KJ.
          Related
          Articles,
          Links [image:
          Abstract]
          Ankle
          stress test for predicting the need for surgical fixation of isolated
          fibular fractures.
          J Bone Joint Surg Am. 2004 Nov;86-A(11):2393-8. Erratum in: J Bone Joint
          Surg Am. 2005 Apr;87(4):857. J Bone Joint Surg Am. 2005 Jan;87-A(1):161.
          Amirtharage, Mohana [corrected to Amirtharajah, Mohana].
          PMID: 15523008 [PubMed - indexed for MEDLINE]

          Regards

          Christian

          [ Ответить ]
          • Re: Проксимальный и дистальный переломы tibia
            Отправитель: Alexander Chelnokov 21 Май 2006, 23:15
            I assume the articles analyze mostly traditional nailing techniques, don't they?
            There are some more tricks which allow not to plate the fibula and provide good alignment and stability. A small wire distractor can provide alignment and restore length of both tibia and
            fibula. Angular stability of the tibia is provided by insertion of more than two conventional medial-lateral locking screws. To maintain the position of the fibula perQ insertion of a single position screw often could be enough. I bet the articles didn't analyze the options.




            A typical case is attached, also an image with intra-op reduction obtained by a small wire distractor, in the moment of insertion a Poller wire in AP direction. Fixation by a SIGN nail. Despite the fibula was not fixed healing was obtained with the unchanged alignment.

            [ Ответить ]
            • Re: Проксимальный и дистальный переломы tibia
              Отправитель: T. Derek V. Cooke 21 Май 2006, 23:18
              Alex:
              Very interesting application, but is the final position in a little distal varus with some fibula
              distraction? Would that have been eliminated by fibula plating?
              Derek

              [ Ответить ]
              • Re: Проксимальный и дистальный переломы tibia
                Отправитель: Alexander Chelnokov 21 Май 2006, 23:21
                TDVC> Very interesting application, but is the final position in a
                TDVC> little distal varus with some fibula distraction?

                At least both the ankle mortise and tibial alignment look acceptable, don't they?

                TDVC> Would that have been eliminated by fibula plating?

                I am just trying to illustrate that prevention of 1)tibial valgus and 2)loss of reduction can be provided without fibular plating. Small changes of conventional nailing techniques allow to maintain reduction of the tibia reliably without adjunctive fibular stabilization.
                In delayed cases acute length restoration performed only in the tibia may leave the fibula shortened thus change the mortise. So it is reasonable to restore length of both bones simultaneously by distractor and fix the fibula not with open reduction and plating but just by a single perQ screw. Example attached.




                [ Ответить ]
                • Re: Проксимальный и дистальный переломы tibia
                  Отправитель: T. Derek V. Cooke 22 Май 2006, 22:10
                  Understand
                  Derek

                  [ Ответить ]
            • Re: Проксимальный и дистальный переломы tibia
              Отправитель: K.R.Rajesh 21 Май 2006, 23:19
              Alex, this is a fracture which can easily be managed in a cast.Why would you want to nail it?

              Rajesh

              Mr.K.R.Rajesh,MS,DNB,FRCS,FRCS(Orth)
              Consultant Upper Limb Surgeon,
              Division of Upper Limb & Joint Replacement Surgery.
              Cosmopolitan Hospital,
              Trivandrum,Kerala,
              India

              [ Ответить ]
              • Re: Проксимальный и дистальный переломы tibia
                Отправитель: Alexander Chelnokov 21 Май 2006, 23:23
                Even in case of full recovery with a cast it occurs much later than after nailing. In a cast such a patient hardly ever would have been walking with weight-bearing to 3-4 weeks. In our unit cast is never used for the tibia fractures in adults.
                Also the particular patient had unstable injury of the pelvis and open fracture of the humerus.


                [ Ответить ]
    • Re: Проксимальный и дистальный переломы tibia
      Отправитель: Dr Ramesh P Singh 18 Май 2006, 21:03
      We have failed in maintaining the reduction of the proximal fragment even with 2 proximal interlocking screws, the poller screw acts as 3 point fixation as the nail with the 2 proximal screws act as a single unit and the proximal fragment is very dynamic so leave the screw till the end.

      Thanks
      RAMESH

      [ Ответить ]
      • Re: Проксимальный и дистальный переломы tibia
        Отправитель: Alexander Chelnokov 18 Май 2006, 21:04
        DRPS> We have failed in maintaining the reduction of the proximal fragment
        DRPS> even with 2 proximal interlocking screws,


        It depends on the distance from the proximal nail end to the screw holes, and how loose are screws in the holes.

        DRPS> the poller screw acts as 3 point fixation as the nail with the
        DRPS> 2 proximal screws act as a single unit and the proximal fragment


        Yes, this "artificial narrowing" of the medullary canal by blocking screws helps to obtain more tight fit of the nail.

        [ Ответить ]
    Re: Проксимальный и дистальный переломы tibia
    Djoldas Kuldjanov 18 Май 2006, 16:09
    Я бы классифицировал отдельно: эпиметафизарный перелом и перелом нижний трети голени.
    На ренгенограмме эпиметафизарный перелом вроде
    внутрисуставной, если это доказать через КТ, тогда
    перелом будеть считаться tibial plateau, лечение будет отличаться от лечения сегментарных переломов.
    За фиксацию внутрисуставных переломов и перелома
    диафиза, внезависимо от метода фиксации, даже одним имплантом, оплату должны рассчитать по шкале как два перелома.
    Если 10-15 лет назад 100% показанием к фиксации таких переломов, без всякого сомнения, был стандартный аппарат Илизарова для голени, с парой перекрестных спиц с упорной площадкой в верхнем кольце.
    Сегодня при наличии современных интрамедуллярных
    штифтов с дополнительной возможностью проксимального блокирования больной через 3-4 недели будет опороспособным.
    Я бы провел малоинвазивную (buttress) медиальную пластину или пару шурупов и спереди интрамедуллярный штифт.


    Djoldas Kuldjanov, MD
    Department of Orthopedic Surgery
    St. Louis University Medical Center
    [ Ответить ]

    Re: Проксимальный и дистальный переломы tibia
    DR CHERIAN KOVOOR 19 Май 2006, 16:42
    I think ideal method would be external fixation- ILIZAROV ring fixation

    DR C CHERIAN KOVOOR
    KOCHI
    INDIA
    [ Ответить ]

    Re: Проксимальный и дистальный переломы tibia
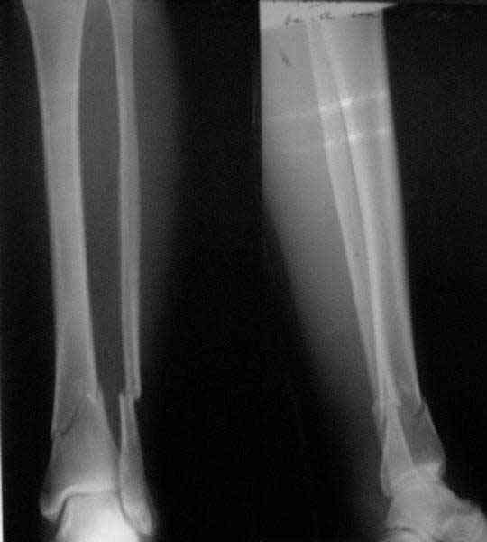
    Alexander Chelnokov 22 Май 2006, 00:35
    Сделали все-таки стержнем. На всякий случай просверлил дополнительное проксимальное отверстие, так что получилось три 45-градусных винта.
    В дистракторе провеи спиц поболше в прокисмальном отделе, чтобы не разобщить фрагменты при сгибании колена. Комментарии и критика приветствуются.

    We proceeded with nailing using a small wire distractor, with few wires at the proximal end to prevent displacement with forced knee flexion. Images attached. Comments and critics are welcome.

    [ Ответить ]

    • Re: Проксимальный и дистальный переломы tibia
      Отправитель: Dr V M Iyer 22 Май 2006, 23:55
      Very well done Alex

      Dr V M Iyer
      Solapur


      [ Ответить ]
    • Re: Проксимальный и дистальный переломы tibia
      Отправитель: Mr Theophilus Asumu 22 Май 2006, 23:56
      Alex,

      It is often a problem nailing upper tibial fractures. There is a tendency to apex anterior angulation as well as valgus alignment. Your entry point on the AP view seems to have been kept the same. How did you manage to maintain alignment? Any intra-operative pictures of your technique?

      The lateral view shows your entry point to be quite posterior and I think this is recommended to avoid anterior angulation. Were you concerned about intra-articular penetration?

      Overall an excellent post-op x-ray. Well done.

      Mr Theophilus Asumu
      Consultant Orthopaedic Surgeon
      Oldham
      United Kingdom


      [ Ответить ]
      • Re: Проксимальный и дистальный переломы tibia
        Отправитель: Alexander Chelnokov 24 Май 2006, 00:15
        MTA> to apex anterior angulation as well as valgus alignment.

        This is specific for the conventional nailing technique.

        MTA> Your entry point on the AP view seems to have been kept the
        MTA> same.


        And it could be even more medial.

        MTA> How did you manage to maintain alignment? Any
        MTA> intra-operative pictures of your technique?


        As i mentioned a small wire distractor was used. In common upper fractures it is enough to insert 2 frontal wires to the proximal fragment - one in the upper posterior aspect of the tibia and the second anteriorly and a bit more distally. The technique allows to avoid such known tricks like more lateral entry point, semi-extended knee, extended approach, using of bone clamps, plating with monocortical screws etc.
        In this particlar case 4 frontal wires were inserted in anterior and posterior aspects at both sides of proximal fracture, and fixed to a single half ring with some bend to provide compression with wire tension. Image attached.

        MTA> The lateral view shows your entry point to be quite posterior and
        MTA> I think this is recommended to avoid anterior angulation. Were
        MTA> you concerned about intra-articular penetration?


        You are absolutely right, and the entry point could be more anterior without the risk of angulation. This a bit posterior placement was caused by the proximal anterior wire. No obvious problem with the knee though.

        [ Ответить ]
    • Re: Проксимальный и дистальный переломы tibia
      Отправитель: Anton Kovalenko 23 Май 2006, 11:50
      AC> Сделали все-таки стержнем.

      Ни на йоту не сомневался, что так и будет. Получилось, поздраляю.

      AC> На всякий случай просверлил дополнительное

      Оригинальное (в данном случае) медико-инженерное решение. Американцы наверное завидуют такому творчеству.))

      AC> В дистракторе провеи спиц поболше в прокисмальном отделе, чтобы не
      AC> разобщить фрагменты при сгибании колена.


      Фикисировался ли проксимальный диафиз ниже линии метафизарного перелома?
      Если да, то можно поподробнее? Использовалась ли дополнительная кольцевая опора, перекрест спиц и т.п...?


      [ Ответить ]
      • Re: Проксимальный и дистальный переломы tibia
        Отправитель: Alexander Chelnokov 24 Май 2006, 00:11
        КАН> Ни на йоту не сомневался, что так и будет. Получилось, поздраляю.

        Были мысли пару месяцев пофиксировать аппаратом, чтобы вверху схватилось, а потом заштифтовать.

        КАН> Оригинальное (в данном случае) медико-инженерное решение. Американцы
        КАН> наверное завидуют такому творчеству.))


        Да ничего такого неосуществимого и для них тут нету - customized implants применяются, по крайне мере даже в учебниках пишут про спиленный кончик гвоздя.

        КАН> Фикисировался ли проксимальный диафиз ниже линии метафизарного перелома?
        КАН> Если да, то можно по подробнее? Использовалась ли дополнительная


        На одной опоре, расположенной чуть дистальнее обычного, были закреплены 4 спицы, проведенные во фронтальной плоскости, по 2 в передней и задней части смежных фрагментов. Закреплены так, чтобы при их натяжении создалась компрессия. Картинка в приложении.



        [ Ответить ]

     

    ( Ответить )

    Powered by Zope  Squishdot Powered MedLink
    Посетитель: 0000179
      "По форме правильно, а по существу - издевательство" В.И.Ленин
    ©2001-2019Orthoforum Coordinator.
    [ Главная | Отправить сообщение | Поиск | Админ ]