Ответить
|
Re: Несросшийся перелом диафиза
Alexander Chelnokov 23 Май 2006, 00:55
|
Мы бы, видимо, ограничились удалением винта и сломанного стержня через маленькие доступы, закрыто сформировали бы канал (есть для это специальные интсрументы), дали бы компрессию внешним "компрессором", или гвоздем скомпрессировали. То есть не стали бы делать адаптирующие резекции и т.п.
Но тут другая проблема еще - нет ли вялотекущей инфекции? Как-то Вы полагаете этим озаботиться в плане дообследования, антибиотикового прикрытия? И полый стальной стержень тут может быть опаснее сплошного титанового.
|
[
Ответить ]
|
Re: Несросшийся перелом диафиза
Отправитель: Anton Kovalenko 24 Май 2006, 09:11
|
AC> через маленькие доступы, закрыто сформировали бы канал (есть для
AC> это специальные интсрументы),
Имеется в виду набор шил-разверток из заготовок плоских стержней Зверева-Ключевского? Как Вы оцениваете шансы сформировать канал закрыто, используя набор инструментов Chm, при отсутствии ЭОПа?
AC> Но тут другая проблема еще - нет ли вялотекущей инфекции?
Из доступных нам методов исследования материальная база больниы предполагает тщательно собранный анамнез, в котором первичное заживление ран после остеосинтеза пластиной и удаления пластины, отсутвие явного воспалительного процесса в период фиксации АВФ. Увы, метод весьма и весьма субъективен.(
AC> Как-то Вы полагаете этим озаботиться в плане дообследования, антибиотикового
AC> прикрытия?
2г тиенама предоперационно
AC> И полый стальной стержень тут может быть опаснее сплошного
AC> титанового.
Даже при наличии огромного ассортимента на рынке металлоконструкций, учитывая риски вариантов фиксации, выбирать можем только из стального сплошного гвоздя 7мм и стального полого 8-9мм.
|
[
Ответить ]
|
Re: Несросшийся перелом диафиза
Отправитель: Алексей Семенистый 24 Май 2006, 09:13
|
> Как Вы оцениваете шансы сформировать канал
> закрыто, используя набор инструментов Chm, при отсутствии ЭОПа?
Не представляю! Шансы близки к нулю..
> тщательно собранный анамнез, в котором первичное заживление ран
> после остеосинтеза пластиной и удаления пластины, отсутвие явного
> воспалительного процесса в период фиксации АВФ. Увы, метод весьма и
> весьма субъективен.(....
> ...2г тиенама предоперационно
Почему тиенам в качестве профилактики? Внутрибольничная флора в вашем учреждении чувствительна только к тиенаму?
> Даже при наличии огромного ассортимента на рынке металлоконструкций,
> учитывая риски вариантов фиксации, выбирать можем только из стального
> сплошного гвоздя 7мм и стального полого 8-9мм.
Чем сомнительнее качество фиксатора, тем выше риск. Больной вправе это знать. дайте ему выбор, и\или тому, кто оплачивает все это мероприятие: главный врач, ТФОМС, ФСС...
С уважением А. Семенистый
|
[
Ответить ]
|
Re: Несросшийся перелом диафиза
Отправитель: Anton Kovalenko 24 Май 2006, 09:14
|
АС> Почему тиенам в качестве профилактики?
Объективно очевиден лишь тот факт, что не смотря на варианты фиксации перелом несрося за 1.5 года, и по снимку речь вряд ли идет о рефрактуре. Отрицать предположение А.Н.Челнокова о дремлющей инфекции при отсутсвии объективных методов исследования более чем не обосновано. Риск септического воспаления выше чем при первичном остеосинтезе, поэтому выбран более надежный препарат профилактики.
АС> Чем сомнительнее качество фиксатора, тем выше риск.
Откуда возникли сомнения в качестве фикс атора? Речь идет о штифтах Chm, просто стальные 7мм неканюлированы, 8 и 9мм - полые, а титановых нет в наличии(в производстве Chm). Вопрос в том - ставить с плотной посадкой и широким рассверливанием 8-9мм или же, учитывая риск инфекции, 7 мм сплошной?
|
[
Ответить ]
|
Re: Несросшийся перелом диафиза
Отправитель: Алексей Семенистый 24 Май 2006, 09:16
|
> Риск септического
> воспаления выше чем при первичном остеосинтезе, поэтому выбран более
> надежный препарат профилактики.
Риск безусловно выше.
Но кто сказал, или где это написано, что тиенам для ПРОФИЛАКТИКИ эффективнее цефалоспоринов 1-2 поколения? Каких бактерий вы боитесь?
Тиенам для профилактики без каких либо специальных показаний (инфекция сейчас или в анамнезе, устойчивая к гентамицину, цефазолину, пенициллину и т.д., и чувствительная к тиенаму) - есть нерациональное применение антибиотиков.
> Речь идет о штифтах
> Chm, просто стальные7мм неканюлированы, 8и9мм-полые, а титановых нет в наличии(в производстве Chm).
Есть у других производителей. Ситуация плановая, торопиться некуда. Семерочка вроде бы тонковата, если перелом так и не срастется, то может 7 мм сломаться. Лучше потолще,... но хочется без канала. Мертвое пространство смущает? Да залейте его цементом,... с гента... Или другого
производителя.
Время подумать и хорошо подготовиться есть!
Удачи! А Семенистый.
|
[
Ответить ]
|
Re: Несросшийся перелом диафиза
Отправитель: Alexander Chelnokov 24 Май 2006, 10:12
|
КАН> Имеется в виду набор шил-разверток из заготовок плоских стержней
Бывает еще шило Кюнчера, или любой подобный инструмент, то есть нечто длинное, с возможностью изогнуть и вводить направленно, используя в том числе молоток.
КАН> Зверева-Ключевского? Как Вы оцениваете шансы сформировать канал
КАН> закрыто, используя набор инструментов Chm, при отсутствии ЭОПа?
А какие инструменты для формирования канала на протяжении есть в этом наборе? Ну и без усилителя рентгеновского изображения это не очень реально, согласен с Алексеем. Разве что наложить аппарат, не перекрывая канал, сопоставить фрагменты, провести длинную спицу по оси, а потом канюлированым сверлом?
КАН> воспалительного процесса в период фиксации АВФ. Увы, метод весьма и
КАН> весьма субъективен.(
Ну это уже хоть что-то. Вполне может, по этим снимкам показалось, что там периостальные наоения какие-то... остеомиелитно-подозрительные.
КАН> 2г тиенама предоперационно
Тоже согласен с Алексеем, для однократного введения можно и цефалоспорин 1 поколения. Я-то клонил к тому, что антибиотики, может, продолжить недели 3-4. По нашим данным, встречаемость инфекции после отсроченного штифтования выше, чем после одномоментного со снятием аппарата.
КАН> Даже при наличии огромного ассортимента на рынке металлоконструкций,
КАН> учитывая риски вариантов фиксации, выбирать можем только из стального
Обратитесь в антимонопольный комитет ;-)
|
[
Ответить ]
|
|
Re: Несросшийся перелом диафиза
Алексей Семенистый 23 Май 2006, 02:21
|
>Стоит ли максимально плотно подгонять концы отломков, удалять избыточную костную мозоль..?
Не стоит (вообще открывать не стоит).
>...достаточно жесткого синтеза с плотной посадкой гвоздя с ликвидацией ренгенологического диастаза?
Достаточно,если штифт будет титановый, солидный 7,5 мм.
|
[
Ответить ]
|
Re: Несросшийся перелом диафиза
Alexandr Nagoga 23 Май 2006, 23:29
|
Здравствуйте уважаемый Юрий Иванович, привет Вам из Самары от нас с Олегом Проценко и до скорой встречи на съезде!
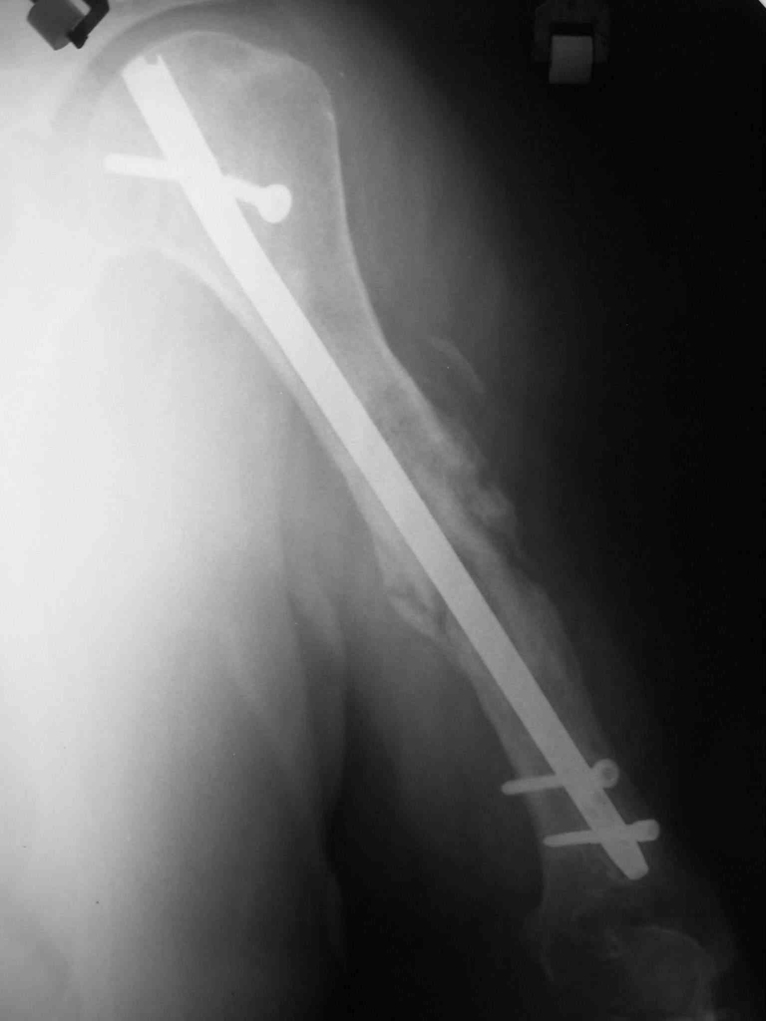
На Вашу ситуационную задачу: у нас был аналогичный случай (у пациента Д. за три года было девять ранее перенесенных операци: штифт Богданова с гипсом-пластина-нагноение- аппараты-лечение гнойных ран и остеомиелита - опять dcp пластина-разрушение и миграция пластины....) -

БИОС делали открыто, с декортикацией, частичным торцеванием и костной аутопластикой. Вариант БИОС - компрессирующий). Насчет компрессирующего варианта БИОС потом пожалели - проксимальный блокируемый винт сломался через год, надо было делать стабильный вариант.
С уважением Нагога Александр
|
[
Ответить ]
|
( Ответить )
|
|