Ответить
|
Re: Тяжелый перелом пяточных костей
Дрягин Виталий 24 Май 2006, 13:34
|

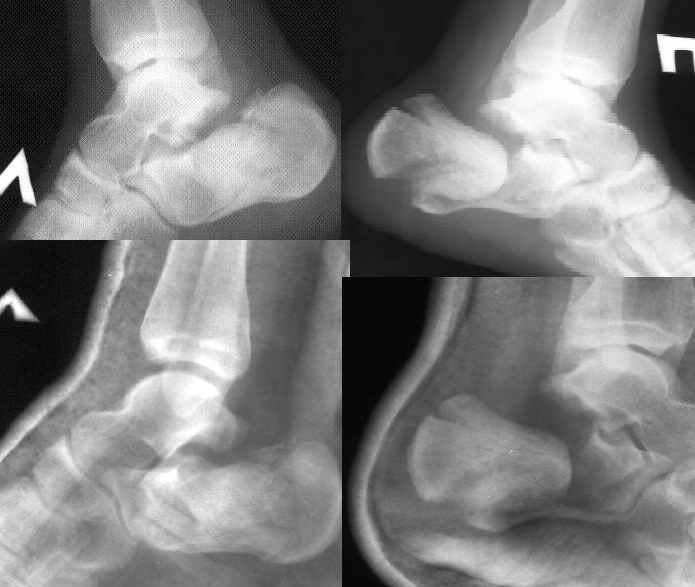
Уважаеемый коллега.Слева ситуация достаточно не сложная.Суставной фрагмент вклинился в тело.Необходимо наружным доступом освободить отломки,поднять суставной фрагмент и фиксировать пяточной пластиной LCP.
|
[
Ответить ]
|
Re: Тяжелый перелом пяточных костей
Отправитель: Рузанов Т.Г. 24 Май 2006, 17:56
|
Спасибо! Но... В данном случае имеет место значительная компрессия тела пяточой кости (с обеих сторон, разумеется). Я мыслю, что необходима костная пластика. И ещё, - напрочь отсутствуют пластины для остеосинтеза пяточных костей. Возможно ли применить обычные реконструктивные пластины, или, на худой конец, спицы?
|
[
Ответить ]
|
Re: Тяжелый перелом пяточных костей
Отправитель: Дрягин Виталий 24 Май 2006, 21:47
|
К сожалению невозможно применить пластину реконструктивную она применяется только когда пяточная кость состоит из двух половин.Пластины есть у всех даже российских производителей стоимостью от 2 тыс.рублей и до 25 тыс.Если ничего не найдёте всё равно открытая репозиция костная пластика обязательно и спицы снизу вверх в таранную кость.Желаю удачи.С уважением Дрягин.Просто думаю будет обидно если получится хорошая репозиция а пластины не окажется.И ещё в один день две пятки не берите может не хватить сил.Поначалу часа 4 пока разберётесь что и откуда.
|
[
Ответить ]
|
|
Re: Тяжелый перелом пяточных костей
Дрягин Виталий 24 Май 2006, 13:36
|

Результат посылаю отдельно.На предыдущих рент. видна репозиция.
|
[
Ответить ]
|
Re: Тяжелый перелом пяточных костей
Дрягин Виталий 24 Май 2006, 13:39
|

Справа ситуация сложнее так как имеется помимо перелома имеется вывих тела пяточной костиПоэтому даже если удастся достигнуть хорошей репозиции необходимо сделать первичный подтаранный артродез.Иначе кость не будет держать в своём ложе.Но пластина нужна обязательно чтобы восстановить форму пятки.С уважением Дрягин
|
[
Ответить ]
|
Re: Тяжелый перелом пяточных костей
Каминский Андрей 24 Май 2006, 22:21
|
Коллега, как Вы отноститесь к чрескостному остеосинтезу?
В принципе возможно использовать аппарат и устранить смещения. Возможность раздельной фиксации фрагментов и шарниры могут помочь в решении этой задачи. Конечно, длительное ношение аппаратов не сахар, но...
Если есть интерес постараюсь выслать схемы, применяемых у нас устройств при оскольчатых переломах пяточных костей.
С уважением и пожеланиями удачи, Каминский А.
|
[
Ответить ]
|
Re: Тяжелый перелом пяточных костей
Отправитель: Никита Заднепровский 24 Май 2006, 23:35
|
КА> Если есть интерес постараюсь выслать схемы, применяемых у нас
КА> устройств при оскольчатых переломах пяточных костей.
Очень интересно... У меня были случаи переломов и переломо-вывихов пяточных костей, но все они были оперированы открыто с применением пластин для "пяточного" остеосинтеза Y-образные и проч. + в некоторых случаях дополнительная трансартикулярная фиксация спицами через таранную кость. Был случай фиксации винтом при чистом переломе по типу "утиного клюва". А вот с методом Илизарова пока "не подружился" при таких травмах. Хотелось бы узнать, а главное, увидеть, побольше.
--
С уважением, Заднепровский Никита Николаевич
|
[
Ответить ]
|
|
Re: Тяжелый перелом пяточных костей
Leonid N.Solomin 24 Май 2006, 23:11
|
Уважаемый Рузанов Т.!
Если нет опыта применения в подобных случаях накостного остеосинтеза, весьма велик риск осложнений: в первую очередь нероза кожи в обл. операционной раны со всеми вытекающими. Альтернативой может служить чрескостный остеосинтез.
Если примите решение - детали можем обсудить. Во вложении - один из вариантов компоновки.

Успехов,
Л.Соломин
|
[
Ответить ]
|
Re: Тяжелый перелом пяточных костей
Демьянчук Игорь 25 Май 2006, 00:59
|
Альтернатива-КДО. Базовый аппарат из 2х колец в н\3 голени, 2 стержня Шанца по бокам от пяточного бугра до линии перелома, затем используя стержни как рычаги закрытая репозиция и стержни соединяются с базовым аппаратом. На стопе ещё полукольцо и спица ч\з основания плюсневых костей. При успешной репозиции стержни вкручиваются дальше во второй отломок, повышая тем самым жёсткость фиксации.
Журнал "Здравоохранение" №12,1995 год, стр.32
Республика Беларусь.
|
[
Ответить ]
|
Re: Тяжелый перелом пяточных костей
Рузанов 25 Май 2006, 02:37
|
Опыт лечения аппаратом Илизарова перелома пяточной кости есть. Мне нравится, за исключением мороки для больного. А вот что касается открыто... Понятно, что там, где не нужна костная пластика, можно и аппарат. Но это не значит, что можно не высылать интересные наработки! :-). Спасибо Всем, кто откликнулся!
|
[
Ответить ]
|
Re: Тяжелый перелом пяточных костей
Anton Vladzymyrskyy 25 Май 2006, 08:39
|
Otkritaya repositsija, fixatija plastinoj. Sprava podtaranniy artrodez.
|
[
Ответить ]
|
Re: Тяжелый перелом пяточных костей
Каминский Андрей 25 Май 2006, 15:24
|
Прошу прощения, если показалось, что что-то скрываю. Просто в современной экономической ситуации чрескостным остеосинтезом занимаются только большие энтузиасты, а коль не будет интереса, то и байты забивать не стоит.
Теперь о деле.

В Вашей ситуации мы бы выполняли чрескостный остеосинтез обеих пяточных костей.
Первый этап - это репозиция на операционном столе, причем для удобства репозиции со стороны пяточного бугра в косо-сагиттальных плоскости ввели бы 2 консольные короткие спицы. Они были бы и рычагом и органом управления отломками. После предварительной репозиции те же спицы могут быть проведены в таран или прочие кости для временной фиксации. Теперь R-графия и выбор компоновки.
На рисунке стандартная схема, но от ситуации могут быть варианты.
Второе - голеностопный сустав мы фиксируем. Это позволяет не Прошу прощения, если показалось, что что-то скрываю. Просто в современной экономической ситуации чрескостным остеосинтезом занимаются только большие энтузиасты, а коль не будет интереса, то и байты забивать не стоит.
Теперь о деле.
В Вашей ситуации мы бы выполняли чрескостный остеосинтез обеих пяточных костей.
Первый этап - это репозиция на операционном столе, причем для удобства репозиции со стороны пяточного бугра в косо-сагиттальных плоскости ввели бы 2 консольные короткие спицы. Они были бы и рычагом и органом управления отломками. После предварительной репозиции те же спицы могут быть проведены в таран или прочие кости для временной фиксации. Теперь R-графия и выбор компоновки.
На рисунке стандартная схема, но от ситуации могут быть варианты.
Второе - голеностопный сустав мы фиксируем. Это позволяет не
|
[
Ответить ]
|
Re: Тяжелый перелом пяточных костей
Отправитель: Каминский Андрей 26 Май 2006, 09:38
|
Как-то не все вошло в сообщение, что отправлял. Дописываю:
Второе - голеностопный сустав мы фиксируем. Это позволяет не <дырявить> таранную кость, а кольца на голени являются точкой опоры для дальнейших устранений угловых смещений.
Третье - передний отдел обычно тоже фиксируется, иначе восстановить свод стопы бывает проблематично.
В тело пятки спицы с упором на встречу друг другу, можно с перекрестом, а можно и параллелно, тогда будет большая управляемость
Еще мы иногда соединяем опоры переднего отдела и базу на пятке при помощи шарниров и резьбовых стержней. Это дает возможномть компенсации длины или переднезадней компрессии + устранения углов любой плоскости.
Да, идеальной репозиции достичь часто не удается, но и перелом с компрессией. Кость губчатая, отломки <завариваются> в конгломерат, а восстановление свода и суставных соотношений дает вполне приличный ФУНКЦИОНАЛЬНЫЙ результат. В аппарате правда надо бродить 2 месяца.
В 1998г. из Центра Илизарова вышла диссертационная работа Шилова В.Г., <Лечение больных с переломами пяточной кости методом чрескостного остеосинтеза аппаратом Илизарова>, это я так, к слову.
|
[
Ответить ]
|
|
Re: Тяжелый перелом пяточных костей
Alexander Rykov 26 Май 2006, 08:11
|
Резать надо. А Рыков Хабаровск.
|
[
Ответить ]
|
Re: Тяжелый перелом пяточных костей
А.П.Ким 26 Май 2006, 12:12
|
Я рекомендовал бы наложить 1 этапом спицевой дистрактор . Цель: уменьшить захождение отломков, по возможности улучшить положение фрагментов. Применение 4 спиц минимизирует вероятность гнойных осложнений. У хирурга будет достаточно времени чтобы определиться с окончательной фиксацией.
|
[
Ответить ]
|
Re: Тяжелый перелом пяточных костей
serg 05 Июнь 2006, 16:30
|
резать батенька надо резать и собирать=без вариантов!
|
[
Ответить ]
|
Re: Тяжелый перелом пяточных костей
А.П.Ким 14 Июнь 2006, 15:58
|
Коллега, какой способ лечения приняли?
|
[
Ответить ]
|
( Ответить )
|