AOTRAUMA.ORG Центр Илизарова  

Ортопедия и травматология Общие вопросы/General questions Help Информационные технологии в медицине
 вверх
 отправить
 поиск
 админ
 главная


осложненный эндопротез
Ортопедия и травматология Отправлено Djoldas Kuldjanov 14 Июнь 2006, 00:14
Уважаемые коллеги,
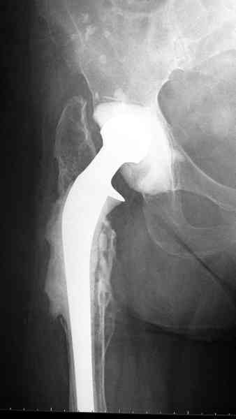
Представляю вашему вниманию снимки (прошу прошения за качество снимков) больной 48 лет с ревматоидным артритом, которой был сделан тотальный эндопротез справа,
контрольный снимок сделали только на 21день после операции (№1) и с интервалом 5 дней второй снимок (№2)
Первичные снимки не сохранены.
Подскажите вашу тактику?
С уважением Джолдас Кульджанов
Djoldas Kuldjanov, MD
Department of Orthopedic Surgery
St. Louis University Medical Center

<  |  >

 

  • Сообщения о Ортопедия и травматология
  • Также Djoldas Kuldjanov
  • Связаться с автором
  • Ответить

    Re: осложненный эндопротез
    Рашид Муртузалиевич Тихилов 14 Июнь 2006, 00:16
    Уважаемый Джолдас,
    Судя по всему, произошел раскол наружной стенки бедра и ножка находится вне костного канала. В таком случае
    решение одно - удаление ножки и установка новой в расчете на дистальную фиксацию. Конктреную модель подсказать тяжело из-за низкого качества Р-грамм.
    С уважением Р.Тихилов
    [ Ответить ]

    Re: осложненный эндопротез
    Djoldas Kuldjanov 14 Июнь 2006, 23:27
    События развивались таким образом.
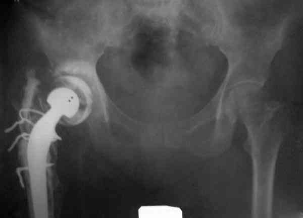
    Приглашенный хирург установил ревизионный вариант бедренного компонента без замены ацетабулярного компонента, что осложнилось нагноением и свищами на уровне сустава и средней трети бедра. После двухгодичного безуспешного лечения перевязками и антибиотиками больная обратилась к нам на консультацию.

    Повторная операция по удалению тотального протеза с irrigation&debridment, канал после очистки цемента обильно промыт и рассверлен римером.

    Приготовлен цемент из расчета: Tobramycin 2.4 g (2 флакона), Vancomycin 2 млн (4 флакона) и 2 упаковки цемента с добавлением дополнительного флакона цементной жидкости.

    После обработки ацетабулярного компонента, ещё в мягком цементе в полости вертлужной впадины головкой бедренного компонента сделана выемка для головки, чтобы свежий цемент не прилипал к головке. Головку бедренного компонента завернул обычной стерильной фольгой, которую после образования выемки отлепил от головки.
    Для спейсера в бедро использовал старый длинный бедренний компонент меньшего диаметра, облепленный со всех сторон цементом с антибиотиком.

    Наглухо ушитая рана с дренажом зажила первично, после чего с больной потерял контакт, и только недавно, через 8 лет я осмотрел её. Она без проблем нагружает на конечность и передвигается с помощью трости. От окончательной операции по реконструкции отказывается, довольная результатом.

    Имеются литературные данные, когда спейсер держали не более 6 месяцев, но этот случай бьет все рекорды, может быть для наших людей, обременных финансовыми трудностями, нужна другая шкала оценки сроков нахождения спейсеров.

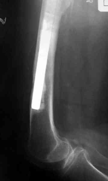
    №3-6 снимки с осложнением



    и последние снимки.



    Djoldas Kuldjanov, MD

    Department of Orthopedic Surgery
    St. Louis University Medical Center

    [ Ответить ]


    ( Ответить )

    Powered by Zope  Squishdot Powered MedLink
    Посетитель: 0385573
      "По форме правильно, а по существу - издевательство" В.И.Ленин
    ©2001-2019Orthoforum Coordinator.
    [ Главная | Отправить сообщение | Поиск | Админ ]