AOTRAUMA.ORG Центр Илизарова  

Ортопедия и травматология Общие вопросы/General questions Help Информационные технологии в медицине
 вверх
 отправить
 поиск
 админ
 главная


Вывих предплечья
Ортопедия и травматология Отправлено Алексей Семенистый 21 Июнь 2006, 21:46
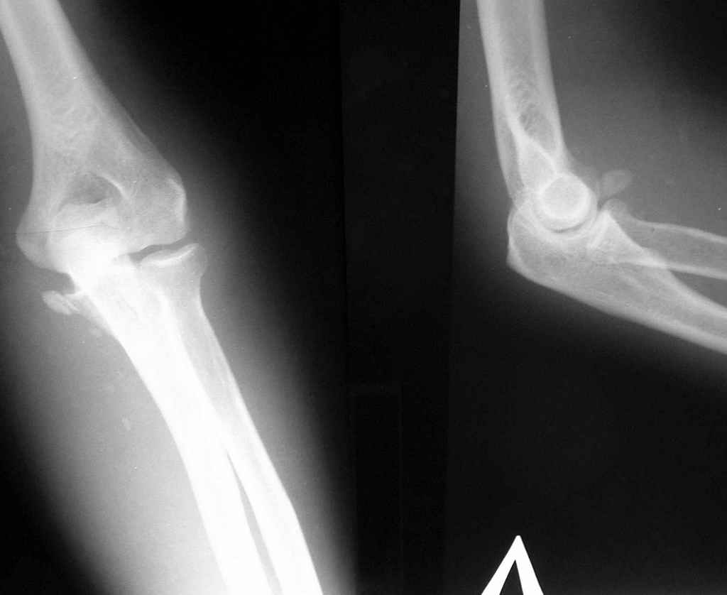
Уважаемые коллеги, 49-летний мужчина во время армреслинга получил травму локтевого сустава.
3 недели лечился в травмпункте с диагнозом отрывной перелом медиального надмыщелка левой плечевой кости (Rtg-1). Лечение состояло в ношении руки на косыночной повязке. Затем в другом учреждении сделали КТ (рис 2,3,4).
Неврологии нет, выраженный отек, активные движения в объеме 60 градусов. Сейчас прошло 4 недели послетравмы.
Что же все-таки сломано? Что бы Вы сделали (или не стали бы делать)?

<  |  >

 

  • Сообщения о Ортопедия и травматология
  • Также Алексей Семенистый
  • Связаться с автором
  • Ответить

    Re: Вывих предплечья
    ерохин александр 22 Июнь 2006, 02:50
    Очень интересная травма.Понятно сломан внутренний надмыщелок,головка луча,блок и головчатое возвышение похоже целы.Может быть есть отрывной перелом венечного оторстка.Наверняка оторвано сухожилие бицепса.Наверное надо удалить головку луча,фиксировать внутренний надмыщелок,затем одномоментное-если получится или этапное вправление и фиксация в аппарате,с ранней разработкой в самом аппарате,установив в оси сустава подшипники.Нужно ли широко вскрывать сустав,отсечением локтевого отростка?-не уверен.Когда прооперируете покажите что получилось.Удачи.
    [ Ответить ]

    Re: Вывих предплечья
    Вадим Найданов 22 Июнь 2006, 14:47
    На R-граммах имеется отрывной перелом внутреннего мыщелка плечевой кости (суставной поверхности). Взаимоотношения в суставе правильные. На КТ - задний вывих предплечья. А не вправляли ли в травмпункте предплечье, не наложив затем гипсовой иммобилизации??? Чтобы предплечье вывихнулось в косынке - ... я не встречал... По тактике - оперативное лечение и чем быстрее, тел лучше. Время идет сейчас не на пользу. Идти задним доступом либо с остеотомией локтевого отростка, либо с V-образным рассечением сухожилия трицепса. Костный свободный фрагмент желательно удалить.
    [ Ответить ]

    Re: Вывих предплечья
    Evgueny Tchekashkine 22 Июнь 2006, 17:45
    Уважаемый Алексей,

    Поразителен объём проведённого обследования!
    На первичных обычных РГграммах, на мой взгляд, объём информации вполне достаточен - отрывной перелом внутр надмыщелка со смещением фрагмента на
    уровень суставной щели - 100процентное показание к оперативному лечению.
    После такого рода травмы массивный отёк тканей области локтевого сустава - обычное явление.
    Чем раньше выполняется фиксация , тем технически она проще: спустя 4 недели из-за сократимости сгибателей кисти/пальцев вернуть фрагмент на место
    непросто...., но абсолютно необходимо.( страдает не только сила сгибателей кисти/пальцев, но и развивается боковая нестабильность локтевого сустава).
    Не приходилось встречать, чтобы при рефиксации оторванного фрагмента кто-то ушивал и разрыв капсулы сустава, сам я это никогда не делал, всегда ограничивался только фиксацией фрагмента винтом (с частичной резьбой) и шайбой - для улучшения фиксакции фрагмента, иначе есть риск раскола и без того небольшого размера фрагмента конической головкой винта.
    Такой тип повреждения нередко встречается у детей по типу эпифезеолиза, у взорслых достаточно редко, разве. что только у ручных борцов...
    В послеоперационном периоде никакой гипсовой иммобилизацией не пользуюсь, только косыночной повязкой с ранней мобилизацией сустава по мере стихания болей в зоне операции.

    Евгений Чекашкин
    [ Ответить ]

    Re: Вывих предплечья
    Лукавин Руслан 22 Июнь 2006, 17:47
    Здраствуйте.
    Удивлен такими различиями между КТ и Rtg... никогда с таким не встречался. а рентген-снимках никакого намека на вывих не вижу, поэтому и обвинять в халатности персонал травмпункта не стоит. Хотя вполне вероятно, что пальпаторно можно было заподозрить несоответствие обследования с реальной картиной.

    Была ли попытка репозиции вывиха после КТ?
    Скорее всего, что придется репонировать открыто... 4 недели как-ни-как :-/


    [ Ответить ]

    • Re: Вывих предплечья
      Отправитель: Алексей Семенистый 24 Июнь 2006, 23:53
      > Удивлен такими различиями между КТ и Rtg... никогда с таким не
      > встречался. а рентген-снимках никакого намека на вывих не вижу,


      Разница в исследованиях 3 недели.

      > Была ли попытка репозиции вывиха после КТ?
      > Скорее всего, что придется репонировать открыто... 4 недели как-никак
      > :-/


      Попытки не было. А что репонировать? Понятно, вывих вправить, а как удержать? Остеосинтез маленького фрагмента мыщелка (а может, и не мыщелка?) через 3 недели представляю себе с трудом...

      [ Ответить ]
    • Re: Вывих предплечья
      Отправитель: Александр Братаненко 26 Июнь 2006, 04:52
      На снимках травмпункта признаков вывиха предплечья таки нет. Очевидно имел место вывих предплечья, с его последующим устранением на догоспитальном этапе. Такое иногда случается, даже в моей небольшой врачебной практике такое уже было.
      Хорошего результата теперь добиться будет очень непросто. Закрыто это не устранить. Думаю, лучше всего подойдет задний доступ с Y-образным удлинением трицепса, устранением вывиха и фиксацией надмыщелка. Раннее применение ЛФК. Но, может иметь место повторный вывих...Иммобилизация предупредит повторный вывих, но определенно сделает худшим функциональный результат.Сложно посоветовать что-либо конкретно. Конечный выбор метода лечения остается за лечащим доктором, который видит и знает пациента. Удачи в лечении. И ждем доклада о результатах.

      [ Ответить ]
    Re: Вывих предплечья
    Константин Шевырев 24 Июнь 2006, 15:20
    Чудеса конечно бывают, но не настолько же? Если рентгенограммы и томограммы одной конечности, то они явно разнесены по времени и событьиям. Нужно что-то повторить Rg или КТ и тогда уже думать. С уважением Шевырев К.В., МОНИКИ
    [ Ответить ]

    Re: Вывих предплечья
    Djoldas Kuldjanov 24 Июнь 2006, 23:36
    Передние вывихи в локтевом суставе - редко встречающая повреждение, и они большинстве случаев сопровождается переломом медиального надмышелка.

    Нестабильность в суставе патомеханически можно представить как циркулярное повреждение вокруг сустава, начинающееся с повреждения латеральных образовании с последующим по медиальной стороне сустава.

    На первом этапе повреждается латеральная коллатерльная локтевая связка, на втором - повреждение передней и задней связки, на ренгене короноид сидит в трохлеа, а третий этап состоит из двух: в первом - с частичным повреждением медиальной коллатеральной связки, в последнем, с полной неустойчивостью сустава, связанным с повреждением важного переднего стабилизирующего элемента медиальной связки.

    Свежие переломо-вывихи, начинал с фиксации перелома: локтевой отросток - пластинами, tension band technique; головки луча - в зависимости от состоянии головки малой пластиной, шурупами, или заменой протезами и с ушиванием связок.

    При нестабильном суставе дополнительно накладывал наружные фиксаторы на 3-4 недели и начинал постепенные движения после их удаления с увеличением амплитуды в брейсе.

    Имеем серию наблюдений с фиксацией сустава трансартикулярными шурупами, мой партнер по Детройту Kathy Cramer смогла продемонстрировать успешное применения в 21 случае, работа была представлена на ОТА конференции, а Академия отказала в публикации (работа осталась не оконченной в связи смерти Кати в прошлом году, кстати она была очень активная в ОТА, Академиии, после смерти наследовала для ОТА свои 100 тысяч)

    Иногда, не смотря на скепсис, я применяю 4 мм каннюлированный шуруп направленный от локтевого отростка в латеральную надмышелковую область, шуруп удаляю в 3 недели.

    Упущенных вывихи, даже 10 дневные, после одноразовой попытки репозиции лечим открытым методом. Доступ описан во многих учебниках, сзади от середины плечевой кости до локтевой ямки, затем разрез опускается к наружному мышелку, дальше продолжается и соединяется разрезом продолжающей по локтевому отростку с латеральной стороны
    локтевой кости.

    При этом доступе можно проверить состояние локтевого нерва, при надобности его мобилизация и транспозиция, затем в суставе (Kocher’s interval) освобождается головка луча. Латеральная связка приподнимается от мышелка, с осбовождением задней и передней капсулы, контрагированных связок и сустава. Если сгибание в суставе менее 110 градусов, то необходимо пластика трехглавой, также пластика коллатеральных связок и наружный фиксатор типа Илизарова с компасным регулятором для немедленного движения в суставе после операции.

    Из четырех больных трое восстановили движения около 90 градусов, а у одного не удовлетворительный результат со множественными операциями.


    Djoldas Kuldjanov, MD
    Department of Orthopedic Surgery
    St. Louis University Medical Center
    [ Ответить ]

    Re: Вывих предплечья
    ерохин александр 25 Июнь 2006, 05:24
    Какой же это передний вывих???
    [ Ответить ]

    • Re: Вывих предплечья-коррекция
      Отправитель: Djoldas Kuldjanov, M.D. 26 Июнь 2006, 18:49
      Описаны патомеханика общих вывихов и трудности лечения застарелого вывиха, поэтому коррекция в тексте: Вывихи предплечья у взрослых серёзная травма, среди них ... дальше по тексту "


      Джолдас Кульджанов


      [ Ответить ]
    Re: Вывих предплечья
    Каминский Андрей 01 Июль 2006, 12:54
    Понятно, что вывих бвл сразу, только его устранили сердрбольные "борцы" сразу после травмы, а боль и напряжение мышц удерживали нестабильный сустав на этапе обследования. Изначальная недостаточность иммобилизации привела к рецедиву. Теперь уже не особо и важно откуда отлетела маленькая косточка, главное, чтоб в суставе потом не оказалась.
    Не смотря на срок, мы бы попробовали произвести закрытое вправление в аппарате наружной фиксации. 2 кольцевые опоры на плече в средней и нижней трети и 2 опоры на предплечьи (одна кольцевая в с/3 и полукольцо положенное параллельно оси локтевой кости. Самым сложным узлом являются соединения между подсистемами которые позволяют одновременно осуществлят дистракцию и перемешение в переднезаднем направлении. Для этого используем резьбовые стержни и приставки разборных шарниров.
    Но ввправление может быть открытым, а после фиксация в аппарте с шарнирными узлами для совмешения фиксации правильных взаимоотношений сустава и двигательной реабилитации.
    [ Ответить ]


    ( Ответить )

    Powered by Zope  Squishdot Powered MedLink
    Посетитель: 0000069
      "По форме правильно, а по существу - издевательство" В.И.Ленин
    ©2001-2019Orthoforum Coordinator.
    [ Главная | Отправить сообщение | Поиск | Админ ]