ВХОД ДЛЯ ПАЦИЕНТОВ
вверх
поиск
админ
главная
исходное
|
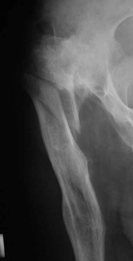
Re: перелом бедра+анкилоз тазобедренного сустава
послал Алексей Семенистый 10 Июль 2006, 10:07
|

Рентгенограммы до и после. Больной профессор на кафедре сопромата и после детального изучения
особенностей имплантата, собственных рентгенограмм дал добро на операцию. Ваш вариант лечения вполне симпатичен.
С уважением А.Семенистый.
|
| Послать ответ |
Обратите внимание: Поля с жирными названиями обязательны.
Старайтесь отвечать в рамках обсуждаемой темы, а не начинать новые обсуждения.
Указывайте адекватную тему сообщения, чтобы было ясно, о чем оно.
Не послайте сообщений не по теме (оффтопик), раздраженных, грубых или обидных комментариев. Здесь это неуместно.
|