AOTRAUMA.ORG Центр Илизарова  

Ортопедия и травматология Общие вопросы/General questions Help Информационные технологии в медицине
 вверх
 отправить
 поиск
 админ
 главная


Повреждение голеностопного сустава - прошу помочь советом
Ортопедия и травматология Отправлено Попов Виктор, г.Караганда 28 Июнь 2006, 18:55
Уважаемые коллеги! Прошу помочь решить вопрос о тактике оперативного лечения г/стопного сустава у больного 56 лет, инвалида первой группы.
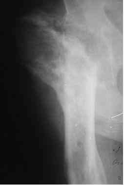
Анамнез: в 1992 г. оперирован в РНЦ «ВТО» по поводу ложного сустава шейки правого бедра (Р-снимок в приложении), 1994 перенес инсульт с исходом в правосторонний гемипарез. Передвигался без костылей, имея укорочение этой конечности на 3,5 см, порочную сгибательно-приводящую установку правого бедра и ДОА правого коленного сустава III ст. с перегрузкой латерального компартмента. Имеются дегенеративно-дистрофические изменения в поясничном отделе позвоночника. Больной до последнего времени «таксовал» на своей машине. 23 дня назад, поскользнувшись, упал в своей квартире, получил 2-х лодыжечном переломе костей правой голени с подвывихом стопы кнаружи (Р-граммы правового коленного и г/стопного суставов прилагаются). Помощь оказана в городском травмпункте г.Темиртау (Казахстан) Лечился гипсовой шиной, как рассказывает больной манипуляций на г/стопном суставе не проводили, посчитали, что все в порядке. Мое мнение - для создания опорной конечности необходимо произвести первичный артродез.Попов Виктор, г.Караганда.

<  |  >

 

  • Сообщения о Ортопедия и травматология
  • Также Попов Виктор, г.Караганда
  • Связаться с автором
  • Ответить

    Re: Прошу помочь советом
    Савранский Александр 29 Июнь 2006, 03:14
    Не надо спешить с артродезом-потерять сустав
    легче чем восстановить.Если к ДОА коленного
    сустава и тазобедренного сустава добавить
    замкнутый голеностоп-вряд ли от этого биомеханика конечности выиграет.Три недели не такой уж большой срок чтобы отказаться от возможности открытой репозиции и МОС.
    [ Ответить ]

    Re: Прошу помочь советом
    Djoldas Kuldjanov, M.D. 29 Июнь 2006, 03:50
    Трудно согласиться с мнением о первичном артродезе, срок-то небольшой, двухлодыжечний перелом: пластина на наружную лодыжку, а внутренную шурупами.

    [ Ответить ]

    Re: Прошу помочь советом
    Odessky Jacob M.D. 29 Июнь 2006, 13:46
    Открытая редукция и внутренняя фиксация по- АО.
    Показаний к артродезу в данной ситуации намного меньше, чем противопоказаний, связанных с поражением тазобедренного и коленного суставов.
    С уважением Одесский Яков!
    [ Ответить ]

    Re: Прошу помочь советом
    Каминский Андрей 29 Июнь 2006, 16:13
    Виктор, привет из Кургана. Категорически против артродеза в этой ситуации. Ну а сам бы сладил это аппаратом. База на пятке позволит дать дозированное вытяжение и осуществить репозицию. Срок еще позволяет все сделать закрыто. Думаю компоновку вы знаете, если нужно, можно детали обговорить. Знаю, что условия коммерческой клиники не распологают, но...
    [ Ответить ]

    Re: Прошу помочь советом
    Alexander Rykov 29 Июнь 2006, 23:07
    Так оперируйте больного по поводу неправильно-срастающегося перелома
    лодыжек сегодня, раз таксовал - пусть таксует дальше. Чего уж сразу - артродез,\ ведь всего 23 суток.. Сделайте репозицию и вправление и фиксацию
    чем умеете. В будущем подумать стоит о протезировании т\б сустава - если пациент не собирается "туда". С ув. А Рыков. Хабаровка.
    [ Ответить ]

    Re: Повреждение голеностопного сустава - прошу помочь советом
    дмитрий бондарь 30 Июнь 2006, 00:55
    Зачем же замыкать,если можно слепить?Я думаю,что лучше это сделать открыто.Главное,восстановить длину наружной лодыжки,ну и репонировать внутреннюю.И обязательно R-контроль на столе(а то я однажды оставил подвывих:( , потом было очень стыдно!!!)
    Удачи!
    С уважением Д.Б.
    [ Ответить ]


    ( Ответить )

    Powered by Zope  Squishdot Powered MedLink
    Посетитель: 0187523
      "По форме правильно, а по существу - издевательство" В.И.Ленин
    ©2001-2019Orthoforum Coordinator.
    [ Главная | Отправить сообщение | Поиск | Админ ]